안전성과 신속성까지 갖춰 합성골 이종골사용에 따른 감염우려 줄여
(주)네오바이오텍(대표 허영구, 이하 네오)에서 개발한 ACM(Auto Chip Maker_이하 ACM)은 안전하고 빠른 자가골 채취가 가능한 제품으로 꾸준한 관심을 받고 있다.
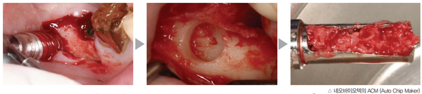
ACM은 피질골을 조각뼈 형태로 채취할 수 있는 제품으로 전용 스타퍼(4mm)로 안전하게 10초 이내에 1cc의 골 채취가 가능하다. GBR시술에 필요한 bone을 환자의 구강 내에서 바로 채취할 수 있다. 또한 안전하고 빠르게 자가골을 채취한다는 점에서 합성골이나, 이종골 사용에 따른 감염우려와 면역 거부반응들을 걱정하는 환자의 부담을 없애줄 수 있다.
이러한 장점 때문에 전 세계 저명한 전문가들의 ACM에 대한 극찬이 이어지고 있다. 18만 명의 글로벌 회원을 보유한 세계적인 임상 사이트(Dentalxp.com)의 디렉터 모리스 살라마 교수를 포함해 크레이그 미츠(Misch Implant Dentistry 구강외과), 홈 레이 왕(Michigan University 치주과) 등이 대표적이다.
ACM 사용시 필수품인 전용 스타퍼는 투명한 재질로 돼 있어 Bone이 채취되는 것을 직접 눈으로 확인할 수 있다. 채취된 본의 이탈을 막아주는 전용 스타퍼는 용수철 형태로 Flexible 하게 디자인돼 드릴 내부로의 주수가 쉬워 고속 드릴링(300RPM) 시에도 Bone Heating을 방지해 줘 신선한 골을 채취할 수 있다.
저속으로(50RPM) 사용할 경우 주수없이 사용해도 heating 없이 쉽게 골 채취가 가능하다. 혈액과 채취된 뼈가 섞이면서 Particle size의 골 채취로 턱 주위뿐만 아니라 식립된 임플란트 주변에서도 쉽게 채취가 가능하다.
네오관계자는 “ACM을 사용하면 임플란트 수술과 관련된 골이식을 매우 쉽게 할 수 있으며 자가골 채취를 통해 향후 다양한 고난이도의 임플란트 수술에 응용할 수 있다”고 설명했다.
(문의 1577-2885)
