Tooth color and shape
본지는 수 회에 걸쳐 김경헌 원장의 『전치부 심미보철을 위한 콜라보』 (대한나래출판사 2021년 7월 1일 발행) 책 일부를 게재해 전치부 심미보철에 대한 이해를 돕고자 한다. (편집자주)
Tooth color and shape
상악 전치 특징
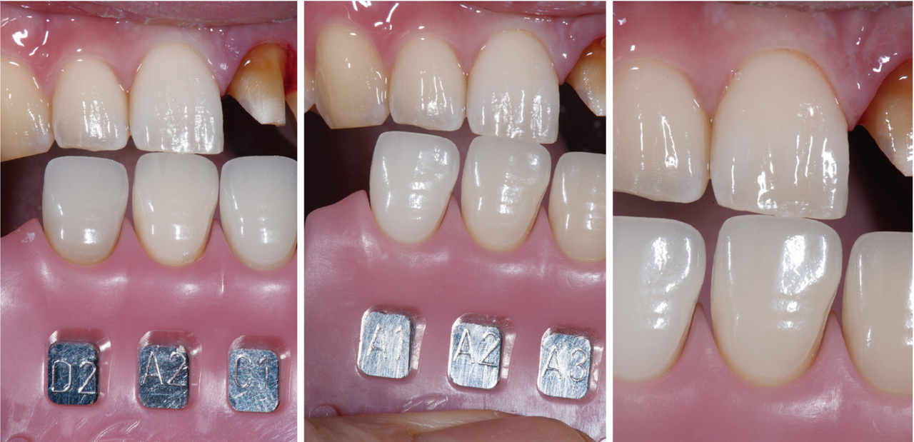
상악 전치부는 심미보철에서 가장 중요한 부위이다. 중절치, 측절치, 견치가 형태와 색상에서 매우 다른 특징을 보인다. 각각 치아가 지닌 특성을 파악하고 이해할 때 심미적으로 우수한 보철을 만들 수 있다.
Enamel과 dentin 특징
법랑질과 상아질은 자연치아를 구성하는 중요한 구조물이다. 정확한 도재 작업을 위해서는 법랑질과 상아질의 특성을 정확하 게 파악하는 것이 중요하다.
Enamel(법랑질)
법랑질은 투명감, 표면 성상을 결정하는 부위이다. 법랑질의 반투명성은 다양한 광학적 특징을 유도한다. 법랑질층은 색을 결정하는 인자가 적다. 법랑질층은 나이가 들면서 착색되고 마모되면서 독특한 반투명성을 보인다. 법랑질은 자연치아가 지닌 고유한 색과 투명감을 결정한다. 환자의 개성을 표현하는 중요한 부위이다. 세월의 흔적이 기록되는 곳이기도 하다.
Dentin(상아질)
색상(hue)과 채도(chroma) 그리고 명도(value)를 결정하는 부위이다. 상아질은 자연치의 색, 즉 body color(기저색)를 결정하는 부위이다. 자연치아색상의 80%를 담당한다. 반투명한 아크릴판을 통해서 뒤에 있는 붉은색 카드를 보면 색감이 다르다.
반투명한 법랑질을 통해서 본 상아질과 법랑질을 제거한 후 드러난 상아질의 색상은 다르다. 법랑질의 반투명성은 치아색을 표현하는 중요한 요소이다.
Cervical, body, incisal 특징
Cervical(치경부)
법랑질층이 얇아서 채도가 높고 명도가 낮다.
치은과 인접해 있기 때문에 도재 작업 시 색상과 형태를 표현하기 가 매우 어려운 부위이다.
