치과 임상 사진에서 스마트폰 활용 개론
광원
스마트폰을 이용하여 임상 사진 촬영을 할 때 가장 힘든 과정이 노출조절이다.
스마트폰 전용 ledring flash는 종류가 다양하다. 인터넷에서 구입할 수 있는 2~3만 원부터 치과 임상 사진 전용으로 출시한 고가제품까지 있다.
스마트폰은 자체적으로 노출을 조절하기 때문에 ledring flash를 사용하더라도 일정한 노출량을 확보하기가 매우 어렵다.
스마트폰을 이용한 임상사진촬영은 창가에서 자연광을 이용해서 촬영하는 방법이 추천된다. 자연광을 이용할 수 없는 진료실에서는 치과전용 ledring flash를 사용한다. Ledring flash 또는 자연광을 이용해서 촬영할 때는 체어용 라이트를 반드시 끄고 촬영한다.
사진 및 비디오 모드
스마트폰 사진 촬영은 사진모드와 비디오 모드 두가지중에 하나를 선택한다.
사진 촬영 시 조금만 움직여도 노출변화가 발생해서 shade tab색상을 정확하게 촬영하기 쉽지 않다. 최대한 스마트폰을 고정한 후 촬영해야 화질이 좋은 사진을 얻을수 있다. 비디오 촬영은 사진 모드에 비해서 간단하고 쉽다. 촬영 중에 구도를 수정할 수 있고 확대를 할 수도 있다.
비디오 모드로 촬영한 동영상을 보면서 노출과 구도가 적당한 화면이 나올 때 캡처하면 된다.
치과기공소 소장님과 스마트폰을 활용한 색상 정보 교환과정을 거치면서 도출한 결론은 비디오 모드였다.
비디오 모드는 사진촬영 경험이 적은 치과의사나 스태프들도 쉽게 촬영할 수 있다. 이 때 광원은 창가에서 자연광을 선택하면 화질이 우수한 동영상을 얻을수 있다.
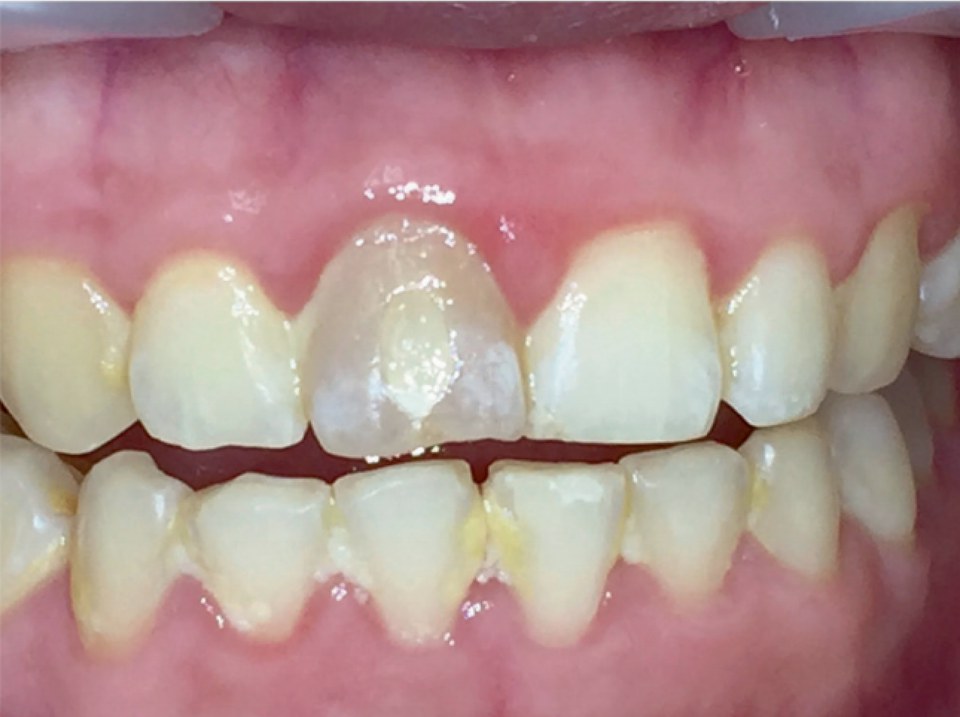
#11 zirconiarestoration
20대 여성환자가 변색된 우측 중절치를 예쁘게 해 달라는 주소를 가지고 내원하였다.
