임플란트 2차 수술, 인상, 악간관계 및 교합,보철물장착 및 교합조정 (8)
7. 임플란트지지 보철물 및 교합
1) 임플란트지지 보철물
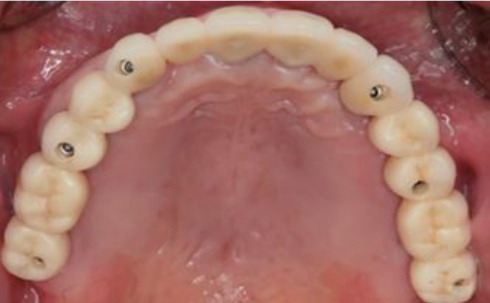
임플란트 지지 보철물은 골드, 레진치아, PFM crown, 지르코 니아 크라운 등 다양하게 사용되어 왔으나 최근 심미적이고 기능적인 면에서 우수한 지르코니아 크라운이 전치부 구치부 할 것 없이 대세를 이룬다고 하겠다(그림 13).
2) 65세 이상의 성인환자의 의료보험 적용 임플란트 보철물 의료보험 환자의 임플란트보철물은 PFM으로 제작되어야 하는 데, (그림 14)와 같이 구치부위의 교합면의 씹는 면이 금속 위에 porcelain을 veneering 하기보다는 metal occlusion으로 해주는 것이 좋다. 그리고 상악 PFM 보철물의 경우에는 Buccal cusp의 1/3 정도부터 buccal surface에 porcelain veneering을 해주는 것이 추천된다. 그 외에는 Zirconia, PFM을 선택적으로 이용할 수 있겠다.
3)임플란트 보철물의 교합
예전에는 임플란트 보철물은 골유착된 임플란트에 위험하중을 줄여주기 위해 인접 자연치아와 비교하여 mesiodi stal dimension은 인접치아와 contact을 유지해야 되기 때문에 buccolingual width를 줄여주는 것이 일반적이었고,50u 정도 disclusion을 시켜주고 distal cantilevered 보철물은 cantilever 부위의 교합을 100u 정도 disclusion 시켜주 는 것을 추천되어 왔었다. 그러나 최근에 임플란트 표면의 향상으로 골/임플란트 접촉율이 높아지면서 변화가 되고 있다.
일반적인 보철치료와 마찬가지로 교합형성을 해주면 된다. 그러나 임플란트의 delayed loading이 필요한 경우 임시 보철물을 이용하여 일정기간 disclusion을 시켜줄 수도 있겠다. 또한 lever action을 줄여주기 위하여 crown의 교합면을 줄여주기도 한다.
8. 임플란트 보철물의 장착
