임플란트를 이용한 교정-2 (부분교정)
4. 임플란트를이용한 교정-2 (부분교정)
부분교정에서 임플란트 조기 식립의 유용성에 관하여
부분교정에서는 고정원의 부족이 가장 큰문제이므로 원하는 방향으로 원하는 양만큼 치아를 이동시키는데 한계를 갖게 됩니다. 특히나 부분교정이 이루어지는segment의 terminal tooth를 이동시키는 것은 매우 어렵습니다.
때문에 부분교정에서 임플란트 보철물을 고정원으로 사용하는 것은 전체교정에서보다 훨씬 더 중요한 의미를 가집니다.
임플란트 보철물에 붙여진 bracket slot의 방향에 맞춰 archwire로 연결된 모든 치아들이 3차원적으로 이동할 수 있게 되며 segmenta내 terminal tooth의 전후방적, 수직적, 횡적 조절에 있어 매우 유용하게 사용될 수 있습니다.
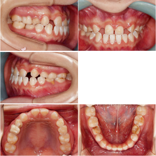
이 환자는 19세 여환으로 multiple congenitalmissing을 가지고 있으나 전치부 반대교합과 spacing의 해결만을 위해 내원하였습니다. 부분교정 시행후 상악 양측측절치 부위를 임플란트로 식립하기로결정하였습니다.
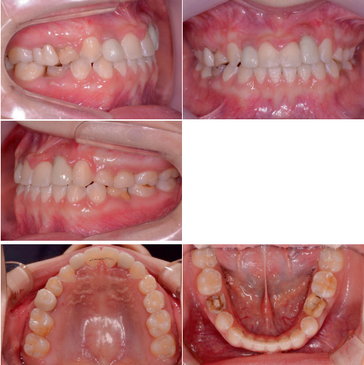
상악 양측 견치의 수직적 위치가 다른 것을 알 수 있습니다. 이는 추후 교정치료가마무리되면 전치부 교합평면의 canting이 확연히 보이게 되므로 문제가 될 수 있습니다.
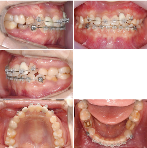
반대교합 수정과 측절치 임플란트 식립및 temporary crown을 이용한 보철수복이 이루어졌습니다. 양측 견치의 수직적 차이가 조금 더 명확해졌습니다.
Occlusal canting을 수정하기 위해 상악 좌측 임플란트보철물에 bracket을 기울여 붙여서 slot의 방향대로 archwire가 삽입되었을때 좌측 견치는 정출되고 우측 견치는 함입되도록 하였습니다.
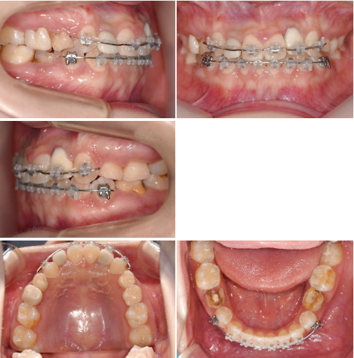
Slot의 방향에 맞춰 전치부 occlusalcanting이 개선되었습니다. 좌측견치의 정출이확연히 눈에 띕니다.
교정 마무리후 임플란트 상부 보철은 임시보철에서 최종보철로 변경해 주었습니다.
초진시부터 마무리까지 양측 견치 tip을 연결한 선을 기준으로 frontal occlusalplane의 변화를 비교 시occlusal canting의 개선을 확인할 수 있습니다.
부분교정에서 임플란트 조기식립과 상부 보철제작은 occlusal canting과 같은 수직적문제 외에도 scissorbite와 같은 횡적 문제 개선에 유용한 solution이 되므로 임상에서적극적으로 고려할 만합니다.
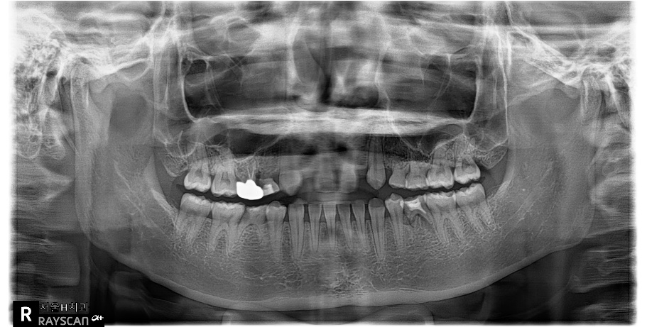
상기 환자의 경우 선천적 결손치부위인 12번과 22번의 공간은 교정으로 확보가 되어 있었으나 수술할 당시에 환자가 내원을 오랫동안 하지 않아 22번 공간에 약간의 relapse가 발생되어있는 상태였습니다.
양측 모두 처음에는 골이식없이 2.5직경의 onebody implant를 식립하였는데 22번의임플란트는 골유착 실패로 제거하게 되었습니다. 다시 마무리 교정을 한 후에 4개월 후 22번에 3.5직경의 임플란트를 골이식과 더불어 식립하였고 최종 보철물을 마무리하였습니다.
확실히 상악 전치부 동일부위에 2번의 수술을 진행하는 경우는 harmonic gingival line을 맞추는 것은 쉬운일이 아니라고 생각됩니다.
다시 한번 한광흥 원장님께 깊은 감사를 드립니다.
