스마트폰을 활용한 임상 증례
#11 zirconiarestoration
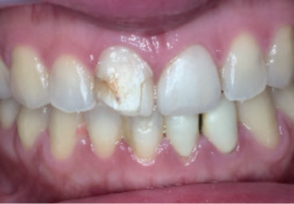
30대여성으로 5년 전에 상악중절치 2개를 laminateveneer를 하였다.
우측 중절치보철이 파절되어 재수복을 요청하였다. Laminateveneer또는zirconia수복중에서 어떤 선택이좋을까? Zirconia 수복으로 결정하였다.
임상 마무리하기
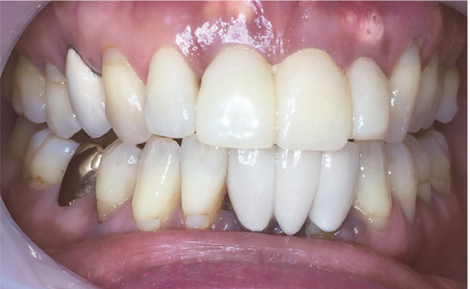
Laminate veneer와 zirconia는 투명감에서 차이를 보인다.
자체 평가
좌측 중절치 laminateveneer보철이 측절치 치경부 색상을 비교하면 입체감이 떨어진다. 중절치와 측절치 사이에서 애매한 보철제작을 하였다.
#11, #21, #22 zirconiarestoration
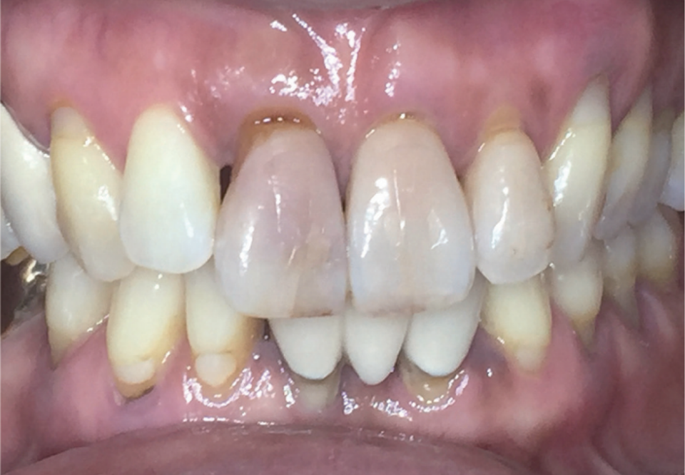
50대 여성으로 5년 전 넘어져서 전치부 손상을 입었다. 그동안 방치하다가 치근단염증과 변색으로 치과에 내원하였다. 근관치료와 보철을 계획하였다.
상악 중절치길이조정이 필요한 증례이다. 정교한 provisional restoration을 제작해서 길이 조정의 계획을 하였다.
Provisionalrestoration을 활용한 anteriorguidance 평가
W/ Lratio 개선을 위해 중절치 길이를 2mm 정도 짧게 하였다. 다행히 ant .guidance가 무난하다.
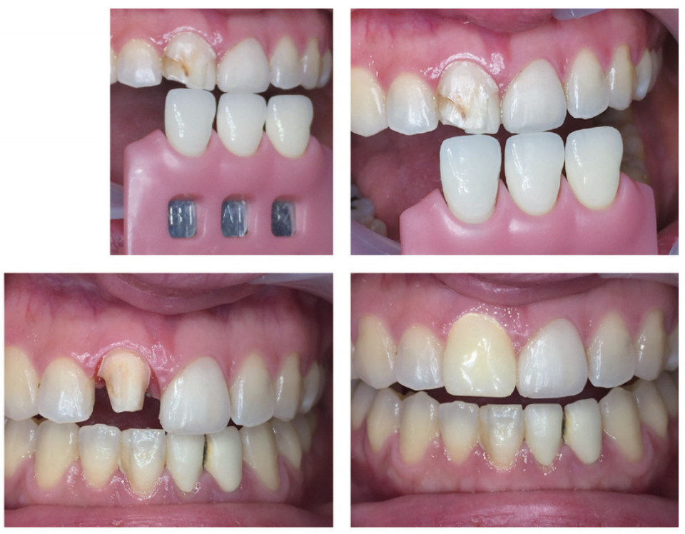
색상 선택과 사진 촬영
기저색이 A3이다.
A3를 기준으로 채도와 명도 shade tab을 선택하여 사진촬영을 하였다.
김경헌
•現예가치과 원장
•틀니임상, 감에서 과학으로! ActiveFunctional Impression』 (2021년)
