임플란트 2차 수술, 인상, 악간관계 및 교합,보철물장착 및 교합조정 (7)
6. Digital technology에 의한 임플란트지지 보철수복 증례
(김하영 치과의원 부설 임상치과보철연구실 협찬)
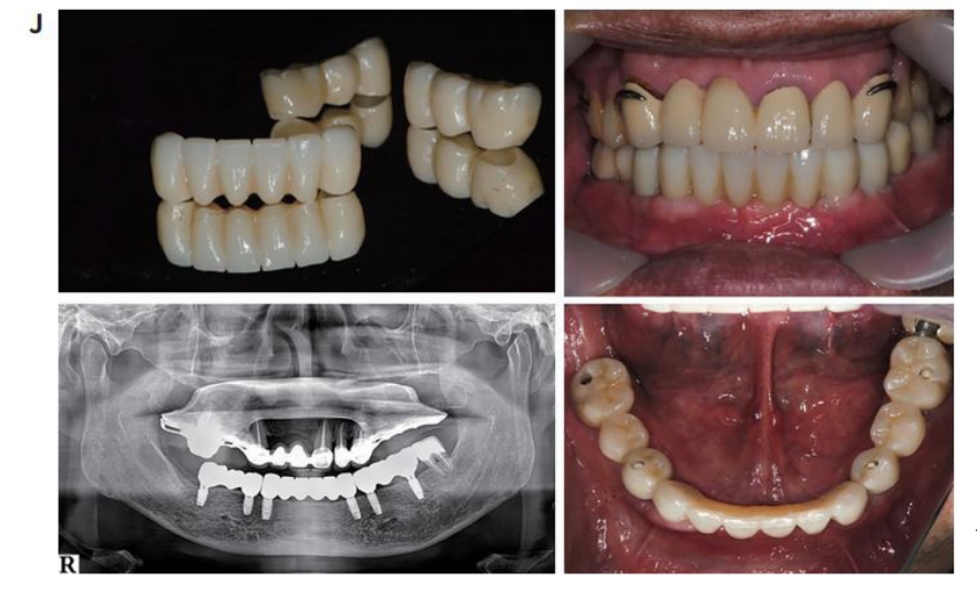
(그림 12) 증례는 60대 환자로 상하악 부분무치악 환자이며,상하악 가철성 국소의치를 사용해 온 상태이나 특히 하악 국소의치가 유지력이 없어 저작시 불편하여 만족을 하지 못하여 내원한 환자이다.
‘보철물을 선택할 때
첫째,환자의 고정성과 가철성 보철물에 대한 선호도,심미적인,기능적인 요구, 둘째,치조골 흡수정도 및 악간관계,
셋째,환자의 경제적인 부담 능력 등 조건이 좋으면 좋을수록 고정성 보철수복을 선택할 수 있으며,나쁘면 나쁠수록 가철성 수복방법을 택하게 된다.
치과보철수복 방법의 선택을 위한 (표 3)의 가이드라인에 따라 본 환자의 선호도와 심미적인 그리고 기능적인 요구, 해부학적인 고려사항,경제적인 부담능력에 따라 아래와 같이 치료계획을 선택하였다.
보철수복 치료계획
상악: 기존 고정성 보철물(브릿지,크라운)을 그대로 이용한 가철성 국소의치
하악: 임플란트 지지 고정성 보철물 (3개의 Zirconia Bridge)
구강내 Scanning date Vertual wax-up date CT data를 융합하여 임플란트의 식립 위치, 방향을 결정하고 SurgiG uide를 제작하였다. SurgiGuide를 이용하여 임플란트를 식립하였으며, 1 주일 후에 stitch out 한 후 임시보철물을 위해 fixture에 scan body를 연결하고 seaming하여 PMMA 임시보철불을 제작하여 구강내에 장착하여 주었다.
일반적으로 single crown이나 적은 수의 임플란트 보철물은 Intraoral scanner에 의해 임시보철물, 최종보철물을 위한 digitlal impression을 할 수도 있으나 여러 개의 임플란트지지 보철물이나 Span이 긴 보철물일 경우에는 기존의 인상채득 방법에 의한 cast가 요구될 수 있다. 2개월 후에 인상채득하고 mounting jig를 이용하여 교합기에 모형을 mounting 한 후 Zirconia 최종보철물에 의한 치과보철수복을 하였다.
신상완 원장
신상완치과(임플란트・틀니연구소)
고려대명예교수 www.sswdent.com
