“초기고정 기술력은 그대로 더욱 술자 친화적으로 진화한 임플란트”
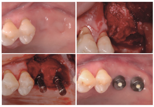
2003년부터 덴티움 임플란트만을 사용해 온 한승민(서울이촌치과) 원장은 덴티움의 ‘Bright Implant’ 를 활발히 사용하고 있다.
한 원장은 “‘Bright Implant’는 그동안 높은 성공률과 안정성을 인정받은 덴티움의 제품군과 같은 임플란트 표면처리라 믿음이 생겼다. 무엇보다 주목한 것은 디자인과 픽스처-어버트먼트 커넥션의 변화”라고 밝혔다.
# 임상가 위한 고심 흔적 역력한 Bright Implant
기존 덴티움 제품군은 초기 고정력을 얻기 위한 최적의 Tapered Design을 갖고 있어 초보자도 쉽게 초기 고정력을 얻으며 Early Loading도 가능했다. 하지만, 반대로 이러한 점 때문에 수술하기에 까다롭다는 임상가도 많았다는 지적이다.
한 원장은 “덴티움이 이런 점을 충분히 알고, 개선하기 위해 여러 시도를 한 끝에 드디어 접점을 찾았다”면서 “‘Bright Implant’가 바로 그 고심의 흔적을 짐작할 수 있게 하는 제품”이라고 설명했다.
한 원장에 따르면 “‘Bright Implant’는 디자인 측면에서 픽스처 자체의 Taper 정도를 줄였으면서도 초기 고정력 확보의 장점을 잃지 않았다는 것이다. 그러면서도 수술 과정은 좀 더 술자 친화적으로 바뀌어 Counter Sink 과정 없이도 임플란트가 덜 들어가거나 Hard Bone에 밀려 기울어져 버리는 현상이 확연히 개선됐다”고 언급했다.
# Thread 변화는 식립을 더 쉽게
특히 한 원장은 Thread의 변화도 눈여겨볼 점이라고 지적했다.
그는 “Microthread 없이 Macrothread만 채택하고, Thread의 간격도 Superline보다 조금 더 넓어졌다”면서 “식립을 좀 더 쉽게 하려는 의도가 어느 정도 성공한 것 같다”고 평가했다.
아울러 “기존 제품이 2.5mm Connection Depth 를 갖는데 비해 ‘Bright Implant’는 3.7mm로 Deep Connection을 갖는다”면서 “픽스처 어버트먼트의 접촉면적이 Superline군보다 50% 이상 증가됐다고 하는데, 이는 Joint Stability에 더욱 유리하게 작용할 것”이라고 밝혔다.
