#덴티움 팬덤 사랑 BTS 부럽지 않아
덴티움 임플란트는 오랜 시간 동안 많은 치과의사의 변치않는 사랑을 한껏 받아왔다. 2021년에는 어려운 코로나시기임에도 최대 매출까지 이루었다고하니 덴티움 팬덤의 사랑이 BTS 부럽지 않아 보인다.
덴티움 임플란트가 디지털 전환기에 조심스럽게 변신과 새로운 모색을 시도하며 팬들에게 다가서고 있고 Bright implant 시리즈는 그 결과로 탄생됐다.
Bright implant 첫인상은 심플하고 깔끔하다. 수술키트도 손바닥만 하고 드릴링 3번이면 식립수술이 완료된다. 그 어떤 임플란트보다 간단하다. 너무 간단해 보여서 이걸로 될까 하는 생각이 들었지만 아주 알차게 잘 구성됐고, 드릴링도 매우 부드럽 고 시술시간은 매우 짧다.
임플란트 1차 수술 드릴링의 핵심은 덜하지도 과하지도 않는 치조골의 형성이다.
미묘한 차이에서 초기 고정정도와 이어지는 보철로딩 스케줄이 결정되기에 수술은 초긴장 상태이다.
기존의 덴티움 fixture는 매우 정교한 드릴링을 하지 않으면 식립 시 강한 마찰토크가 나올 경우 fixture 깊이를 딱 맞추기 어려워 수술시간이 길어지는 등 매우 섬세한 손이 요구됐다.
Bright implant는 fixture 코어는 작게, 측면 나사선(윙)을 넓게 만든 디자인이다. 드릴링단계가 단순하기 때문에 뚝딱 심을 수 있다.
최근 들어 치과의사들의 관심을 받는 fixture 디자인 트렌드가 바로 작은 코어와 넓은 윙이며 적은 드릴링과 높은 초기고정으로 술자에게 안도감을 주기에 한번 사용해 보면 또 찾게 된다.
물론 강한 골질을 만나 식립토크가 크게 걸릴 수 있고 fixture 윙의 변형이나 fixture 위치설정이 어려울 수 있다.
이 경우 식립 드릴링 시 골밀도를 꼭 체크해야 한다. 그렇다고 단단한 골질을 만나서 fixture가 변형이 생길까 미리 걱정할 필요가 없다.
Bright implant는 재질이 cold work grade 4로 제작되어 grade 5 수준의 강도를 가지고 있다. Bright implant는 높은 초기 고정력이 있어 즉시 및 조기 부하도 가능하다. 참고로 헤드가 작아서 토크렌치를 돌릴때 작은 헤드 부분이 덜 걸려 미끄러질 수가 있다. 꽉 누르고 토크렌치를 돌리는 것이 좋다.
fixture 마운터도 매우 작다. 필자는 MD근원심폭이 좁은 작은 치아나 후방구치경사 등으로 fixture가 인접치와 가까이 겹칠 경우 어려움을 느끼는데 Bright implant는 아주 쉽게 해결할 수 있다.
Bright implant tissue Level은 Dentium Simple Line과 비슷하며 tissue level 상부 돌출부는 6각으로 되어 있다. 베벨까지 내려가서 측방압에 강하고 실링효과가 높아 leakage 없고 따라 bone loss의 염려가 없다.
또한 internal 방식의 bone level과 tissue level의 external 방식 2종류로 구성되어 있고, 변환 abutment를 꽂으면 bone level이 tissue level로 변신한다. 그러면 디지털 보철 제작이 더욱 쉬운 형태로 바뀐다.
물론 개인적으로 3 piece 보다 2 piece가 나을 것 같기에 필자는 tissue level을 선호한다. 이렇게 internal을 external 방식으로 변환하는 이유는 디지털 스캔, Hexa 체결의 안착을 더욱 정확히 확인할 수 있기 때문이다.
또한 착탈이 가능한 스크류 방식의 보철로 제작하는데 fixture 식립각도의 차이에도 장착이 쉬운 외부 Hexa가 절대적으로 유리하기 때문이다. 또한 교합이 낮아지는 sink down 염려도 거의 없다.
