‘bright CT’ … 아티팩트 최소화해 금속 소재 보철물이 있는 부위 형태와 조직 선명하게 보여
덴티움이 새롭게 출시한 CBCT ‘bright CT’ 가 고해상도 영상구현으로 더욱더 관심이 집중되고 있다.
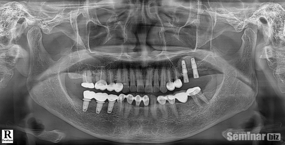
최근 개원가에 서지컬 가이드 사용량이 늘어나며 MAR 기술의 중요성이 커지고 있다.
최신 MAR(Metal Artifact Reduction) 알고리즘이 적용된 ‘bright CT’는 금속성 물질이 일으키는 아티팩트를 최소화하여 금속 소재 보철물이 있는 어느 부위든 그 형태와 조직을 선명하게 보여주는 점이 특징이다.
CT 데이터와 스캔데이터(STL)의 병합 시 메탈 번짐으로 영상처리에 어려움이 있지만 ‘bri ght CT’는 이를 최소화했다.
최근 이슈가 되고 있는 선량에 대한 강점도 가지고 있다. 요즘 치과에 방문하는 환자들은 CT사진을 찍을 때 노출되는 방사선 걱정이 많다. 그렇기에 병원도 저선량 CT 장비에 관심이 높아질 수 밖에 없다. 이를 해결하기 위해 덴티움이 자체 개발한 Detector의 최신 기술을 적용해 촬영 시간을 줄이고, 고감도 센서로 선량을 낮췄다.
# 구강상태 정확히 진단하는 데꼬옥 필요한 CT
또한, 신경치료에 대한 관심도 많아지고 있어, CT와 파노라마 영상 진단뿐 만 아니라 Endo모드를 통해 신경관까지 신속하고 정확한 진단 가능하다. 촬영 시 80um의 영상 을 제공한다. 더욱 정확한 영상으로 진료시간을 줄 일 수 있다.
치과에서 CT는 환자의 구강상태를 정확히 진단하고 치료하는 데 있어서 없어서는 안 될 진단장비가 됐다.
박호균 (서울드림치과) 원장은 “파노라마, CT 모두 가성비가 아주 훌륭한 제품이다. 진작에 바꿀걸 후회하고 있다. 전치부상도 잘 보여 이전에 보이지 않던 질환 진단에 도움이 되기 때문에 환자 진단 동의율도 높아졌다”고 강력 추천했다.
파노라마 촬영 시 Auto Focus Panoramic 알고리즘을 적용해 선명한 전치부 영상뿐만 아니라 진단에 최적화된 이미지를 제공하기 때문에 환자와의 상담 시 설명하기에 매우 편리하다. 인공 음영 Zero, 임플란트 나사선까지도 세밀하게 확인이 가능하다.
# 빠르고 안전하고 정확하게 진단 가능
bright CT는 Free FOV 시스템으로 진료 목적에 맞게 다양한 영상 사이즈를 선택할 수 있다.
파노라마및 CT 촬영의 경우 재구성 시간을 줄여주기 때문에 빠르고 안전하게 정확한 진단을 내릴 수 있다는 것도 타사와 구별되는 차별점이다.
촬영한 영상을 손쉽게 확인하고 분석할 수 있는 Dentium 3D Viewer 소프트웨어가 함께 제공된다.
수술 전 임플란트 식립 위치와 방향, 깊이까지도 설정이 가능하고 다양한 기법을 활용해 정확한 진단이 가능하다.
bright CT를 사용하고 있는 이윤호 (유노치과) 원장은 “3D Viewer 사용 시 직관적인 UI로 처음 사용해 본 유저도 쉽게 사용할 듯하다. 이전에 사용하던 장비와 비교했을 때 매우 선명한 화질 구현에 만족하며 가성비도 매우 좋아 동기들에게 추천 중”이라고 극찬했다.
방사선 촬영을 위한 교육이나 번거로움도 없앴다. 바로 덴티움의 완벽한 S/W 지원과 직관적인 프로그램 때문이다.
새로운 장비의 도입은 새로운 기술의 도입이라는 측면에서 사용자에게 다소 부담스러운 부분이 있다. 하지만 덴티움의 bright CT는 이러한 부담까지 완벽히 해소했다.
#전치부 영상 표현도 좋아
기술과 교육 지원으로 부담까지 낮췄다. 김흥수 (중원치과) 원장은 “덴티움 bright
CT를 사용하면서 가장 만족했던 부분은 빠른 대응과 설치 후 사후 처리에 상당히 만족 한다.”고 전했다.
또한 “파노라마 영상 치아 인접면이나 신경관이 선명하며 특히 전치부 영상표현이 좋다.”라고 추천했다.
무엇보다 CT를 도입하는 근본적인 이유는 정확한 진단을 위해서다. 정확한 진단에 의해 정확한 치료 계획을 세울 수 있기 때문이다.
bright CT가 인기를 많이 얻고 있는 이유는 해상도는 타사 대비 획기적으로 높이고 가격의 부담은 줄였다는 것을 꼽을 수 있다.
덴티움 관계자는 “‘bright CT’는 저선량으 로 고선명의 이미지를 얻을 수 있다는 장점을 앞세워 유저들로부터 큰 호응을 얻고 있다”며 “올 하반기 국내 CT시장에 돌풍을 일으킬 것으로 예상된다”고 기대감을 내비쳤다.
