14년의 흔적
1. 14년의 흔적
2007년에 필자의 치과에서 상·하악 완전틀니를 제작하였다.
환자는 틀니를 장착한 후 한 번도 치과에 내원하지 않았다. 평소에 편안하게 식사할 수 있어서 치과에 다녀갈 생각을 하지 못하고 지냈다고 하였다.
14년 후 2020년 11월에 하악 틀니 파절로 내원하였다.
파절되기 전까지 편안하게 식사를 했다고 하였다. 깨진 틀니를 수리하거나 아니면 새로 해달라고 하였다.
먼저 깨진 하악 틀니를 수리하였다.
2. 파절된 틀니 수리
파절 부위에 metal wire가 들어갈 수 있는 홈을 내었다. 삭제한 홈 속에 wire를 넣은 후 temporary resin으로 채웠다. 물속에 넣어 경화시키면 temporary resin의 경화 강도가 증가된다.
하악 파절 부위 수리 후 유지력을 검사한 결과 양호한 상태이다. Fit checker를 이용한 내면 검사 결과도 특별히 나쁘지 않았다.
기존 틀니를 relining 하는 방법과 새로운 틀니를 제작하는 방법 두 가지 모두 가능하다.
3. 기존 틀니 활용한 Wax Denture 제작
새 틀니를 제작하기로 결정하였다.
Tissue conditioner를 활용하여 내면 조정을 하였다. 부족한 border 부위에 tissue conditioner가 채워지면서 유지력이 향상되었다. 내면에 relining 한 tissue conditioner가 제 위치를 잡고 안정되도록 3일 후에 내원 약속을 하였다.
두 번째 내원 날, duplicating denture를 제작하였다.
수정한 기존 틀니를 wax denture 제작을 위해서 치과기공소에 보냈다. 러버바이트를 이용해서 교합관계를 채득하였다.
새로 만드는 wax denture는 VD를 2mm 높이도록 주문하였다.
환자에게 적합한 전치부, 구치부 레진 치아를 선택한 후 함께 보냈다.
진료실장님이 진료실에 비치된 기공 테이블에서 복제틀니 조정을 하고 있다. 기공 테이블은 외부로 분진을 배출하는 기능이 있어서 틀니 수정 작업에 필요한 장비이다.
기공 테이블
기공 테이블은 고성능 필터와 강력한 흡입기가 장착된 작업 테이블이다. 틀니 연마 과정에서 나오는 분진을 빨아들여서 필터에서 거른 후 공기만 외부로 배출한다.
일반 틀니를 수정하거나 또는 복제 틀니를 만들 때 치과 진료실에 필요한 장비이다. 거래하는 치과기공소 소장님을 통하면 진료실 환경에 맞추어 주문 제작이 가능하다.
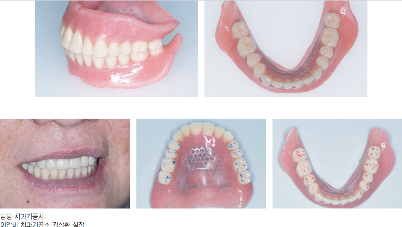
1) Wax denture
7일 만에 교합기상에서 배열된 wax denture가 기존 틀니와 함께 도착하였다.
치과 진료실에서 사용하 는 Shilla system을 이용하여 상악 배열 상태를 확인하였다. 교합기와 Shilla system을 활용하여 제작된 wax denture는 정확한 교합관계를 구성하고 있다.
2) 기존 틀니, duplicating denture 그리고 wax denture
Duplicating denture는 wa x denture가 제작되는 기간 동안 사용하는 interim denture이다. 거칠고 불편한 틀니이지만 나름 저작 기능을 제공하고 외부 활동을 할 수 있도록 치아 역할을 해 준다.
구강 내에서 전치부 배열 상태가 심미적으로 양호하다.
