치과 임상 사진에서 스마트폰 활용 개론
다양한 기공 의뢰서
치과기공소 소장님의 협조로 다른 치과에서 보낸 전치부 색상정보 전달 방법을 입수했다. 아직도 종이에 필기하여 간단하게 기본 색상만 기록하여 보내는 기공의뢰서도 있다.
최근에는 많은 치과에서 스마트폰으로 촬영한 사진을 카톡이나 라인 등 SNS를 이용하여 사진을 보내고 있다.
Shade tab을 활용하여 사진을 촬영하는 수고로움에 더하여, 정확한 촬영 방법을 숙지하여 촬영한다면 더 많은 치아색상정보와 치아형태정보를 치과기공사에게 전달할 수 있다.
스마트폰을 적절하게 활용하면 환자뿐만 아니라 치과의사, 치과기공사 모두가 만족하는 전치부 심미보철을 제작할 수 있다.
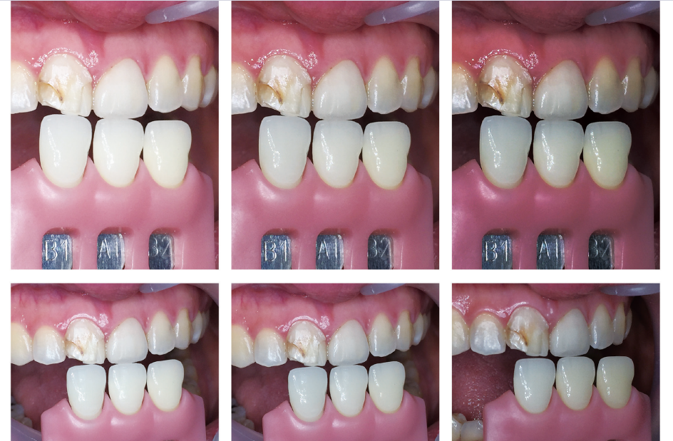
스마트폰 노출값에 따른 색상 변화
좌측 사진은 아이폰 노출값을 그대로 두고 촬영하였다. Shade tab B1, A1, B2가 밝게 촬영되어 색상 구분이 어렵다. 중간 사진은 노출값을 30% 줄여서 촬영하였다.
Shade tab B1, A1, B2 색상 표현이 우수하다. 우측 사진은 노출값을 50% 줄여서 촬영하였다.
Shade tab B1, A1, B2 색상 표현이 어둡다. 하지만 좌측 사진보다는 색상 표현이 우수하다. 치아 사진 촬영은 노출값이 매우 중요한 역할을 한다.
스마트폰은 치과 임상 사진 촬영에 특화되어 있지 않다.
스마트폰 회사마다 다르기 때문에 치과기공사와 상의하여 적절한 노출값을 찾아야 한다. 법랑질 특성상 노출값을 어둡게 촬영하는 방법이 색상정보를 더 많이 담아낼 수 있다.
광원
스마트폰을 이용하여 임상 사진 촬영을 할 때 가장 힘든 과정이 노출 조절이다.
스마트폰 전용 led ring flash는 종류가 다양하다. 인터넷에서 구입할 수 있는 2~3만원짜리부터 치과 임 상 사진 전용으로 출시한 고가 제품까지 있다.
스마트폰은 자체적으로 노출을 조절하기 때문에 led ring flash를 사용하더라도 일정한 노출량을 확보하 기가 매우 어렵다.
스마트폰을 이용한 임상 사진 촬영은 창가에서 자연광을 이용해서 촬영하는 방법이 추천된다. 자연광을 이 용할 수 없는 진료실에서는 치과 전용 led ring flash를 사용한다. Led ring flash 또는 자연광을 이용해서 촬영할 때는 체어용 라이트를 반드시 끄고 촬영한다.
김경헌 원장
● 現 예가치과 원장
● 『틀니임상, 감에서 과학으로! Active Functional Impression』 (2021년)
