5. Active Functional Impression
1) Treatment denture를 완성 틀니로 전환
• Tretatment denture 활용 방법
① 사용 과정에서 환자가 심미적으로 만족하지 못하거나, VD또는 CR이 만족스럽지 않으면 새로운 wax denture를 만들기 위한 가이드로 활용한 후 폐기한다.
② 사용 과정에서 심미적·기능적으로 만족한 경우에는 완성 틀니로 전환한다.
(1) Shilla system을 활용한 재배열
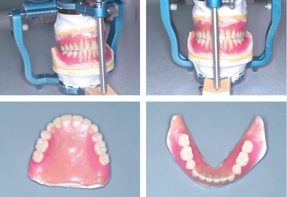
이번 증례는 treatment denture가 만족할 만한 기능을 제공해서 완성 틀니로 전환하였다.
악골 크기가 왜소한 이 환자는 4개 구치부 레진 치아를 배열하면 구치부 후방 부위에서 음식물 이동 공간, 즉 spillway 공간이 충분하지 않았
다. Treatment denture상에서 제2대구치를 삭제했으나 완성 틀니에서는 어금니 2개를 넣어 달라는 환자의 요구를 수용하여 소구치 레진 치아를 1개 줄이고 구치부 레진 치아 2개를 새로 배열하였다.
Treatment denture 제작과정에서 소구치 1개를 제외하고 배열하였다면 이런 번거로운 과정을 거치지 않고 곧 완성 틀니로 진행될 수 있었을 것이다.
구치부 레진치 재배열과 active functional impression 과정을 거쳐 완성 틀니를 만들 계획이다.
2) 시적
Treatment denture상에서 상·하 구치부 레진 치아를 재배열하였다.
진료실에서 최종적으로 다음 사항들을 확인한다.
-Ala-tragus line과 교합면 평행 상태
-Interpupillary line과 교합면 평행 상태
-상악 전치부 정중선 일치 여부
3) Active functional impression
• 시적 후 active functional impression을 꼭 해야 할까?
틀니 유지력은 구강 내 연조직과 틀니 경계부에서 결정된다. 틀니 경계 부위의 구강 연조직과 저작에 관여하는 근육들 움직임들이 border 부위에 있는 인상재에 터치되어야 한다.
Wax denture를 활용한 active functional impression은 저작 기능 시 가해지는 교합력을 교합면에서 점막면으로 정확하고 고르게 전달한다.
이 교합력이 빈 공간을 정확하게 밀봉하여 suction 흡착을 달성한다.
기존의 modeling compound를 이용한 개구인상법은 술자의 경험과 노력이 중요했다.
Active functional impression은 중심교합위 상태에서 환자가 교합력을 가하고 이 힘이 틀니 내면에 전달되어 최종인상을 마무리한다. 따라서 술자의 숙련도가 개입할 여지가 별로 없다. 당연히 경험이 적은 치과의사라도 헐겁지 않고 잇몸이 편안한 마법 같은 border를 얻을 수 있다. Active functional impression은 감이 아니라 단순하고 과학적인 방법이다.
• 기능인상 시 배열된 레진 치아 보호와 교합관계 확인은 어떻게 할까?
Wax denture 시적 후 기능인상을 채득할 때 저작압 때문에 배열된 레진 치아가 변위될 수 있다.
Base plate wax 1장을 연화하여 상악 구치부를 덮고 환자에게 평소대로 저작하게 한다.
교합이 인지된 base plate wax를 차가운 물에 식혀서 입안에 넣은 후 하악 틀니와 교합을 다시 확인한다.
상악 구치부 레진 치아를 감싼 base plate wax는 active functional impression 중에 세 가지 기능을 한다.
첫째, 교합력이 가해질 때 레진 치아 위치가 변형되는 것을 막아 준다.
둘째, 하악 틀니가 올바른 교합 위치에 있는지 술자가 확인할 수 있게 한다.
셋째, 교합력이 균등하게 틀니 내면에 작용하도록 가이드 역할을 한다.
(1) 상악 active functional impression
Active functional impression은 상악을 먼저 시행한다.
가끔 진료실이 붐비는 경우에는 다음 내원 시에 하악을 시행한다.
상악에서는 흐름이 좋은 light body 실리콘 인상재를 사용한다. Tissue conditioner와 인상재 사이에 접착제는 필요하지 않다.
상악 active functional impression 시 술자가 반드시 기억할 사항은 환자의 기도가 열려 있다는 것이다.
흐름이 좋은 인상재가 기도에 들어간다면 큰 문제를 일으킬 수 있다.
인상재를 담은 틀니를 천천히 위치시키면서, 조금씩 목구멍 방향으로 흘러나오는 인상재를 거즈를 이용하여 제거하는 과정을 수차례 반복
한다. “우”, “에” 발음을 하게 하여 순측과 협측 연마면이 너무 두꺼워지는 것을 방지한다.
글_김경헌 원장
現 예가치과 원장
•틀니임상, 감에서과학으로! (2021년, 대한나래출판사) 저자
•전치부 심미보철을 위한 콜라보 저자 (2021, 대한나래출판사) 저자
