Tooth Color Communication
본지는 수회에 걸쳐 김경헌 원장의『전치부 심미보철을 위한 콜라보』(대한나래출판사 2021년7월1일 발행) 책 일부를 게재해 전치부심미보철에 대한 이해를 돕고자 한다.(편집자주)
Tooth color interpretation
2000년대 초반 지르코니아 치과재료의 등장은 치과계에 많은 변화와 시도를 가능케 했다.
눈에 보이는 치아는 어떤 색일까? 전치부 심미보철에서 가장 중요한 치아색에 관한 물음이다. 치아의 형태와 보철물 상태에 따라 다르게 보인다.
진료실 조명, 벽지의 색, 자연광 상태 등의 변수가 있다. 환자의 입술 화장 색조, 잇몸의 색상 등도 중요한 변수이다.
육안으로 관찰한 색상정보는 치아주변에 있는 여러조건과 진료실 환경 그리고 자연광상태 등 다른 수많은 조건이 함께 변수로 작용한다. 전치부 치아도재 작업 전에 치아색을 결정하는 일은 치과의사와 치과기공사 모두에게 어려운 과정이다.
인접한 자연치와 조화를 이루는 형태와 색을 만들기 위해서 정확한 색상을 해석하고 선택한다.
치아색을 정확하게 interpretation 하더라도 단일색상이 아니다. 16 개의 shade tab 중에서 해당 치아와 어울리는 색을 선택한다. 이 과정은 color matching이라는 표현이 더 적합하다.
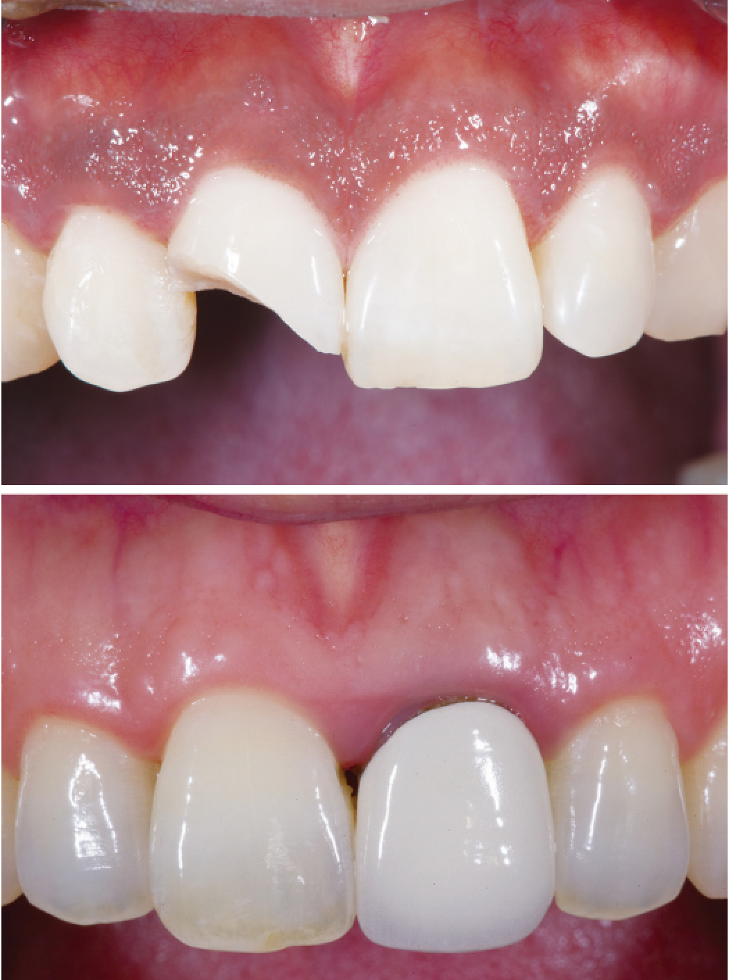
#11 zirconia 재보철
이 증례에서 상대 치아인 좌측 중절치에 나타나는 색을 종이에 그린다면 치경부, 중앙부 그리고 절단부에 분포된 색상은 너무 다양하다. 기저색은 A2로 결정했다.
A계열 색상 A1, A2, A3 shade tab 3개가 우측 중절치색에 대한 정보를 어느 정도 표현할까? 명도순으로 배열된 D2, A2, C1 shade tab 3 개는 치아색에 대한 정보를 어느 정도 표현할까?
보철 작업은 치과의사와 치과기공사가 함께하는 ceramic art이다. 우측 중절치 재보철을 위한 ceramic art에는 정확한 색상파악이 필요하다. 제한적이지만 shade tab이 중요한 interpretation 도구이다.
The language of color and collaboration
발거한 자연치아를 기공소에 보내 PFM도재를 제작하면 어떨까? 발거한 치아를 기공소에 보내 자연치와 가장 유사한 PFM 도재 작업을 의뢰했다.
완성도 높은 PFM이 제작됐다. 진료실에서 촬영한 색상사진으로 #12 zirconia 도재를 제작하면 어떨까?
#12 zirconia 보철
우측 측절치에 심한 우식이 발생했다. 치아삭제 후 zirconia로 수복했다. 진료실에서 치아에 상응하는 shade tab을 선택하고 사진을 촬영했다.
촬영한 색상정보는 메모리 카드에 담아 기공물과 함께 기공소에 보냈다. 주변치아와 잘 어울리는 수복물이 완성됐다.
발거한 자연치아를 기공소에 보내거나, shade tab과 함께 촬영한 치아사진을 보낼 때 분명한 목적은 정확한 색상정보를 전달하는 것이다. 치과의사와 치과기공사가 사용하는 색상 언어(language of col or)가 동일해야 한다.
동일한 색상 언어로 소통이 가능할 때 collaboration이 이뤄진다. Shade tab과 자연치아를 함께 촬영한 임상 사진은 색상언어를 전달하는 메신저이다. 정확한 노출과 적합한 구도를 충족시킨 임상 사진 촬영이 필요한 이유이다.
일부 국가에서는 보철물 제작을 위해서 환자가 치과기공소를 방문하도록하는 제도를 시행하고 있다.
한국 치과계에서도 그런 제도가 만들어진다면 훨씬 더 좋은 보철물 제작을 할 수 있을 것이다.
(다음호에 계속)
글_김경헌 원장
現 예가치과 원장
『틀니임상, 감에서 과학으로! Active Functional Impression』 (2021년)