•진단과 치료계획
•치아삭제와 인상
•색상선택과 shadetab matching
•사진촬영
•SNS 이용하여 색상정보 보내기
•색상평가
이런 일련의 과정이 반복해서 이루어지면서 보철물 장착이 완성된다.
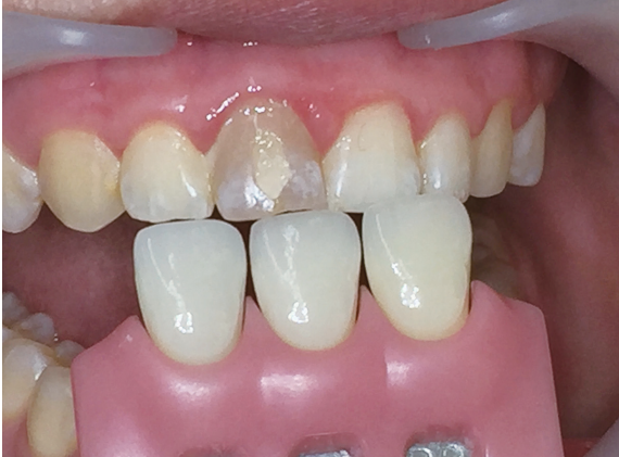
색상 선택과 사진 촬영
디지털 측색기로 기저색을 측정한다.
ShadeEye NCC를 이용하여 치아 기저색 bodycolor를 측정한다. 측정 결과 A1이나왔다.
명도순으로 배열한 VITA Classical에서 B1, A1,B2를 뽑아 gumy에 끼운다.
Shadetab을 구성하는 금속손잡이부분이 플래시 빛을 강하게 반사하기때문에 gumy를 사용한다.
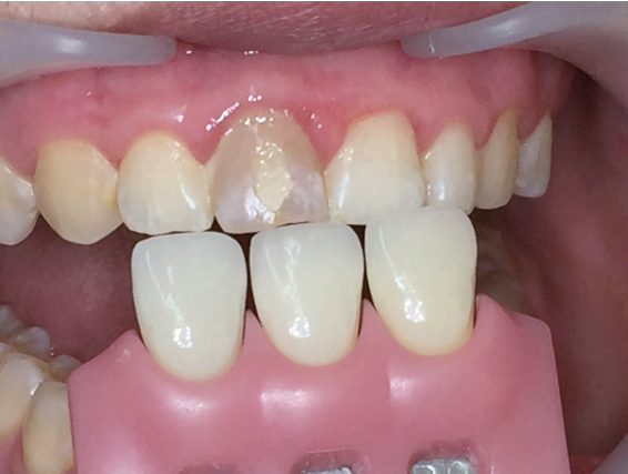
스마트폰으로 촬영할 때의 요령
스마트폰을 이용해서 촬영할 때는 평균 밝기보다 어둡게 조정한 후 촬영한다. 위 사진은 스마트폰에서 주어진 노출값을 변경없이 촬영하였다.
아래 사진은스마트폰 촬영 전에 밝기를 30%정도 어둡게 조정한 후 촬영하였다. 노출을 어둡게 한 아래 사진에서 기공작업에 필요한 더 많은 색상 정보가 담겨있다. 스마트폰으로 촬영시 화면을 가볍게 터치하면 노출 보정툴이 나타난다.
김경헌 원장
● 現 예가치과 원장
● 『틀니임상,감에서 과학으로! Active Functional Impression』 (2021년)
