임플란트를 이용한 교정-1 (전체교정)
3. 임플란트를 이용한 교정-1 (전체교정)
전후방적 수직적 고정원확립을 위한 임플란트의 이용
임플란트는 치주인대가 존재하지 않고 움직일 수 없다는 특성 때문에 교정치료가 마무리된 후 식립 및 보철을 진행하는 것이 원칙입니다.
그러나 임플란트 주변치아들의 움직임이 예측가능하고 total distalization이나 total protraction에서처럼 모든 치아들이 같은 방향으로 움직여야 하는 경우, 즉, 골성 고정원이 유용한 경우에 있어 임플란트는 조기에 식립되어 교정치료를 위한 고정원으로 이용될 수 있습니다.
특히 구치부의 조기 임플란트수복은 두가지 의미에서 중요한 고정원으로 작용할 수 있습니다.
첫째 전치부 치열들을 후방이동시키는데 이용될 수 있습니다. 고정원으로서 Miniscrew를 이용하는 것과 보철용 임플란트를 이용하는 것은 약간 다른 이동을 일으킵니다.
Miniscrew의 식립 위치상 miniscrew를 이용한 후방이동은 치열에 함입방향의 vector와 occlusal plane의 rotation을 동반하기 쉬우나 임플란트 보철물을 이용한 후방이동은 이런 현상이 없으므로 조금 더 단순한 역학을 구사할 수 있게 됩니다.
둘째 수직적인 상하악 고경의 붕괴를 막아줄 수 있습니다. 특히 제1,2대구치가 모두 결손된 경우 저작력에 의해 전방부 치아들이 함입되는 힘을 받으며 치주가 좋지 않고 저작력이 강한 경우 교합성 외상이 발생해 전치부가 flare되고 안면의 수직고경이 붕괴되는 현상이 발생할 수 있습니다. 때문에 조기에 구치부 임플란트를 식립후 보철수복을 해 줄 경우 전치부의 교합성외상을 방지하고 수직고경을 유지시켜주는데 도움이 됩니다.
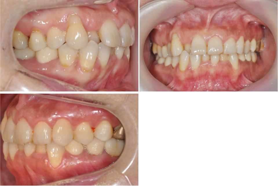
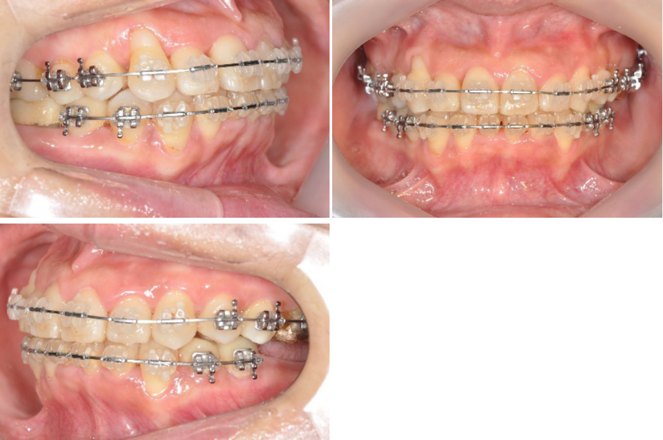
이 환자는 하악우측 제2대구치와 좌측 제1,2대구치가 결손된 환자로 하악 양측 distal cantilever 보철물 하방의 식편압입과 잇몸염증을 주소로 내원하였습니다. 또한 전치부의 crowding을 해결하기 위한 전악교정치료를 원하셨습니다.
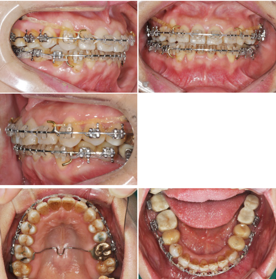
하악구치의 cantilever 보철물을 제거하고 temporary crown으로 수복하여 bracket을 부착하였으며 결손부위는 일단 놔둔 상태에서 교정치료를 진행하였습니다.
전치부 decrowding의 영향을 고려하더라도 상하악 전치부의 flare와 동요도가 발생하였는데 이는 대구치부위 posterior support의 부재의 영향이 큽니다.
상악에서 miniscrew를 이용한 2mm 정도의 total arch distalization을 계획하였으므로 상응하는 최종교합형성을 고려하여 하악 대구치부에 임플란트식립을 진행하였고 구치부 support의 조기확립을 위해 temporary crown을 이용한 임플란트 상부보철 진행후 하악치열의 후방이동을 진행하기로 하였습니다.