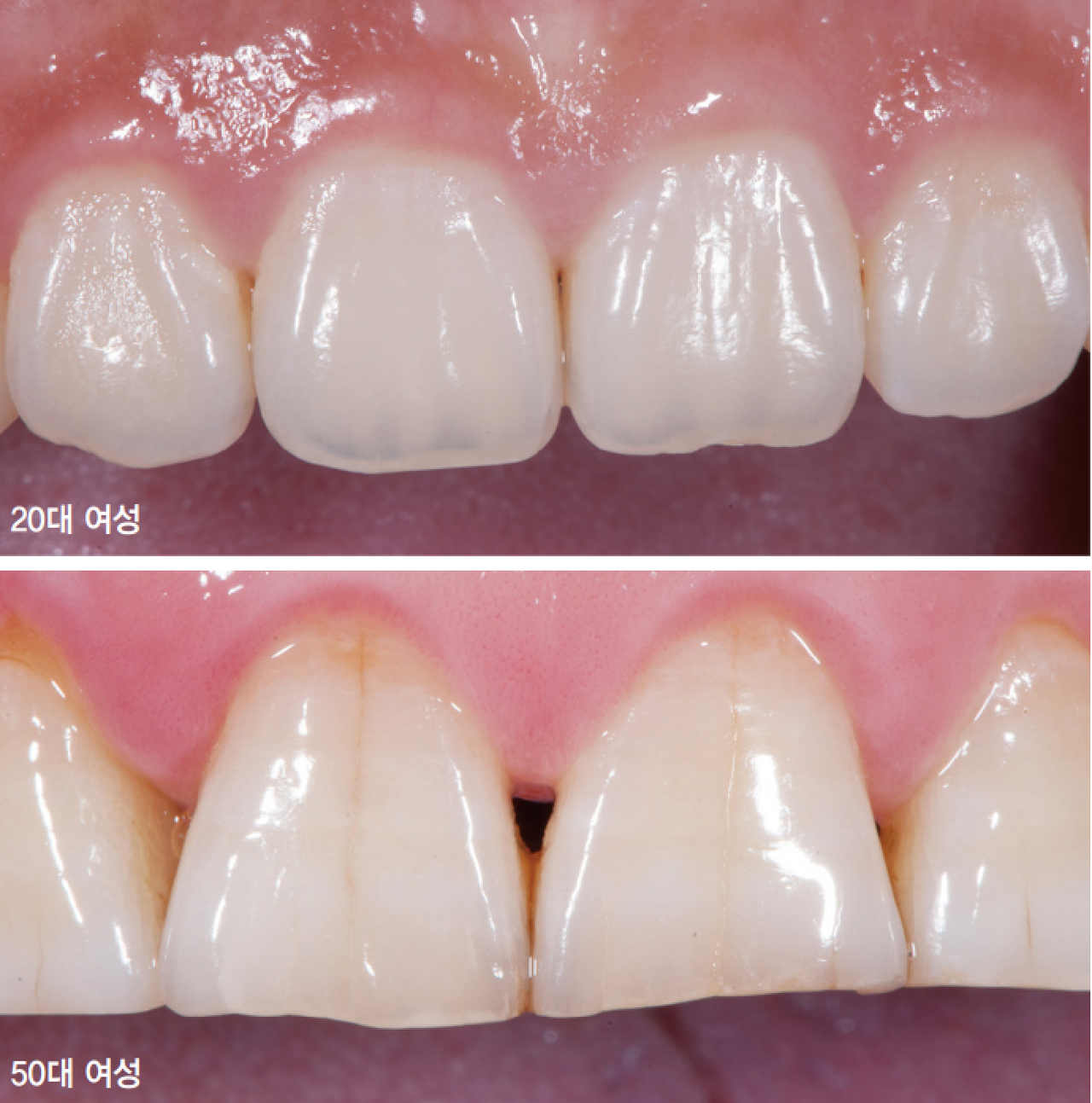
치경부는 치아에 전달되는 저작압을 완충해 주는 역할을 하기 때문에 나이를 먹으면서 잇몸이 퇴축되고 노출된 치근은 쉽게 마모된다. 드러난 치근 부위 상아질에 착색이 진행된다. 도재작업 시 보철물 작업을 위한 충분한 치아 삭제가 매우 어려운 부위이다.
Body(치아 몸체)
전치부에서 가장 넓은 부위이다. 충분한 두께의 법랑질에 싸여 있어서 시간이 흘러도 큰 변화가 나타나지 않는다. 색상(hue), 명도(val ue), 채도(chroma)를 담당하는 부위이다.
Incisal(절단부)
대부분 법랑질로 구성된다. 반투명한 법랑질이 지닌 광학적 특성이 다양하게 드러나는 부위이다. 특히 절단면 1/3은 빛을 투과하는 translucent층이다. 법랑질 주성분인 hydroxyapatite crystal이 지닌 광학적 특성인 유백광을 띠는 opalescence effect 그리고 푸른색을 띠는 transparency effect가 표현된다.
빛의 확산과 산란에 의해서 일어나는 현상으로 푸른색과 오렌지색을 띠는 것이다.
법랑질이 직접광에서 푸른색을 띠는 것은 transparency effect이다. 법랑질이 간접광에서 오렌지색을 띠는 것은 opalescence effect이다. 자연에서 아침과 저녁에는 하늘이 붉게 보이고, 낮 동안은 하늘이 푸르게 보이는 현상과 같다.
자연 또는 법랑질에서 일어나는 두 효과는 빛의 산란때문에 발생한다. 10대와 20대 치아의 상아질에서 절단면으로 돌출된 mamelon 은 빛의 대조를 보이는 곳이다.
김경헌 원장
現 예가치과 원장
저서 -틀니임상, 감에서 과학으로!
Active Functional Impression』 (2021년)
