외모에 민감한 청소년기에 부정교합이면 심리적으로 위축되기 쉽고 씹는 기능이나 발음에 문제가 생기기도 한다.
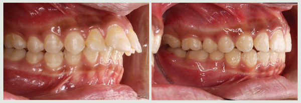
비발치 교정치료를 받은 청소년 부정교합 환자를 3년간 장기 관찰한 결과 부정교합이 치료된 것은 물론 기도공간과 골격에도 부정적 영향을 주지 않는 것으로 나타났다. 이번 연구는 백세 시대 자연치아를 건강히 살리는 비발치 교정법과 수면무호흡증과의 관계를 입증하는 연구결과로 평가된다.
가톨릭대학교 서울성모병원 치과병원 국윤아 교수(교신저자)와 주홍국 원장(맨해 튼치과, 제1저자) 연구팀이 부정교합 환자를 대상으로 치아를 발치하지 않고 후방 이 동하는 교정법을 적용해 3년간 장기 관찰한 결과 치열을 후방이동시켜도 기도공간 에는 문제가 없음을 최초로 규명해 MCPP(Modified C-palatal plate)를 이용한 비발치 교정법의 안정성을 다시금 입증했다.
국윤아 교수 연구팀은 서울성모병원 치과병원에서 2009년부터 2013년까지 상악 치열을 후방 이동하는 치료를 받은 2급 부정교합 청소년 환자 20명(평균 나이 12.9 세)을 대상으로 치료 종료 후 3년의 유지기간 동안 상악결절(위턱 사랑니 뿌리 옆 솟은 부위) 및 기도공간의 부피 변화에 대해 조사했다. 대조군은 교정치료를 받지 않은 청소년 환자 20명(평균 나이 19.3세)으로 선정했다.
연구팀은 치료 전 MCPP 치료 직후 3년 후의 고화질 치과용 CT(CBCT-cone- beam computed tomography) 영상 이미지를 비교해 상악결절 부피 및 기도공간 부피 변화를 측정했다. 그 결과 해당 환자들은 치료 전에 그리고 MCPP를 이용한 상악치열의 후방이동 치료 후 3년 이상의 유지기간 시의 CBCT를 촬영했고 해당 CBCT를 통해 상악결절의 부피와 기도공간의 부피 변화를 측정했다.
MCPP 치료군은 기도공간에 있어 치료 후 유지기간 동안 유의할만한 변화량을 보이지 않았으며 대조군과도 차이가 없었다.
연구결과는 2급 부정교합을 가진 청소년 환자에서 MCPP 교정치료가 기도공간 및 골격적으로 부정적인 영향을 미치지 않는 효과적인 치료방법임을 시사했다. 특히 교 정치료로 인해 치열이 뒤로 밀리면 기도가 좁아지지 않을까 우려하기 쉬운데 골격적 이상이 없다는 점이 입증돼 기도 공간이 좁아질 때 생길 수 있는 수면무호흡증과도 무관하다는 점이 주목할 만하다.
MCPP 비발치 교정법은 국 교수가 지난 2006년 세계 최초로 개발했으며 발치하지 않고 효과적으로 상악치열을 후방 이동할 수 있는 방법이다.
과거 헤드기어와 같이 구외(口外) 장치를 착용해 치료하던 것과 달리 특수하게 고 안된 골격성 고정장치를 입천장에 고정해 심미적으로 효과가 있고 불편감을 최소화하며 어금니와 전체 치열을 치아 뒤쪽 방향으로 이동시키게 된다.
발치를 하지 않기 때문에 자연치아를 보존할 수 있다는 점이 큰 장점이다. 또한 골 격적 부조화가 심해 수술이 필요한 환자가 MCPP를 사용해 비수술 교정치료를 할 수 있고 치열에 공간이 부족해 치아가 매복돼 있는 환자도 치열을 후방 이동함으로써 공간을 확보해 매복된 치아를 살려서 사용할 수 있다.
세계 최초로 MCPP를 이용한 비발치 교정법의 안정성을 입증한 국 교수팀의 연구결과가 2019년 미국치과교정학회지(American Journal of Orthodontics and Dentofacial Orthopedics)에 게재됐다.
한편 MCPP 장치는 2019년 미국 최신치과교정학 교과서 개정판(Contemporary Orthodontics, 제 6판, ELSEVIER)에 훌륭한 치료효과로 소개된 바 있다. 이 장치는 제품명 MCPA로 ㈜신흥으로 기술이전 돼 국내와 미국에 특허 출원이 돼 있다.
특히, 국윤아 교수는 중국과 베트남, 두바이에서 개최된 세계교정학회(World Orthodontic Conference), 미국 아틀란타에서 개최된 미국교정학회, 세계치과교정연맹(World Federation of Orthodontics)이 주관하는 국제교정학회(IOC; International Orthodontic Conference)에서 강의를 초청받아 국제적으로 MCPP 장치를 소개했다.
이번 연구에서 자연치아를 살리는 비발치 교정법이 부정교합 치료 효과와 함께 골 격적 이상도 없다는 점이 입증했다.
또한 서울성모병원이 개발한 MCPP 비발치 교정법의 장기 안정성을 입증했다는 데 의의가 있다.