하악임플란트상부보철물에 tube를 부착하되 tube slot에 각형호선이 가급적 passive 하게 들어가도록 보철물의 모양과 tube 부착위치를 조절하였습니다. 계획된 후방이동량만큼 임플란트 보철물과 전방 자연치간의 space를 형성하여 전방치열을 후방견인하였습니다.
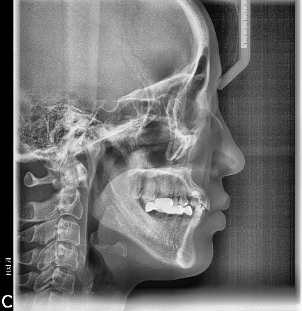
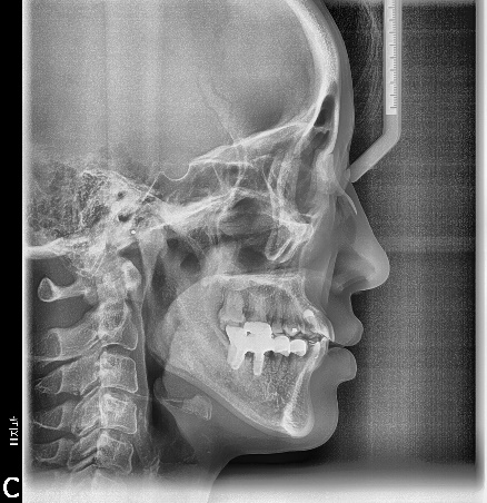
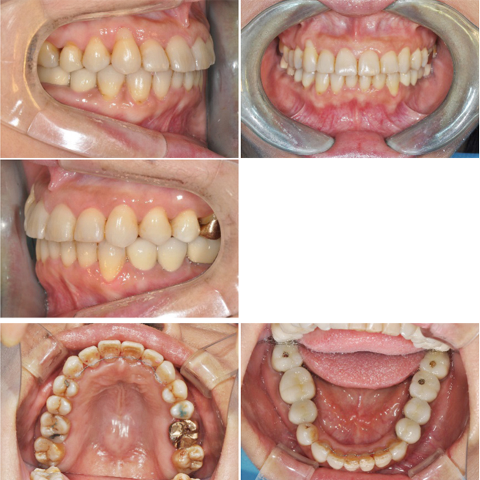
마무리된 교합은 초진시에 동일하게 양측 Class 1 교합으로 마무리하였으며 측모두 부방사선 사진에서 보듯 교정중 발생했던 전치의 flare가 개선되었습니다.
구치부 상실시 임플란트 조기식립은 고정원 확립에 있어 상당한 장점을 가지고 있으므로 대합치와 인접치의 최종위치를 예상해 정확한 위치에 식립될 경우 교정치료에 유용하게 이용할 수 있다고 생각됩니다.
대구치의 경우 수복시 임플란트의 길이와 직경은 골폭과 수직적골량을 보고 결정해야 합니다. 다만 해당치아가 상실된 시간에 반비례하여 수평적,수직적골량은 줄어들게 됩니다. 이때 마지막으로 고려해야 할 사항이 골의 각도입니다.
즉 기저골로부터 치조정으로 올라오는 각도를 보고 외과적 방법-GBR with resorbable/ non-resorbable membrane & bone , Crestal contouring, Ridge split-을 결정해야 합니다.
임플란트의 식립위치는 최후방치아로부터 대구치의 경우 5mm, 소구치의 경우 4mm 를 띄워 초기 드릴링을 시행해야 하며 이때 이 위치가 수복하려고 하는 치아의 정중앙으로 가도록 노력하는 것이 필요합니다.
최종적으로 대합치의 상태를 보고-특히 교정을 먼저한 경우는 원래의 해부학적위 치와 달라지는 경우가 있을 수 있기 때문에 이러한 여러요소들을 고려해서 임플란트식립과 보철을 마무리하는 것이 좋습니다. 위의 증례에서는 이종골과 흡수성막을 통한 수평골확장술을 시행하며 4.5와 5.0직경의 8mm임플란트로 마무리하였습니다.
● 서울대학교 치과대학및 동대학원 석박사
● 미국하버드치과대학교환교수
● 서울대학교 및인제대학교 외래교수
● 서울H치과원장
● 서울대학교 치과대학 및 동대학원 졸업
● 가톨릭대학교 대학원 박사(교정학 전공)
● 인제대학교 상계백병원 외래교수
● DentalBean 교정 Course Director
● 서울H치과 원장
