스마트폰을 활용한 임상 증례
임상 마무리하기
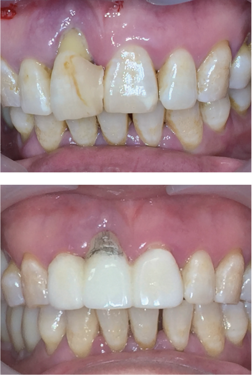
자연치아 형태가 예쁘고 #12 자연치아 색상이 A3로, 비교적 쉬운 증례였다.
치근단 염증을 개선하기 위한 근관치료 과정이 3개월 걸렸다.
심미보철이 잘되었더라도 나중에 치근단염증이 재발한다면 보철을 제거하는 불상사가 일어날 수 있다.
자체 평가
#12 자연치아색상에 따라 기저색 A3를 기준으로 하여 심미적으로 우수한 보철 작업이 되었다.
#12 - #21 zirconia restoration
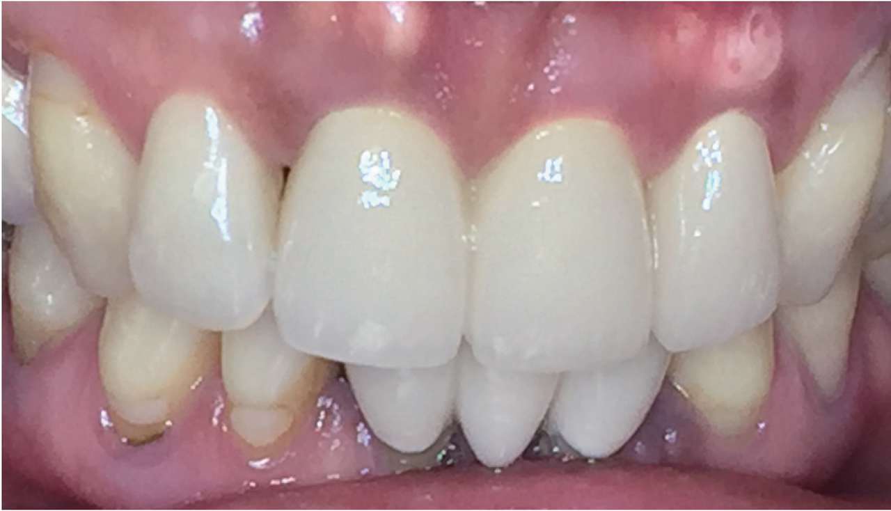
환자는 50대 남성으로 #11 치아 발치 후 보철을 계획하였다. 발치와를 커버하는 방법이 보철 제작의 포인트이다.
Provisional restoration
상방으로 길어진 pontic 부위에 대한 보철 방법에 관한 충분한 대화가 필요하였다. 결국 길어진 부위는 치은색으로 처리하기로 하였다.
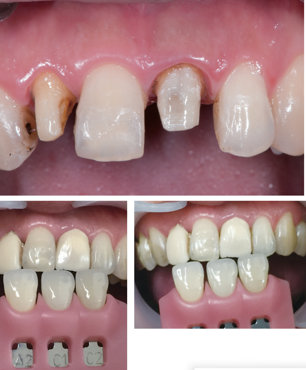
색상 선택과 사진 촬영
기저색이 A2이다. 명도를 기준으로 shade tab을 선택하여 사진 촬영을 하였다. 노출을 두 단계로 촬영하여 의뢰하였다.
LED ring flash를 사용하지 않고 외부 창으로 자연광이 들어오는 진료실에서 촬영하였다.
임상 마무리하기
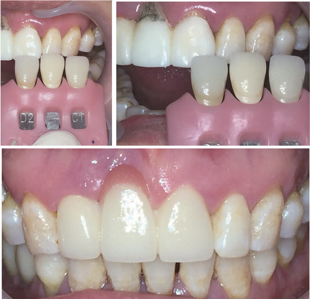
색상과 형태 모두 만족스러운 보철이 되었다.
이번호를 끝으로 연재를 마감합니다. 자세한 내용은 대한나래출판사의 전치부 심미보철을 위한 콜라보 책을 참고하시면 됩니다.
다음호 부터는 김경헌 원장의 또다른 저서 틀니임상, 감에서 과학으로가 연재됩니다.
글_김경헌
• 現 예가치과 원장
• 『틀니임상, 감에서 과학 으로! Active Functional Impression』 (2021년) 저자
