빠르고 안전한 인상 처치제 DryZ… 지혈은 깔끔하고 잔사는 남지 않아
DryZ는 인상전 처치 제로 간단한 사용법과 빠르고 효과적인 기능을 자랑한다.
특히, 황산 제2 철(Ferric sulfate) 성분이 없어 사용 후에도 검은 얼룩 등을 남기지 않아 깔끔하게 처리를 할 수 있으며, 심장 질환 환자에게 위험한 에피네프린이 들어있지 않아 환자에게 안전하게 사용할 수 있다.
빠르고 안전한 인상 처치제 DryZ는 수복물 세팅과 러버댐 클램프 장착이나 치은 연하 충치 치료에 효과적이다.
또한 피 제거를 쉽고 빠르게 할 수 있으며 깨끗하고 선명한 인상 채득이 가능하다. DryZ는 에피네프린 성분이 들어있지 않아 심장 질환 환자에게도 안전하게 사용 가능하다.
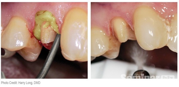
사용방법도 간단하다. 출혈이 발생한 치은 열구 부위에 충분한 양의 DryZ를 도포하고 1~2분간 유지 후 세척 건조하면 끝. 도포 후에 바로 인상 채득을 진행하면 된다. DryZ 1팩은 0.5ml 용량 7개의 시린지와 팁 15개로 구성되어 있다.
DryZ 패키지가 기존의 주황색에서 파란색으로 변경됐으며 기존의 구성과 동일하다.
한편 , DryZ를 사용한 유저는 지금까지 사용해 본 지혈제 중에 가장 좋은 지혈제로 다른 지혈제를 사용할 필요가 없다는 극찬이 이어졌다. 특히 “디지털 스캔 시 코드를 꽂지 않고 블리딩 포인트만 살짝 사용하면 스캔의 실패가 없다”라고 조언했다.
다른 유저도 “지혈이 깔끔하게 되고 찌꺼기 잔사가 남지 않는다. 코드에 엉켜 붙지 않으며 인상체 표면이 매끈하게 나오고 마진이 명확하게 채득 돼서 좋다.”라고 평했다.
덧붙여 “지혈이 잘돼 체어타임도 줄었으며 환자마다 니들을 교체할 수 있어서 교차 감염의 우려도 없다. 또한 겔 형태로 제공되므로 치은 열구 주변에 잘 유지되는 장점이 있다. 물로 세척해도 재 출혈되는 걱정이 없다.”라고 극찬했다.
DryZ(제조원 PARKEL) 1년 사용기를 ‘재선기’ 유튜브 채널을 통해 확인할 수 있다.
(문의: 080-801-1577)
