레진치료는 가장 흔하게 접하는 치료로 삭제된 치아면에 접착처리를 하고 레진을 채워 넣어 치아의 형태를 재건하는 수복치료를 의미합니다.
접착은 수복치료 외에도 파절된 보철물의 수리, 교정브라켓의 접착, 포스트의 고정, 시린이의 상아세관 폐쇄등 여러부분에서 활용되는 치과와는 분리할 수 없는 시술입니다. 하지만 빠른 접착제의 개발과 변화에 비해 치과의사들의 이해는 이전에 머물러 있는 경우가 있어 가장 최근 소개된 덴티움 Bright bond universal과 수복용 레진 Bright Flow를 이용하여 접착과 레진 수복에 대해 다시한번 살펴보려 합니다.
우선 접착의 기전은 크게 네가지로 나눌 수 있습니다.
1. Mechanical adhesion: 치아표면의 미세 구조로 레진 본딩이 침투하여 resin tag를 형성하는 물리적인 결합입니다.
2. Chemical adhesion: HA(hydroxyapatite)와 같은 무기물또는 typeI collagen 과 같은 유기물과의 화학적인 결합입니다.
3. Diffusion adhesion: polymer chain의 말단이 접착대상의 표면에 결합하는 것으로 bonding을 치아표면에 문질러서 기계적 화학적 결합을 촉진시키는 것을 말합니다. 4. Electrostatic adhesion: 금속표면에 전자가 작용하는 결합으로 Kuraray에서 개발한 10-MDP 등의 성분을 가진 레진에서 일부 전자기적인 결합이 가능합니다.
이중에 레진접착에 가장 중요한 두가지 기전은 mechanical & chemical adhesion입니다. 우선 mechanical adhesion을 위한 술식으로는 버를 이용한 표면의 삭제, 산부식, 샌드블라스팅처리, 실리카 코팅 등이 있으며 접착면의 거칠기를 증가시키는 데에 그 목적이 있습니다.
Chemical adhesion을 위한 술식으로는 silane처리(glass ceramic, silica), acidic functional monomer(HA), sulfur containing monomer(precious metal) 등의 사용이 있습니다.
치아접착이라는 것은 결국 소수성인 레진을 치아에 어떻게 서로 붙게 할 것인가에 있습니다.
1세대 접착제는 주로 에나멜의 접착에 주점을 두었습니다. 에나멜 산부식을 통해 15-20Mpa의 약한 접착을 얻을 수 있었습니다.
2세대는 화학적 결합을 시도하였지만 치아삭제 후 발생되는 smear layer (도말층: 치아표면에 있는 얇은 찌꺼기층)로 인한 약한 강도로 대중화되지 못했습니다(>5MPa).
3세대는 상아질 표면을 산부식하여 smear layer를 제거하고 접착성 물질인 MDP 등의 monomer를 첨가하여 치아와 접착제가 서로 엉겨있는 상태인 hybrid layer를 형성할 수 있었습니다.
4세대에는 enamel conditioner(Etching), dentin primer, adhesive resin으로 이뤄진 3단 구성(3-step)으로 이 때부터가 저희가 생각하는 bonding system의 시초라고 할 수 있고 이후에 소개되는 시스템들은 4세대의 변용이라고 할 수 있습니다.
Conditioner를 이용하여 에나멜의 Calcium 과 Phosphorus, 즉 HA를 제거하고 Micro & macro defect를 형성하고(그림 4),
상아질의 HA를 제거하여 collagen fibrils을 노출시킵니다(그림3).
이곳에 친수성 primer를 비벼서 침투시키고(agitation), 이 길을 통해서 소수성의 adhesive resin을 침투시켜서 base인 물, 에탄올, 아세톤등을 증발시킨 후 (Evaporation) 광중합시켜주면 접착층, 즉 hybrid layer가 완성됩니다.
5세대는 Etching과 primer 단계를(total etch), 6세대는 primer와 adhesive resin 단계를 합쳐서(self-etch) 접착의 단계를 3단계에서 2단계로 줄였었고(2-step), 7세대는 이 모든 것을 통합함으로써 All in one, 1step 등으로 불리는 단 한단계 도포만으로 접착이 가능하도록 했습니다 (1-step self-etch).
8세대에는 acidic functional monomer 등의 추가로 추가적인 결합증진을 시도했습니다.(그림 1,2).
이러한 self-etch system에서는 접착제의 산도(pH)에 대해 고민해 볼 필요가 있습니 다. 강한 산도의 접착제일수록 법랑질을 부식시키는 능력이 크고 대신 긴 시간 적용시 치수자극, collagen fibrils의 붕괴 가능성이 있어 술식에 주의가 필요합니다.
또 강한 산도로 인해 자가중합형 레진의 중합 방해, 삼투압의 상승으로 인한 상아세관수분의 역류(그림 5,6) 등이 일어 날 수 있습니다.
반대로 약한 산도의 접착제는 사용에 있어서는 안전한 반면 접착층이 얇아 접착력이 약한 단점이 있습니다.
Bright bond universal은 접착성 물질 10-MDP와 4-META가 첨가된 25MPa정도의 강한 접착력을 가진 접착제로서 세대로 구분하면 7세대에 해당하고 시스템으로 구분하면 self-etch, 1step, all in one에 해당합니다(그림).
Bright bond universal의 산도는 pH 2.1로 출시된 접착제중에 중간 정도에 해당합니 다. 따라서 자가 중합형 코어용 레진이나 쎄멘트와도 잘 어울리지만 에나멜부식에 있어서는 다소 부족하기 때문에 케이스에 따라서는 선택적인 에나멜의 추가적인 산부식 처리가 필요할 수 있습니다. 그리고 피막도가 3µm로 아주 얇은 편입니다.