3) Fit checker 활용한 내면과 border 확인
Wax denture를 시적한 후 active functional impression 전에 반드시 fit checker를 이용하여 내면과 border를 확인하는 습관을 들여야 한다. 번거로운 과정이지만 border 범위와 형태에 관한 예비 점검 역할을 수행한다.
4) 상악 active functional impression
Heavy body 실리콘 인상재를 이용하여 border molding을 하였다.
Light body 실리콘 인상재를 이용하여 wash impression을 시행하였다. 유지력이 우수하여 post dam area 기능인상은 생략하였다.
5) 하악 active functional impression
Heavy body 실리콘 인상재를 이용하여 인상을 시행하였다.
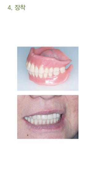
4. 교합조정과 장착
내면 조정 없이 장착하였다.
임상과정요약
2020년 건강보험 틀니 수가표
치과 보철비용에 대한 적정 가격은 얼마일까?
필자는 30년 동안 보철 상담과 보철 진료를 해왔지만 술자와 환자가 만족하는 보철 가격에 대한 적정선을 찾지 못하고 있다. 환자가 처한 경제적 상황과 사회적 합의 그리고 술자의 임상능력 등이 보철 수가를 정하는 기준점이 될 수 있다.
건강보험 틀니 총진료비는 금속상 완전틀니를 기준으로 상·하악을 포함하면 3,284,460원이다.
틀니가 건강보험에 적용되면서 정해진 수가에 맞춰서 보철 방법 상담을 한다. 환자와 보철 가격을 놓고 실랑이를 벌이는 일이 없어서 좋다.
이 증례의 환자는 완성 틀니 장착까지 4회 치과에 내원하였다.
첫 번째 내원, 틀니 수리와 내면 조정
두 번째 내원, duplicating denture 제작과 장착, 기존 틀니 교합채득 후 기공소 의뢰
세 번째 내원, wax denture 시적과 active functional impression
네 번째 내원, 장착과 교합조정
모든 증례가 이렇게 쉽게 마무리되지는 않는다.
치과 진료를 포함한 모든 경영 활동에서 이익을 극대화하는 방법은 생산성을 높이는 것이다. 동일한 보철 진료비를 받으면서 같은 진료시간에 완성도 높은 보철을 만드는 치과의사는 당연히 시간당 생산성이 높고 순이익 또한 크다.
다른 보철 과목에 비해서 내원 횟수가 많고 진료시간이 더 필요한 것은 팩트이다. 틀니 임상에 대한 정확한 지식과 경험을 축적하면 더 빠르고 쉽게 틀니를 제작할 수 있다.
대한민국은 세계에서 가장 빠르게 고령사회에 진입했다.
치과 내부적으로 적정 보철 수가가 지켜지지 못하고 가격 파괴가 보편화되었다.
보철 가격 가이드 라인이 정해진 건강보험 틀니 시장은 엄청난 잠재성을 지니고 있다.
건강보험 틀니는 치과의사들에게 blue ocean이 될 수 있다.
에필로그
완성 틀니를 낀 후 일주일 만에 교합조정을 위해 내원하였다.
"위에 틀니가 잘 안 빠져서 식사 후 세척하기가 어렵네요."
"네, 틀니 뒤쪽을 조금 짧게 삭제해 드리겠습니다."
" 딸이 보더니, 웃을 때 앞니가 너무 커 보인데요."
"예전 툴니보다 새 틀니는 2mm 더 높였습니다. 위 앞니가 많이 보이면 웃을 때 스
마일 라인이 더 예쁩니다. 좀더 사용해 보시고 앞니 모양이 마음에 안 들면 오세요.
기공소에 보내서 앞니 치아를 한 단계 작은 사이즈로 교체해 드리도록 하겠습니다."
김경헌 원장
現 예가치과 원장
•틀니임상, 감에서과학으로! (2021년, 대한나래출판사) 저자
•전치부 심미보철을 위한 콜라보 저자 (2021, 대한나래출판사) 저자
