임플란트 2차 수술, 인상, 악간관계 및 교합,보철물장착 및 교합조정 (9)
(2) Custom Abutment의 screw hole을 채워주기
Screw tightening 한 후에 Teflon strip으로 채운 후 hole을 Caviton으로 막아 주는 것이 좋다(그림 17). 이외에 다른 여러가지 관련 상품이나 재료들이 있다. 그들 중 선택해서 막아주는 것이 좋다.
(3) 임플란트 보철물의 cementation
임플란트 보철물은 특수 임플란트 보철물을 위한 특화된 cement가 있다. 그 cement는 우래탄 성분이 섞여 있어 보 철물의 retrievability에 도움이 된다. 그러나 최근 임플란트 보철물의 완전 고정을 하는 것이 대세가 되고 있다. 그래 서 추천되는 재료는 어떤 목적인가에 따라 바뀌어 질 수 있다. 임플란트 보철물은 retrievabillity를 위해 교합면에 screw hole을 형성해 주는 것이 일반적이기 때문에 여기에서는 permanent setting을 위한 cement를 소개하고자 한다. PFM 보철물을 위해서는 Reinforced Glasslonomer cement, Ziconia 보철물을 위해서는 Resin cement를 추천한다(그림 18). 그러나 crown이 짧거나 crown의 유지가 적은 경우에는 보철물에 관계없이 Universal primer의 사용과 Resin cem ent가 추천된다. 그리고 교합면 screw hole은 flowable resin으로 채워준다.
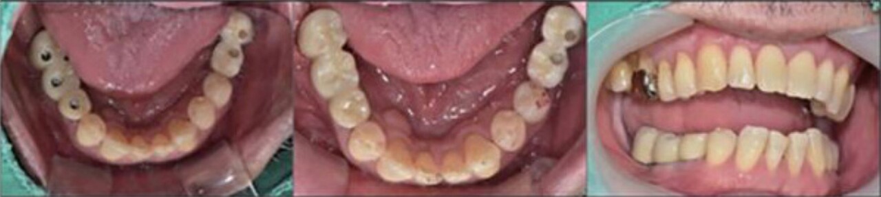
임플란트 custom abutment와 최종 보철물을 장착해주는 술식은 1) 임플란트 fixture에 abutment positioning zig를 이용하여 연결한 뒤에 Crown을 끼운 후에 abutment를 8분 간격 으로 2번 tightening 하고, 2) 보철물을 cementation 후에, 3) flowable resin으로 screw hole을 채워 준다(그림 19). 그 이후 중요한 과정으로 교합관계를 다시 한번 점검할 것을 추천한다.
Custom abutment and Zirconia prostheses delivery
Esthetic Restoration
9. 임플란트 보철물 장착 후 점검 및 Follow-up Check
임플란트 보철물 장착후 교합 관계를 다시 한번 Check 해주는 것이 좋고,임플란트 보철물의 특성이나 주의점 등을 설명해 주어야 한다. 보철물 장착 후 2-3주 기능 후에 임플란트 보철물의 교합이나 대합치의 민감도 정도 등을 점검 을 하는 것이 좋다. 그리고 매 1년에 1-2번의 follow-up check가 요구된다.
Follow-up check시에는 ① 임플란트 주위의 치주건강 및 치조골의 흡수 등 ② 보철물의 mobility 및 교합관계를 점검해야 한다.
그러나 최근 임플란트의 술식이 비교적 간편해지고 보편화 되면서 이러한 개념이 덜 강조되는 방향으로 변화되고 경시되는 경향이 있다고 본다. 그러나 치과의사로서 점검하고 임플란트 환자로서 주의하고 지켜야될 사항들이 있다. 그래서 환자와 치과의사를 위한 임플란트 보철수복의 장기적인 성공을 위해서는 기본 윈칙을 지켜야 한다고 본다.
신상완 원장
۰ 신상완 치과 (임플란트·틀니연구소)
۰ 고려대 명예교수
www.sswdent.com