1) 임플란트 보철물의 시적
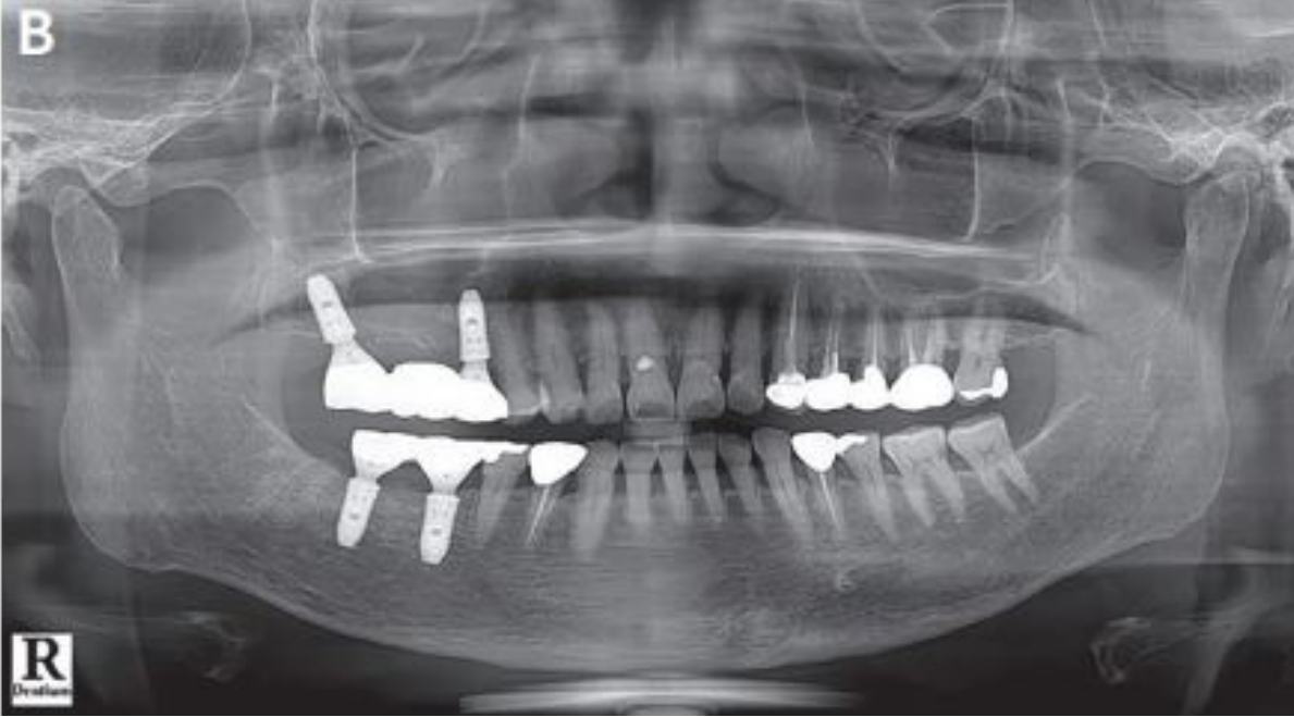
최근 digital techniology 의해 임플란트 보철물의 제작이 점점 증가되고 있지만 아직도 대부분의 임플란트 보철물은 인상채득에 의해서 모형위의 제작이 많은 것이 현실이다. 또한 최근 심미적이고 치주적인 관점에서 기성 abutment 에 비해 custom abutment가 많이 이용되고 있는 현실이다. 여기에서는 custom abutment를 위한 Fixture level 인상 채득 후 완성된 보철물의 장착을 위한 술식을 설명하고자 한다. 완성된 임플란트 보철물은 custom abutment를 이용하는 경우에, Abutment location Jig를 이용하여 구강 내에 Abutment를 장착한 후 보철물을 Bite stick을 이용해서 완전하게 seating시킨 후에 우선 인접치아와의 접촉정도 (자연치아 crown일 때보다 약간 tight한 것이 좋음)를 확인한 후 그리고 방사선 사진에서 fixture에 abutment가 잘 맞게 끼워졌는지 그리고 abutment와 crown간의 적합상태를 확인해야 한다(그림 15). 그 이후 교합관계를 확인 후 필 요하면 교합조정을 해야한다.
2) Custom abutments 이용한 임플란트 보철물의 장착 순서
임플란트 보철물은 (표 4)와 같이 여러 단계를 순서대로 진행하게 된다.
(l) Abutment screw의 tightening
Torque wrench를 이용하여 Screw를 조여줄 때 crown을 낀 상태에서 tightening 하는 것이 좋으며, 30N으로 Screw를 tightening 해 준 후 약 8분 후에 다시 한번 30N으로 screw를 조여주는 것이 좋다. 이는 첫번째 조여진 fixtu re 내면과 screw에 발생된 stress가 relieve 되면서 약간 느슨해질 수 있기 때문이다. 이러한 과정이 screw의 풀림현상 을 줄여주는 데에 도움이 된다(그림 16)
신상완 원장
신상완치과(임플란트·틀니연구소)
고려대명예교수 www.sswdent.com
