Treatment Denture 제작
① Wax rim을 활용한 채득
Wax rim을 이용한 CR 채득 시 양쪽 구치 부위에서 고르게 접촉하는지 교합지로 확인한다. 조기접촉 부위가 발견되면 wax knife 를 이용하여 제거해 준다.
전치 부위에서 접촉되는 부위는 하악에서 wax knife로 제거하여 1mm 정도 공간을 부여한다.
교합 시 구치부에서 좌·우 교합력이 균일하게 작용하도록 wax rim을 조정한다.
Alu-wax를 연화하여 하악 wax rim에 올려놓고 환자에게 편안하게 입을 다물게 한다. 교합이 인기된 alu-wax가 부착된 하악 wax rim을 꺼내 찬물에 식힌 후 다시 입안에 넣고 교합관계를 확인한다.
• Wax rim을 이용한 교합채득의 문제점
Wax를 균등하게 연화하기 어렵다.
그동안 잘못된 저작습관대로 교합채득이 될 수 있다.
② Visible CR recording
Centric relation을 쉽고 정확하게 얻는 방법은 gothic arch tracer 를 사용하는 것이다.
환자 스스로 하악을 전·후, 좌·우로 움직이면서 재현성이 탁월한 CR을 기록하고 보여 준다.
Gothic arch tracer에 부착된 pin이 양측과두와 삼각관계를 형성하면서 과두가 악관절와에서 최후상방에 위치하도록 이끌어 준다.
정확하게 제작되지 않은 틀니를 오랫동안 사용하는 과정에서 잘못된 습관성 교합위가 형성된 경우가 많다.
Gothic arch tracer를 활용하면 교합의 문제점을 파악할 수 있다.
• Gothic arch tracing의 장점
좌·우 최대한계운동로의 형태를 육안으로 확인
Apex point와 습관성 tapping point 위치 확인
정확한 CR를 얻을 수 있음
교합기 종류
완전틀니는 저작압이 자연치아의 20% 정도밖에 되지 않는다. 저작효율을 높이기 위해서 구치부 교합평면에서 balanced occlusion, curve of Spee, curve of Wilson 등이 재현되어야 한다.
평균치 교합기나 반조절성 교합기에 Shilla system, 3D template(Stratos 300) 등을 부착하면 이런 사항들을 쉽게 구성할 수 있다
① Hinge 교합기
Hinge 교합기 상에서 레진 치아 배열은 c entric contact만 가능하다. 완성 후 구강 내에서 e ccentric selective grinding을 해야 한다.
틀니 완성 후 구강 내에서 이 과정을 진행하면 진료시간이 많이 필요하다. 아울러 구치부 레진 치아 교합면 삭제가 많아져서 vertical stop이 손상된다.
② 평균치 교합기
후방 조절장치는 없지만 face bow를 사용할 수 있다. Shilla system 사용이 가능하다. 최근에는 가격이 싸고 기능이 우수한 평균치 교합기가 많이 보급되고 있다.
③ 반조절성 교합기
반조절성 교합기 상에서 배열된 레진 치아 교합은 selective grinding을 할 수 있다. 교합기에서 selective grinding을 통해서 얻은 balanced occlusion은 교합간섭을 줄이고 저작효율을 향상시킨다.
음식을 깨무는 과정에서는 편측으로 사용하지만 연하 시에 balanced occlusion을 통해서 저작압이 틀니 내면에 고르게 분산되어 틀니가 안정되도록 한다.
5) Shilla system을 사용한 mounting
Shilla system은 일본 치과의사 Abe 씨가 만든 제품이다.
Facebow transfer 과정 없이 모델만으로 교합기에 마운팅이 가능하다. 필자는 90년대 중반부터 틀니를 포함한 전악회복술에 이 시스템을 활용하고 있다.
단순하면서 기능이 탁월한 시스템이지만 한국 치과계에는 별로 알려지지 않았다. 이 시스템을 활용한다면 쉽고 정확한 틀니를 제작할 수 있다.
Shilla system을 활용하면 기공실에서 쉽고 정확하게 3차원적 레진 치아 배열이 가능하다.
레진 치아 배열 시 중요한 compensating curve와 curve of Spee 를 구성하여 b ilateral b alanced occlusion 즉 양측성 균형교합을 얻을 수 있다.