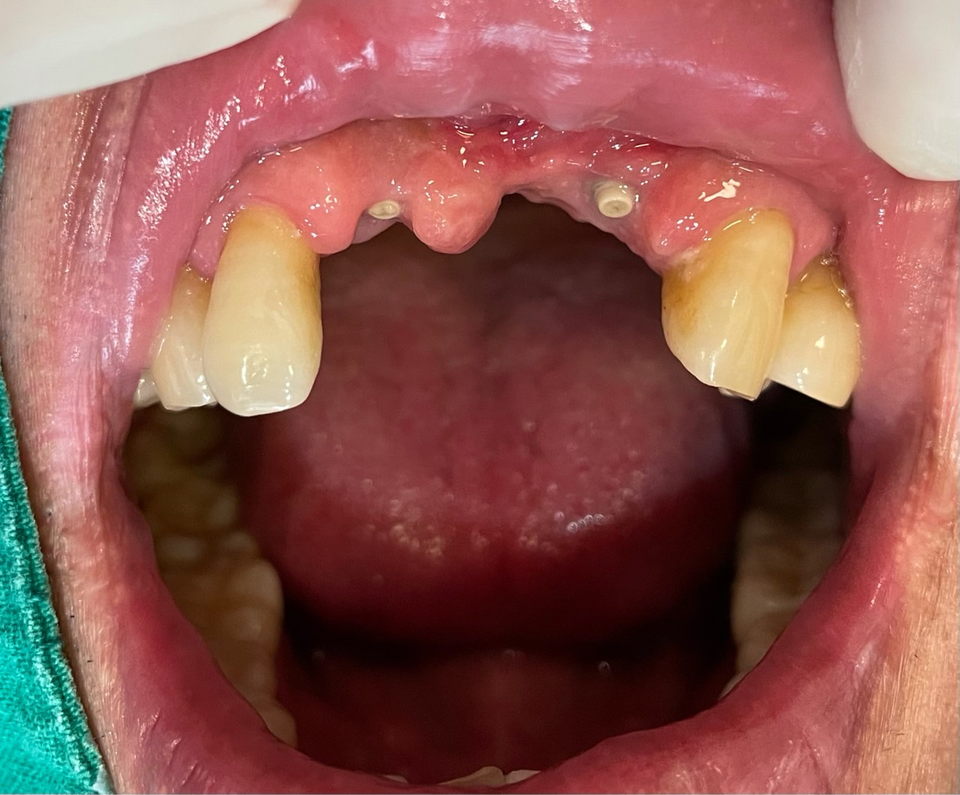
재미난 건 식립 후 머리꼭지가 보인다는 것이다.
사과 꼭지 같은 게 커버스크류이다. 심고 나면 미소가 나오는 이유이다.
새로 출시된 임플란트를 한 번에 선뜻 선택하는 임상가는 드물다.
필자는 20년 넘게 각종 임플란트를 시술했고 임플란트의 안전성과 더불어 디지털 시대의 보철의 편의성을 꼼꼼히 따져 Bright implant를 시도하게 됐다.
수술은 간단명료하고 초기고정이 좋고 디지털 스캔이 잘되며 제작의 오차가 없고 내구성 예후가 매우 좋았다.
보철 방식도 abutment (스크류 메탈 링크)를 스캔 바디로 사용하기에 디지털 소모품인 스캔바디비용이 들지 않는다.
보철 지대치로 스캔하기 때문에 항상 새 스캔 바디로 스캔하는 격이다.
구강스캐너로 스캔 시 정렬(매칭) 결과는 매우 만족스러웠다. 모델 제작없이 디지털로 상부 제작이 쉬운 이유이다.
세팅값을 조절하기 위해서는 구강 외에서 abutment를 스캔해서 자연치처럼 인식해서 제작해야 modelless로 작업이 가능하다.
또한 multiunit에 path를 고려해 abutment를 삭제하면 라이브러리를 사용할 수 없고 링크는 치은길이에 따라 2종류로 링크 10보다 30 마진이 위에 있어서 세팅하기에 더 낫지만 30으로 하면 마진이 치은 위로 노출되기 때문에 구치부에 적합하다.
Bright implant에 대해 궁금하면 영업직원을 꼭 만나 보길 권한다. 현재 특판가에 깜짝 놀라게 될 것이다.
최근 덴티움은 CT 장비와 Unit Chair, 레진 개발 등 새로운 버전의 제품들을 만들고 필자도 진료에 큰 도움을 받고 있다. 조용히 또 꾸준히 성장하는 덴티움이 세계로 뻗어 나갈 K-dentistry를 기대해 본다.
이재윤 원장
단국대학교 치과대학 졸업 (보존학 전문의)
UCLA 치과대학 연구원
단국대학교 치과대학 보존과 외래 조교수 대한치과의료관리학회 총무이사
신세계치과 (포항) 원장
