1. Treatment Denture 장착 과정
1. Treatment Denture 장착 과정
환자의 인상채득과 wax rim을 이용한 교합관계를 채득하였다.
Treatment denture 제작을 의뢰하였다.
이후 남은 잔존치근과 치아를 모두 발치하였다.
Treatment denture를 장착한 다음 날 이른 아침에 환자가 예약도 없이 치과에 내원하였다.
위 틀니를 끼면 구토 증상이 심해서 식사를 할 수 없다고 호소하였다.
Post dam area 부위를 2mm 정도 삭제하였다. 구토 증상이 조금 덜해졌다고 하였다. 대기실에서 틀니를 낀 상태로 한 시간 정도 머무르게 하였다. 구토 증상이 없어졌다고 해서 꼭 집에 가면 틀니를 끼고 식사를 하도록 당부하였다.
다음 날 출근해서 전화를 드렸다.
“틀니 끼고 식사하셨나요?”
“어제저녁에는 틀니를 끼고 식사를 했습니다. 오늘 아침에 답답해서 틀니를 뺀 후 다시 끼고 식사를 하려니 구토 증상 때문에 틀니를 끼고 식사를 할 수 없네요.”
그 후 구토 증상을 일으키는 상악 틀니와 씨름하면서 한 달을 보냈다.
틀니 후방 부위를 5mm 정도 삭제한 후 temporary resin을 첨가하였다. 1mm 정도씩 삭제를 하면서 구토 증상을 일으키지 않는 범위까지 삭제하였다. 남은 temporary resin 부위를 knife edge 형태로 얇고 매끄럽게 조정하였다.
대기실에서 틀니를 끼고 30분 정도 대기하도록 하였다.
저녁에 아들과 짜장면 먹기로 하였는데 틀니를 끼고 짜장면을 먹겠다고 다짐하고 가셨다.
다음날 치과에 출근해서 곧바로 전화를 드렸다.
“어제 틀니를 끼고 짜장면과 단무지를 맛있게 먹었어요. 오늘 아침도 틀니를 끼고 밥과 김치를 먹었어요.”
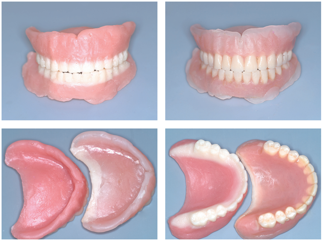
2. Duplicating Denture
상·하악 틀니를 복제하였다.
3. 상악 Top Coat Coating과 하악 Active Functional Impression
상악은 후방 위치 유지를 위해서 top coat coating으로 마무리하였다.
하악은 러버 인상재를 이용하여 active functional impression을 실시하였다.
Treatment denture를 완성 틀니로 제작하도록 치과기공소에 의뢰하였다.
4. 교합조정과 장착
완성 틀니 적합도는 매우 우수하였다. 문제는 상악 틀니를 낄 때 여전히 구토 증상을 호소하였다.
구토 증상의 원인이 조금은 심인성 요소를 지니고 있었다. 할머니를 모시고 다니는 아들이 뇌출혈로 수술을 받고 지금은 재활치료를 받고 있다고 하였다. 아들에 대한 걱정과 미안함이 심인성 구토를 유발하지 않았을까 예측하였다.
진료실에서 완성 틀니를 끼고 방울토마토를 먹는 모습을 확인하였다.
3일 후에 교합조정을 받으려 내원하였다. 아직 틀니를 끼고 식사하려면 구토 증상이 일어나서 불안하다고 하였다.
Duplicating Denture 동영상
Treatment denture 복제 과정을 동영상으로 촬영하였다.
에필로그
완성 틀니를 낄 때 구토 증상을 호소하는 경우는 정말 드물다. 필자도 심인성 구토 환자는 처음 겪는 일이라 마음이 쓰였다. 함께 오는 아들에게도 간곡히 부탁을 드렸다.
“힘들더라도 틀니를 끼고 식사할 수 있도록 강권해 주세요.”
“할머니, 틀니 끼고 식사하셔서 더욱 건강하셔야 아들이 덜 부담을 느낄 겁니다.”
“아들 보기가 너무 미안해서 틀니 끼고 밥 먹기도 부담스럽네요.”
“예전 일들은 모두 흘려보내세요.”
“식사하실 때는 꼭 틀니를 사용하세요.”
(다음 호에 계속)
글 _김경헌 원장
現 예가치과 원장
•틀니임상, 감에서과학으로! (2021년, 대한나래출판사) 저자
•전치부 심미보철을 위한 콜라보 저자 (2021, 대한나래출판사) 저자
