SNUC 보철 시스템으로 스트레스와 불안감 최소화
Q. SNUC 보철을 간단히 설명한다면?
SNUC 보철 시스템을 사용해 오고 있다. SNUC 세멘리스 보철 시스템은 심플하고 과학적으로 설계되어 안정적이다.
스누콘코리아의 SNUC 보철 시스템의 최대 장점은 SNUC만의 안정적인 구조를 갖춘 세멘리스 링크와 특허받은 디자인으로 설계된 어버트먼트로, 컨택 및 바이트의 정밀도를 높여 셋팅 시간을 대폭 줄였다.
Q. SNUC 보철의 차별점은?
기존 세멘 타입의 경우 잔존세멘으로 인한 문제를 겪거나, 다른 세멘리스 보철의 경우 티타늄과 지르코니아의 접촉으로 인하여 마모도 차이로 장기적인 안정성에 문제가 있기 마련이다.
이에 반해 SNUC 보철 시스템은 베이스와 링크 구조에서 기성 티타늄 베이스와 지르코니아 보철물에 연결된 기성 티타늄 링크가 접촉하여 지르코니아와 티타늄 베이스가 직접 접촉하지 않게 되어있어 장기적인 안정성에 유리하다고 생각된다. 세멘리스 보철에서 자주 발생하는 지르코니아 기공물의 에러로 인한 부작용을 원천적으로 차단하는 구조이다.
다른 세멘리스 보철의 경우 치아고경이 낮으면 사용할 수 없는 등 시술하기에 제한적인 케이스가 있지만, SNUC베이스 어버트먼트의 Octa구조가 최소 치아고경 4mm이상부터 사용이 가능하고, 직경이 4.5, 5.5 두 가지의 사이즈로 구성되어 있어 높낮이만 간단하게 선택하여 다양한 케이스에서 사용할 수 있다.
세멘리스 제품에 관심이 많아 그동안 다른 제품을 모두 다 사용해 봤다. SNUC 보철 시스템이 출시하자마자 바로 사용했다.
대부분의 세멘리스 제품들은 기공적인 측면에서 에러가 많다. SNUC의 경우 개발 단계에서 기공사가 함께 참여하여 기공 과정에서의 오류를 줄이려고 노력한 제품이라고 생각된다.
무엇보다 시중에 세멘리스 보철은 많이 있지만 여러 제품들 중에 심미적, 구조적 측면에서 많이 고민하여 사용자 입장에서 포기해야 하는 것을 최소화한 시스템이다.
Q. SNUC 보철을 사용하는 이유는?
스누콘코리아의 SNUC 보철 시스템의 경우 스트라우만 기존 커넥션을 이용했으며 타사와 비교했을 때 가격도 더 저렴하고 안정적인 구조를 갖추고 있다.
SNUC 보철 시스템은 현재 디지털 세멘리스 보철을 선택해야 한다면, 어쩔 수 없는 선택이다.
타사의 경우 장점도 있지만 단점도 있기 때문이다.
치과의사로서 진료할 때 많은 장점보다는 단점이 적은 것을 사용해야 한다고 생각한다. SNUC가 타사대비 완벽하게 뛰어나다기 보다는 타사 제품들의 단점들을 최대한 보완하여 출시된 제품이라고 생각한다.
세멘 보상이 주어지지 않는 세멘리스 타입의 경우 더욱 높은 정교함을 요구하는데, 타사 세멘리스의 경우 매우 세밀한 가공 과정을 거쳐야 하는 구조를 갖고 있어 기공소에서도 어려움을 겪을 수밖에 없다.
이에 반해 SNUC는 단순한 구조의 기공 과정으로도 견고한 보철물을 제작할 수 있다는 장점이 있다. 스캔 파일을 SNUC 거점 기공소에 전달하기 때문에 문제가 발생할 일이 없고, 높은 정밀 정합도를 갖춘 SNUC 라이브러리를 통해 보철물이 제작된다.
Mua 시스템을 오래전부터 사용해 왔으나, 멀티플 케이스 밖에 적용이 안되고, 디지털 방식의 스캔이 어려운 경우가 많고, 티타늄실린더를 접착해야 하는 번거로움이 있는 단점이 있었다.
SNUC의 경우는 mua 시스템과 비슷한 컨셉을 가지고 있으면서, 멀티플 케이스뿐만 아니라, 싱글케이스에도 적용이 가능하고, 디지털, 스캔바디의 이용이 간편하게 되어 있다. 뿐만 아니라 케이스에 따라 링크를 사용할 수 있고, 사용하지 않을 수도 있고, 세멘 어버트먼트를 체결할수도 있고, 디지털 스캔을 통하여 소프트메탈을 이용한 PFM 제작도 편리하다. SNUC 보철 시스템은 만족하며 사용하고 있다. 보철을 하며 스트레스와 불안함이 줄었고 셋팅 시간도 줄었다.
나는 스크류 타입 보철을 15년 이상 사용해 왔으며 세멘리스 제품에 새 제품이 출시되면 꼭 사용해 본다. 하지만 현재는 보험 임플란트 보철을 포함하여 임플란트 보철의 대부분을 스누콘 코리아의 SNUC 보철 시스템을 사용한다.
Q. SNUC 보철을 이용한 임상 증례를 소개할 만한 케이스는?
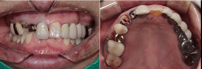
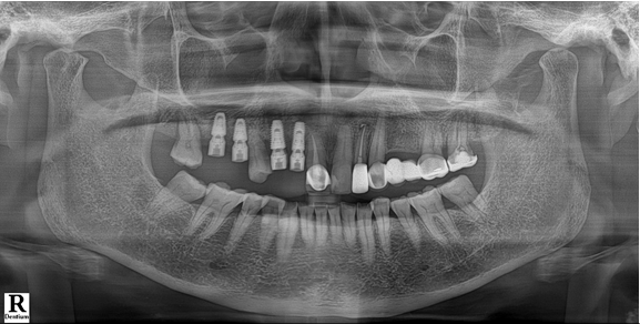
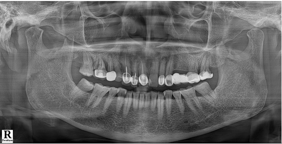
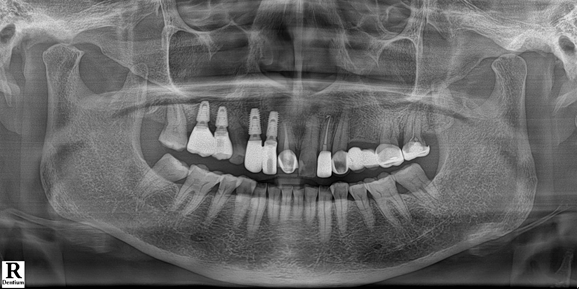
전치부는 지르코니아, 구치부는 보험임플란트 pfm 으로 제작 (70세 여자)
c.c: 앞니가 부러졌고, 오른쪽 어금니가 아파요.
