김태경 원장의 꼼꼼히 하는 교정

Bracket-free Orthodontics(BFO)에서의 배열 과정을 도표로 정리해 보았습니다.(그림46) 일반적으로 014 나이타이로 시작하는 경우가 많지만 어린아이나 통증에 민감한 성인 그리고 크라우딩이 심한경우에는 012 나이타이부터 배열을 시작하기도 합니다. 와이어를 접착하고 한 달 후에 다음 단계의 와이어로 넘어갈 수 있을 정도로 크라우딩이 펴졌는지를 판단하게 됩니다.
만약 다음 와이어로 교체가 가능할 정도로 크라우딩이 펴졌다면 와이어를 교체합니다. 그렇지 못하다면 아직 가장 펴지지 않은 치아 하나를 선정하여 re-bonding하게 됩니다. 다음 내원 시에도 같은 과정을 반복하여 배열을 완성합니다. 증례를 통해서 배열 과정을 살펴보도록 하겠습니다. (그림 47~50)
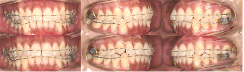
2016-03-21: Initial record (A)
2016-03-22: Mx. 014 NiTi bonding with aline
tube
2016-03-31: Mn. 014 NiTi bonding with aline
tube
2016-05-03: #12, #43 Rebonding, SLD (B)
2016-05-24: Mn. 014 NiTi removal, IPR, Mn.
016 NiTi bonding with aline tube, SLD (C)
2016-06-20: IPR between #43 & #44,
Rebonding #43
2016-07-11: Mx. 014 NiTi removal, IPR, Mx. 016NiTi bonding with aline
tube, SLD (D)

20대 남자 환자로 크라우딩을 주소로 내원하였습니다. 구순은 돌출되지않았고, 중등도의 크라우딩을 보이고 있습니다. 인접면 삭제(Interproximal reduction, IPR)로 공간을 확보하여 주소를 해결해주기로 계획하였습니다. 우측 견치는 반대교합 상태입니다.(A) 일주일 간격으로 상, 하악 공히 014나이타이를 접착하였습니다. 치료 시작 6주 후에는 아직 가장 크라우딩이 펴지지 않은 #12와 #43 부위의 와이어를 re-bonding하여 힘을 더 가하였습니다.(B)
9주 후에는 만약 이 상태로 계속 진행된다면 공간 부족으로 우측 견치부의 반대교합 개선이 어렵다고 판단하였고, 히익에 미리 IPR을 시행하여 하악 우측 견치가 설측으로 이동할 공간을 마련해 주기로 하였습니다. 기존의 014 나이타이를 제거하고 아직 로테이션이 해결되지 않은 하악 우측 견치의 원심면을 제외한 나머지 전치부에서 IPR을 시행하여 공간을 확보한 후에 다시 aline tube와 016 나이타이를 접착하였습니다.(C)
13주 후에는 아직 완전히 펴지지 않은 하악 우측 견치의 re-bonding 시행 과정에서 #43 부위의 접착제를 제거한 후에 견치 원심과 제1소구치의 근심면을 IPR하고 #43을 re-bonding하였습니다. 16주 후 상악에도 014를 제거하고 전치부에 IPR을 시행 후에 aline tube와 016 나이타이를 접착하였습니다.(D)InterProximal Reduction에 대하여 공간을 확보하기 위한 방법으로 IPR을 이용하는 빈도가 점점 많아지는 추세입니다. 아주 작은 양이기는 하지만 IPR은 치아를 삭제하는 비가역적인 술식이기 때문에 그 삭제량과 함께 최종적인 술식의 결과도 매우 중요하다고 할 수 있습니다.

'The goal is to create the precise IPR size and form of the interproximal reduction, as required for the case, and to have your patient return to his general dentist without detecting any surfaces have been slenderized.' 'IPR의 목적은 요구되는 정확한 양을 삭제하고 인접면의 형태를 새로이 형성해 주는 것이며 다른 치과의사가 보았을 때 어떤 부위가 삭제되었는지 분간이 가지 않아야 한다' 라는 의미의 글 입니다.


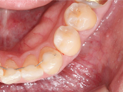
저도 인접면이 삭제된 치아라 할지라도 전체적인 해부학적인 형태는 그대로 잘 유지되어야 한
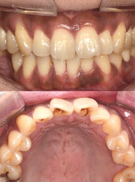
다고 생각합니다.(그림 51) 하지만 해부학적인 형태가 그대로 잘 유지되도록 치간 삭제를 하는 것은 매우 어려운 일입니다.(그림 52) 정확하게 그리고 해부학적인 형태를 유지하면서 치간 삭제를 하기 어려운 이유는 크게 두 가지로 나누어 생각해 볼 수 있습니다. 첫 번째는 크라우딩이나 로테이션입니다. 크라우딩이나 로테이션이 존재하는 상태에서 차후에 접촉을 이룰 부위를 정확하게 삭제하는 것이 매우 어렵습니다.(그림 53) 두 번째는 브라켓 같은 부착물 때문입니다. 크우딩이나 로테이션이 없다고 하더라도 부착물 이 기구의 접근을 제한하는 경우에는 인접면의 해부학적인 형태를 형성해 주기가 어렵습니다. (그림 54)






BFO에서는 이러한 두 가지 문제점이 모두 쉽게 극복될 수 있습니다. (그림 47~50의 증례 참
조) 우선 크라우딩이나 로테이션이 매우 쉽게 해결됩니다. (지난 호의 그림 30 참조) 그리고 와이어를 교체하는 과정에서 기존의 와이어와 접착제가 모두 제거되기 때문에 기구의 접근이 매우 자유롭습니다. 로테이션이나 크라우딩이 해결된 상태에서 기구의 접근도 제한되지 않기 때문에 쉽고 정확하게 IPR을 시행할 수 있습니다. (그림 55)
※ 네이버에서 'Bracket-free Orthodontics'로 카페명을 검색하면 'Bracket-free Orthodontics' 카페를 찾으실 수 있습니다. 참고가 될 만한 자료들을 올려놓았고 궁금하신 점도 질문하실 수 있습니다.
다음 호에 계속 ▶
