전치부 심미보철 제작 시 사진 촬영은 필요한가?
전치부 심미보철 제작 시 사진 촬영은 필요한가?
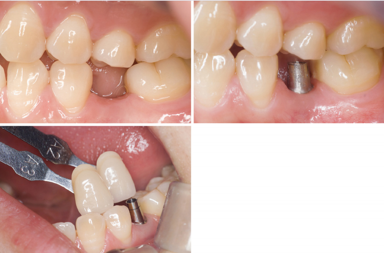
#12 zirconia 보철
대부분 치과의사들에게 상악 전치부 보철치료는 일상화된 진료이다. 구치부 보철에 비해서 상악 전치부 보철치료는 심미성이 우선이다. 새로운 보철물이 주변치아는 물론이고 안모와 어울리는 색상과 형태로 재현되어야 한다. 환자가 원하는 보철치료는 어떤 것일까?
식사할 때 편안한 저작기능을 요구한다. 하지만 이 기능만 요구하는 환자는 없다. 저작기능과 함께 주변 치아, 잇몸조직 그리고 안모와 어울리는 심미적인 보철을 요구한다. 심미적이고 기능적인 전치부 보철을 제작하려면 치과기공사와 치아색에 대한 긴밀한 소통이 필요하다.
상악 전치 부 1개 치아를 보철치료할 때는 색상정보를 상세하게 치과기공사에게 전달해야 한다. 상악 전치부 편측으로 2개 혹은 3개 치아를 보철치료 해야 할 때도 있다. 이런 경우에는 색상과 형태정보까지 보내야 한다. 상악 6전치 모두를 보철치료할 때는 색상정보뿐만 아니라 ant. guidance, width/length ratio, smile line 등 기공 제작에 필요한 다양한 정보들을 취합해서 전달해야 한다.
이런 심미보철 제작에 필요한 정보를 전달 하는 데 기공의뢰서를 사용한다. A4 용지 1장에 빼곡히 기록한 내용보다 1장의 사진에 더 많은 치아 정보를 담아낼 수 있다. 노출과 구도가 적절한 1장의 사진에는 기공 작업에 필요한 많은 정보가 담겨 있다. 임상 사진 촬영에 관한 이론과 실습을 배워야 할 근거이다.
인접치와 유사한 보철을 제작하려면 어떻게 기공의뢰서를 작성해야 할까?
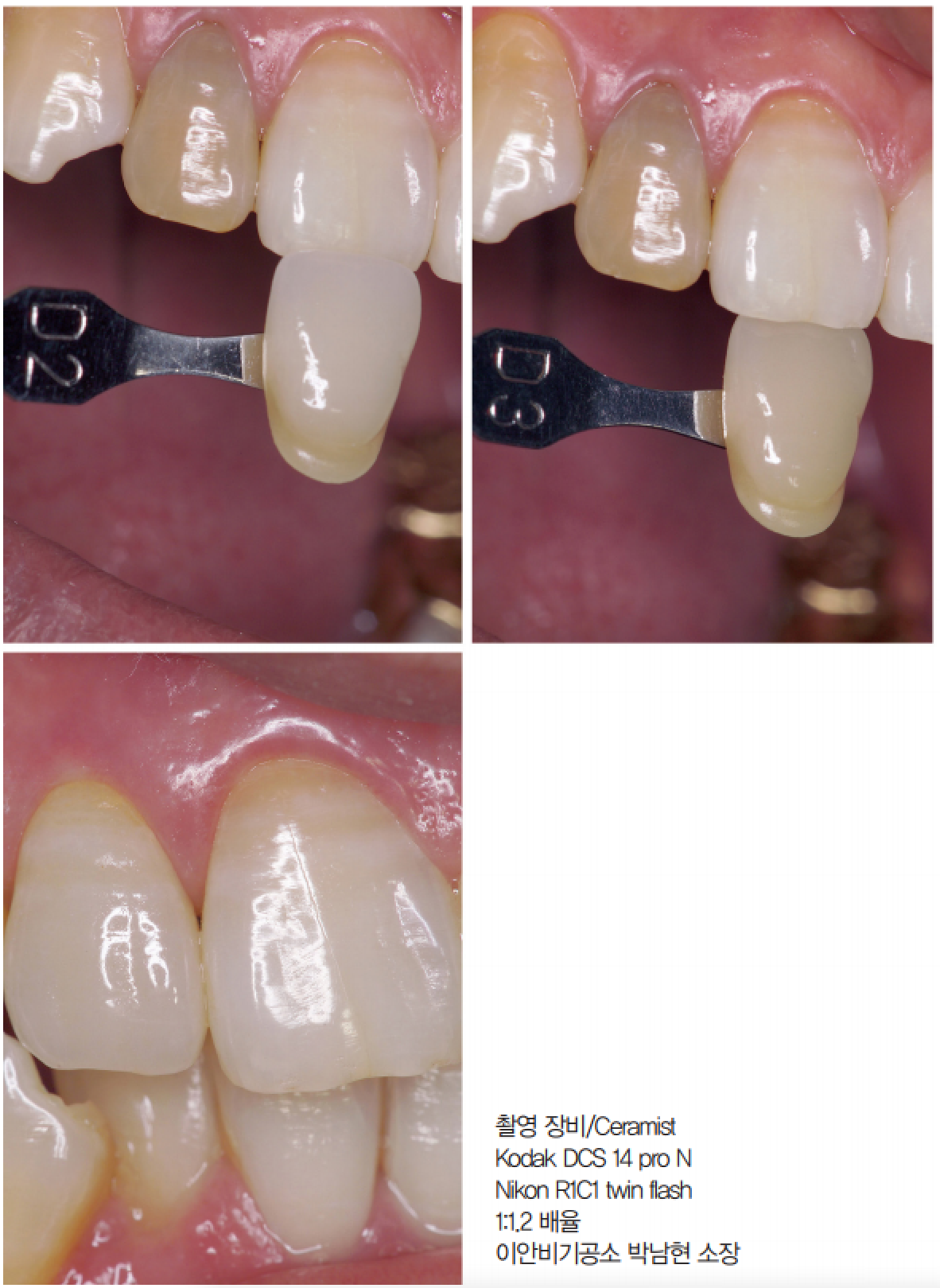
