1) Duplicating denture
2) Duplicating denture setting
4. Top Coat Coating
1) Top coat coating
틀니 내면에 top coat를 두세 번 도포하고 말린 후 입안에서 3분 정도 물고 있게 하였다.
Active functional impressin과 top coat 도포 방법을 선택하는 기준은 무엇인가?
Treatment denture는 tissue conditioner를 활용하여 내면조정과 border molding 과정을 거친다.
하지만 러버 인상재만큼 정밀한 인상면을 만들 수 없다.
• Active functional impression
치은협 이행부 잇몸조직이 견고하고 유동성이 적은 경우에는 실리콘 인상재를 이용해서 active functional impression을 하면 유지력이 증가된 인상체를 얻을 수 있다.
• Top coat coating
Border 부위 치은협 이행부 잇몸조직이 약하고 유동성이 많은 경우에는 러버 인상재를 이용해서 기능인상을 채득하면 불필요하게 border를 연장하게 된다. 추가적인 기능인상으로 연장된 border는 저작 시 통증을 유발한다.
Tissue conditioner 면에 top coat coating으로 기능인상을 마감한다.
5. 교합조정과 장착
1) 틀니 내면조정과 교합조정
별다른 내면조정을 거치지 않았다.
일주일 간격으로 두 번 교합조정을 실시하였다.
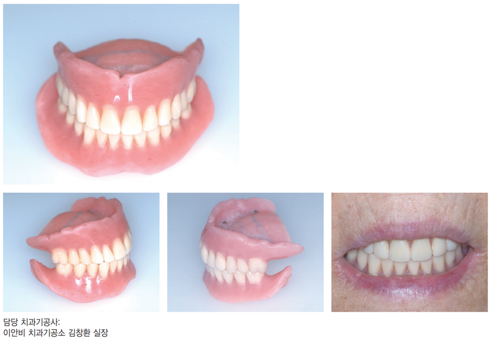
하악 틀니 유지력은 양호하다.
Treatment denture가 relining 과정을 거쳐 완성 틀니로 마무리되었다.
치과기공사에게 드리는 간곡한 부탁
Wax denture 에서 기능인상 후 만든 완성 틀니는 변연에서 연마면 2~3m m까지 변연봉쇄를 완성시키는 중요한 부위입니다. 이 부위는 절대로 polishing wheel이 지나가면 안 되는 부위지요. 직경이 큰 polishing wheel로 작업을 할 때 불가침 영역으로 여기고 침범하면 안 됩니다.
기능인상까지는 틀니 유지력이 우수했는데 완성 틀니에서 유지력이 저하되는 대부분 원인은 이 부위를 삭제했기 때문입니다. 너무 열심히 연마면 광내느라 고생하셨는데 뭐라 말할 수도 없고 그렇습니다.
자주 이런 경우를 당하면 원장인 제 마음이 조금 거시기합니다.
“Please, no touch!”
임상과정 요약
에필로그
이 환자는 완성 틀니 장착 후 한 달에 한 번씩 두 차례 치과에 내원했다.
“식사는 편안하게 하는데 종일 틀니를 끼고 있으면 답답하니 아래 틀니 크기를 줄여 주세요.”
“아래 틀니를 삭제하면 편안하지만 헐거워서 식사하기 어려워요. 답답하지만 식사를 잘하거나, 편안하지만 헐거워서 식사를 제대로 못하거나 둘 중에 어떤 방법을 선택하시겠어요? ”
“……밥심으로 일하는데 답답해도 참아야지요.”
김경헌 원장
現 예가치과 원장
•틀니임상, 감에서과학으로! (2021년, 대한나래출판사) 저자
•전치부 심미보철을 위한 콜라보 저자 (2021, 대한나래출판사) 저자