따라서 인레이 접착 시에 적합을 방해하지 않습니다. 일반 레진 수복 시에는 경우에 따라 1회 정도 추가적인 적용이 필요합니다.
베이스로 에탄올을 이용하며 흐름성이 좋기 때문에 치아표면에 구석구석 스며드는 침투력이 좋으며 대신 사용 후 뚜껑을 닫지 않으면 에탄올증발로 점도에 변화가 생길 수 있습니다.
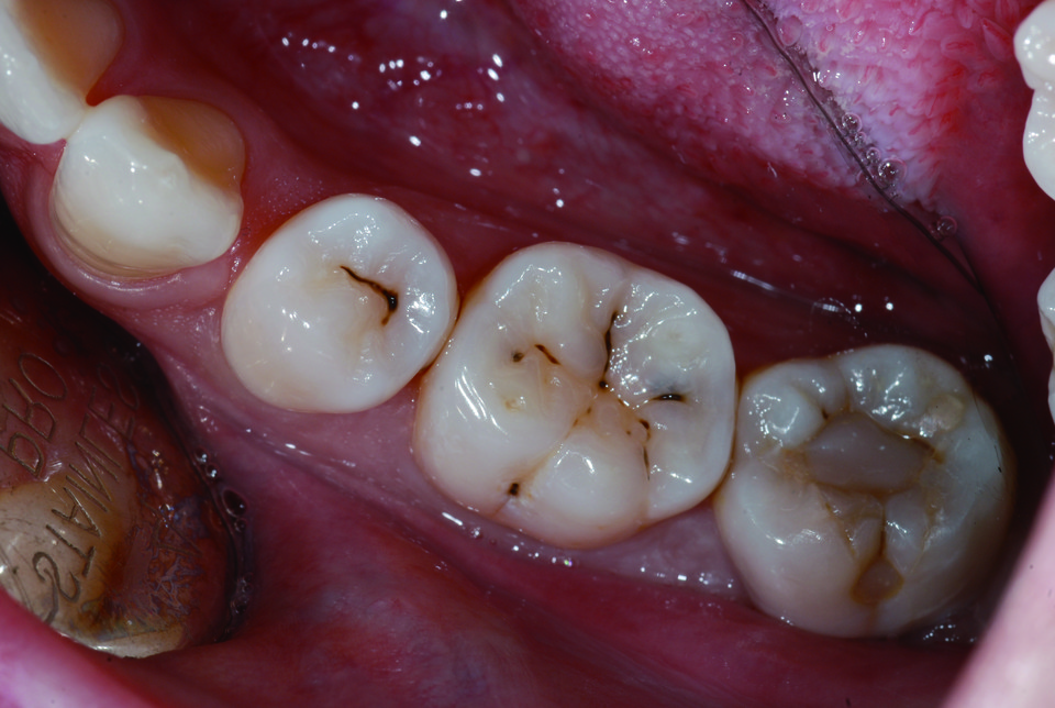
Bright Flow는 다양한 색상과(A1~4 외에 총 9종) 2종의 점도를 가지며(Low & High Flow) 140Mpa 이상의 강한 굴곡강도를 갖는 flowable resin으로서 다양한 용도로 사용이 가능합니다.
Low Flow는 class I, III, V cavity에 사용 가능하며, 우식이 깊을 때는 High Flow를 base 로 활용하면 치아과민 없고 내구성이 좋은 수복치료를 완료할 수 있습니다.
또 High Flow는 base 외에 교정 retainer 의 부착, 실란트 등 치료에도 활용 가능합니다. 방사선 불투과성이 높기 때문에 방사선상에서 우식과 구분이 쉽게 가능하며 2.0 & 0.7µm 와 20nm의 다양한 크기의 필러를 함유함으로써 내마모도에도 강한 모습을 보이기 때문에 구치부 수복에도 유용합니다. (그림7~11)
치과에서 가장 흔하게 이뤄지는 치료인 만큼 방심하고 기계적으로 시행하기 쉽지만 현재 사용하는 bonding system과 레진을 잘 이해하고 올바른 방법으로 사용하는 것이 술식의 완성도를 높이고 실패를 줄이는 데에 중요합니다.
글_이강희 원장 (Kang-Hee Lee, DDS, Ph.D )
현)연세해담치과 원장
연세대학교 치과대학병원 통합진료과 임상연구조교수
연세대학교 치과대학병원 원내생 진료실 전담지도교수
연세대학교 치과대학병원 졸업
연세대학교치과대학병원 통합진료과 수련
연세대학교 치과대학 대학원 석박사 과정
대한치과의사협회 AGD 지도의
덴티움 임플란트 공동 연구 술자, 자문위원, 연자
오스템 임플란트 공동 연구 술자, 패컬티, 연자
사이버메드 공동 연구 술자, 자문 위원, 연자
대한통합치과학회(KAGD) 이사
KAOMI(대한구강악안면임플란트 학회) 기획이사
KAOMI(대한구강악안면임플란트 학회) 우수회원
ICOI(International Congress of Oral Implantologists) korea 이사
WAUPS(world Academy of Ultrasonic Piezoelectric bone Surgery) 이사
AAID Maxi course Affiliate Associate Fellow - American Academy of implant Dentistry (미국치과임플란트학회) member
대한노년치의학회 정회원
연세임플란트연구회 정회원
Again twenty 고문
통진회(연세대학교 치과대학병원 통합진료과 동문회) 회장
전 제주도 치과공보의협의회 대표