이 증례처럼 D계열 색상에 노란색 수평 줄무늬가 있는 치아는 보철물 제작이 어렵다. 정확한 기저색 선택 후 shade tab과 치아를 촬영한 임 상 사진을 치과기공사에게 전달해야 한다.
이 사진을 누가 촬영해야 할까?
치과의사가 직접 촬영해야 한다. 간혹 스태프들에게 일임하는 경우가 있지만 임상 가치가 높은 사진을 얻 기는 어렵다. 스마트폰으로 임상 사진을 촬영하여 SNS를 활용하여 치과기공사에게 전달하는 방법은 쉽고 편리하다. 하지만 규격화되고 일관성 있는 임상 사진을 얻기는 어렵다. 치과 임상 사진 촬영은 완성도 높은 전치부 심미보철을 보장하는 중요한 도구이다.
"청출어람 같은 이 책을 추천합니다."
지난 30년 간 지근거리에서 지켜보는 입장에서 말하자면, 김경헌 원장은 끊임없이 정진하는 모습을 보였습니다. 언제나 변신에 변신을 거듭하는 자세가 있었기에 오늘날의 이런 작품이 나올 수 있지 않았을까 합니다. 김경헌 원장을 통해서 저는 ‘청출어람’이라는 말의 의미를 현실 세계에서 체감하고 있습니다.
‘청은 남에서 나왔지만 남보다 더 푸르다’는 말을 김 원장님 스스로 증명하며 실천하고 있습니다. 저는 하나를 말했는데 이 분은 일백을 실천하고 있으니까 혀를 내두를 정도이며 입이 다물어지지 않습니다.
이 책은 전치부 심미보철을 잘하고 싶은 개원의라면 반드시 알아야 할 꼭 필요한 최신의 정보들이 일목요연하게 빼곡히 잘 정리되어 있습니다.
이 책을 원장님 책상에 펼쳐 놓으시고 하나씩 체크를 하면서 진료실에서 준비하고 익혀 나가신다면 분명 원장님의 임상의 향상과 환 자로부터의 칭찬 그리고 병원 경영에 체감적으로 많은 도움이 될 것으로 믿어 자신있게 추천합니다.
-유영준 (분당 형치과병원) 원장-
김경헌 원장
● 現 예가치과 원장
●저서 『틀니임상, 감에서 과학으로! Active Functional Impression』 (2021년)
