[덴탈뉴스=김선영 기자] 옥수민(부산대치과병원 구강내과) 교수 연구팀이 Candida albicans(칸디다 알비칸스) 감염이 TRPV1 이온 채널을 통해 구강 작열감 증상을 유발하는 메커니즘을 세계 최초로 규명했다.
이번 연구는 치의학 분야 세계 상위(Q1) 저널인 ‘Journal of Dental Sciences’에 게재되었으며, 구강 작열감 증상의 원인을 밝히고 새로운 치료법 개발 가능성을 제시했다는 점에서 큰 의의가 있다.
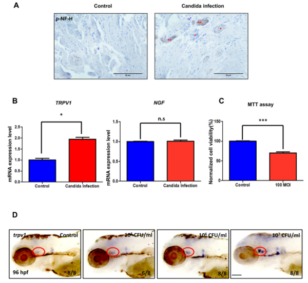
연구팀은 임상 환자 데이터, 마우스 모델, 그리고 제브라피쉬 모델을 이용해 Candida albicans 감염과 TRPV1의 상관관계를 분석했다. 연구 결과, 감염된 환자들은 TRPV1 발현 증가로 인해 신경 염증과 통증이 심화되었으며, 항진균제(나이스타틴) 치료 후 증상이 개선됨을 확인했다. 또한, 감염된 마우스와 제브라피쉬에서도 TRPV1 발현 증가 및 신경 손상이 관찰되었다.
옥수민 교수는 "이번 연구를 통해 Candida albicans 감염이 TRPV1을 활성화하여 구강 작열감 증상을 유발한다는 사실을 처음으로 밝혀냈다."며, "TRPV1을 표적으로 하는 새로운 치료법이 감염성 구강 통증을 효과적으로 완화할 수 있을 것"이라고 전했다.
이번 연구는 구강 작열감 증상의 분자적 기전을 규명하고, 새로운 치료 전략을 제시했다는 점에서 높은 학문적·임상적 가치를 가진다. 향후 TRPV1 차단제를 활용한 치료법 개발이 활발히 진행될 것으로 기대된다.
김선영 기자
dentalnews1@dentalnews1.com