무치악 상태에서도 변하지 않는 부위는 incisive papilla, hard and soft palate, hamular notch, retromolar pad 등이다.
Shilla system은 상악 master cast 상에서 hamular notch 두 점과 incisive papilla를 기준점으로 사용한다.
Hamular notch에서 교합면까지 거리는 7mm를 선택하였다.
중절치 부위 incisal vestibule에서 절단면까지 거리를 22mm로 설정하였다.
이 수치는 동양인에게서 얻을 수 있는 평균값이기 때문에 절대적인 수치는 아니다.
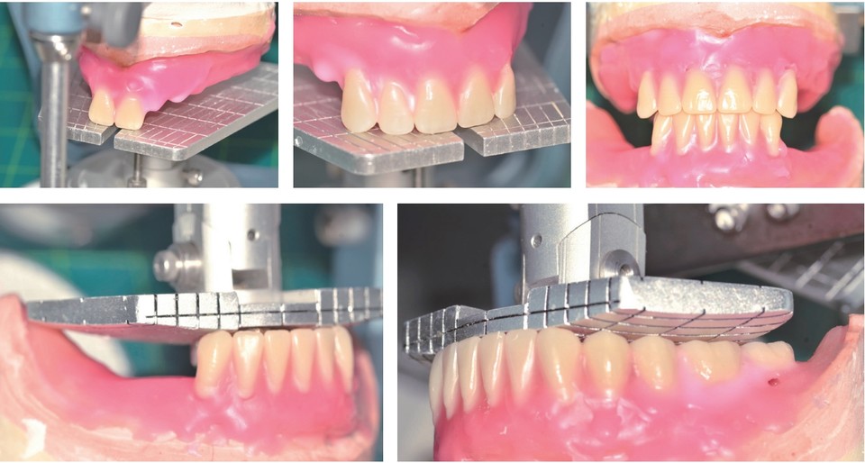
(1) Shilla system을 이용한 치아 배열
상악 전치부를 먼저 배열한다. 배열된 상악 전치부를 따라서 하악 전치부를 배열한다.
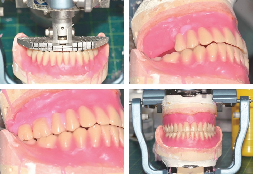
구치부는 Shilla system Ⅲ를 활용하여 하악 구치부를 먼저 배열구치부 교합면 연장선은 retormolar pad 중간 정도 높이와 일치하도록 한다.
하악 구치부 배열 후 상악 구치부 배열을 마무리한다.
(2) Curve of Spee와 compensating curve
Curve of Spee와 compensating curve는 완전틀니 저작 기능 시 balanced occlusion을 이루게 하는 중요한 요소이다.
• Curve of Spee와 compensating curve가 제공하는 효과
틀니 인상면으로 저작압을 고르게 분산
저작효율 증대
교두간섭을 저하
Balanced occlusion 획득
턱관절장애 개선
Shilla system Ⅲ를 활용하면 curve of Spee와 compensating curve 를 재현한 구치부 레진 치아 배열을 쉽게 할 수 있다.
Hinge 교합기를 사용한 mounting과 배열
Hinge 교합기를 선택한다면 occlusal plate가 있는 기종을 선택한다.
교합평면판 occlusal plane plate를 이용하여 입안에서 wax rim이 전·후방으로 Camper’s line과 일치하는지를 확인한다. 일치하지 않으면 wax rim을 연화하여 수정을 한다.
진료실에서 Camper’s line과 interpupillary line에 일치하도록 wax rim을 정확하게 조정한다. 완전틀니 사용 시 유지력을 얻는 가장 중요한 요소가 정확한 교합 평면 구축이다.
안타까운 기공 현실이지만 아직도 많은 치과기공소에서 틀니 제작에 hinge 교합기를 사용한다. Hinge 교합기를 사용해서 틀니제작을 할 수밖에 없다면 치과의사가 진료실에서 occlusal plane plate를 사용해서 Camper’s line과 interpupillary line에 일치하는 교합평면을 구성해 주어야 한다.
김경헌 원장
現 예가치과 원장
•틀니임상, 감에서과학으로! (2021년, 대한나래출판사) 저자
•전치부 심미보철을 위한 콜라보 저자 (2021, 대한나래출판사) 저자
