1. Treatment Plan과 인상채득
1. Treatment Plan과 인상채득
환자는 70대 중반의 남성으로 60대에 상·하악 부분틀니를 제작해서 지금까지 사용하고 있다.
상악 앞니를 5년 전에 빼고 틀니를 수정하였다.
Surveyed crown으로 이용된 하악 전치부 보철이 빠진 지는 3년 정도 되었다고 하였다.
위 부분틀니처럼 아래 크라운 보철을 부분틀니에 고정만 해달라고 하였다.
필자는 환자와 함께 온 부인을 설득하여 완전틀니를 권유하였다.
잔존치근 발치 후 상·하 완전틀니를 계획하였다.
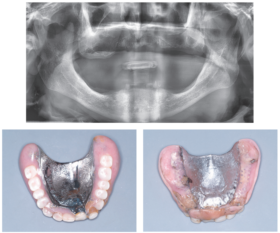
파노라마 방사선사진에서 보면 상악 전치부 치조골은 흡수가 심하고, 하악 전치부 치조골은 상방으로 돌출되어 있다. 또한 상악 구치 부위 치조골은 하방으로 돌출되어 있고, 하악 구치부 치조골은 심하게 흡수되어 있다.
기존 틀니를 이용하여 식사를 어느 정도는 할 수 있기 때문에 treatment denture 제작 방법보다는 완성 틀니를 계획하였다.
환자의 거동이 불편하기 때문에 가 능하면 내원 횟수를 단축해서 완성 틀니를 제작 해 드리기로 약속하였다.
이 틀니 프로젝트를 위한 핵심 포인트는 무엇일까요?
첫 번째, 인상
하악 구치부 치조제 상태가 너무 열악합니다. 특히 하악 좌측 구치부 치조정 형태는 음형 상태이고 유리치은이 치조제 대부분을 차지하고 있습니다. 혼수비를 줄여서 잇몸을 압박하는 인상이 필요합니다.
두 번째, 정확한 교합관계채득과 기능인상을 한 번에
중심위채득과 교합고경 그리고 기능인상까지 세 가지를 한 번에 끝내 주는 만능기구를 소개합니다. Gnathometer M입니다.
일석이조를 넘어 일석삼조 효과를 주는 똘똘한 기구입니다.
이 증례는 하악 구치부 치조제 상태가 매우 열악합니다. 인상 쓰지 말고 즐거운 마음으로 인상을 여러 번 채득해야 합니다.
아울러 거동이 매우 불편한 환자라 가능하면 내원 횟수를 줄여야 합니다.
세 번째, Kelly의 combination syndrome
Max. tuber osity가 하방으로 내려오고, 하악 구치부 치조제흡수가 심하게 진행되는 증상입니다.
이런 경우에는 완성 틀니 장착 후 하악 구치부에서 지속적인 통증을 유발합니다. 하악 완성 틀니에서 2차 기능인상도 염두에 두어야 합니다.
환자에게도 이런 상황을 알리고 미리 방어막을 쳐 두어야 합니다.
같은 문제도 사전에 알려 주면 명의가 되고, 문제가 일어난 후 수습하면 돌팔이가 됩니다.
2. Gnathometer M을 이용한 Active Functional Impression
1) Alginate wash impression
알지네이트를 이용하여 인상채득을 하였다.
2) 모델 분석
상악 악제 상태는 매우 양호하다.
하악 악제는 구치부 부위 치조정 흡수가 너무 많이 진행되었다. 특히 좌측 구치부 치조정은 negative 상태이다. 전치부는 돌출이 심하다.
파노라마 사진과 모델 진단에서 Kelly’ combination syndrome 상태를 확인하였다. 이런 증례에서는 완성 틀니 장착 후 하악 구치부에서 지속적인 통증을 호소한다.
심호흡을 한 번 하고 마음속으로 이렇게 외쳐 본다.
‘만만치 않은 증례군. 정신 차리고 해야겠네.’
3) Wax rim 조정과 VD 찾기
먼저 occlusal plane plate를 이용하여 상·하악 wax rim 교합평면을 조정한다.
Willis’ gauge를 이용하여 대략적인 VD를 찾는다. VD가 결정되면 Gnathometer M을 부착할 공간을 4mm 정도 삭제한다.
4) Gnathometer M 부착과 내면조정
Gnatometer M 수평 상태를 구강 내에서 확인하였다.
Fit checker를 이용하여 base plate 내면검사를 하고 심한 접촉 부위를 삭제하였다.
5) 상·하악 active functional impression
Gnathometer M이 부착된 tray를 이용해서 상악부터 실리콘 인상재를 이용하여 기능인상을 채득하였다.
이어서 하악도 기능인상을 채득하였다.
6) VD, CR 채득
Gothic arch tracing이 어느 정도는 형성되었다.
Tapping point와 apex 거리는 3mm 정도 떨어져 있지만 tapping point를 CR로 선택하였다. 이것은 하악이 전방으로 많이 돌출되어 있는 상태를 의미한다.
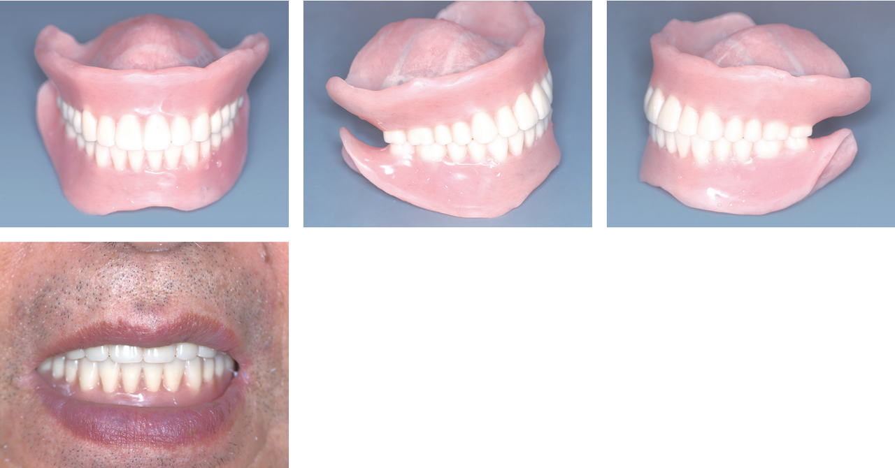
3. Wax Denture 시적
Kelly’ combinaton syndrome 때문에 하악 전치가 유난히 돌출되어 보이고 하악 구치부에서 통증을 호소하였다.
상악 전치부 배열 상태는 양호하다. 하악 전치부가 치은 부위까지 보인다. VD를 하악에서만 3mm 낮추기로 하였다.
Kelly’ combination syndorme
상악이 무치악 상태이고 하악은 전치부만 남아 있는 상태가 오랫동안 지속되었을 때 구강 내에서 일어나는 변화들이다. 다음 그림에서 보이는 것처럼 여러 부위에서 퇴행성 변화가 일어난다.
김경헌 원장
現 예가치과 원장
•틀니임상, 감에서과학으로! (2021년, 대한나래출판사) 저자
•전치부 심미보철을 위한 콜라보 저자 (2021, 대한나래출판사) 저자
