2. 무치악환자의 악간관계 및 틀니를 위한 악간관계 형성(3)

* 상하악 악간관계(jaw relation record)의 임상채득방법
a. 교합인기제의 위치를 공고히하기 위해 상하악 교합제 위에 V자 홈을 판다. 상악의 교합제에는 소구치부위에 양측으로 하나의 V자형 홈을 파야 한다. 하악의 교합제에는 두 개의 홈을 소구치부위에 양측으로 형성한다.

b. 하악 의치상을 구강에 다시 넣고 의치상을 위치시키기 위해 양손의 검지를 협측 flange에 놓는다. 그 다음 하악이 최후 방위임을 확인하면서 환자로 하여금 침을 삼키면서 입을 다물라고 한다. 환자에게 입을 벌리라고 말한다. 이때 교합인 기제는 하악의 교합상에 붙어있어야 한다(그림 44).

△ (그림 44) Hinge-like movement 및 centric jaw relation 채득 모습. 환자에게 침을 삼키며 입을 다물라고 요구하며 jaw relation record를 채득할 수 있다.
△ (그림 44) Hinge-like movement 및 centric jaw relation 채득 모습. 환자에게 침을 삼키며 입을 다물라고 요구하며 jaw relation record를 채득할 수 있다.

다시 환자의 구강에 재삽입하여 악간관계를 확인하는 과정을 최소한 두 번 시행한다. 실리콘 계통의 교합인기제를 사용하는 것이 용이하다. 교합인기제(Bite Registration materials)의 특성은 첫째, viscosity가 적어야 하나 경화된 후에는 견고해야하고, 둘째, 빨리 경화(setting) 되어야 하며, 경화 후에는 체적안정성이 있어야 한다(그림 45).

최근 다양한 교합인기제가 시판되고 있다(그림 46).

△ (그림 46) 다양한 종류의 교합인기제.
△ (그림 46) 다양한 종류의 교합인기제.

상하악 악간관계를 채득할 때 교합제의 일부분에만 교합인기제를 적용해서는 안되며, 교합제 전체에 교합인기제를 적용 후에 상하악 악간관계를 채득해야 한다(그림 47).
 

△ (그림 47) Jaw relation record를 채득할 때 위 그림과 같이 교합제의 일부분만 교합인기제를 적용하면 안되며 아래 그림과 같이 교합제 전체 에 교합인기제를 적용 후에 상하악 악간관계를 채득해야 한다.
△ (그림 47) Jaw relation record를 채득할 때 위 그림과 같이 교합제의 일부분만 교합인기제를 적용하면 안되며 아래 그림과 같이 교합제 전체 에 교합인기제를 적용 후에 상하악 악간관계를 채득해야 한다.

무치악 환자의 총의치에 의한 치료과정에서는 (그림 48)과 같이 wax rim 전체 surface에 bite registration mate rial을 적용 후에 상하악 악간관계를 채득해야 한다.

△ (그림 48) Bite registration material에 의해서 악간관계 채득이 완성된 record base와 waxrim.
△ (그림 48) Bite registration material에 의해서 악간관계 채득이 완성된 record base와 waxrim.

이후 필요에 따라 Face-bow record를 채득하여 Semi-adjustable articulator에 무치악 상하악 cast를 mouting 해 준다(그림 49). 최근 평균치 교합기를 사용하기도 한다.
 

△ (그림 49) ace-bow record와 jaw relation record를 이용하여 무치악 상하악 cast를 Semi-adjustable articulator에 mouting 해준다.
△ (그림 49) ace-bow record와 jaw relation record를 이용하여 무치악 상하악 cast를 Semi-adjustable articulator에 mouting 해준다.

맺음말
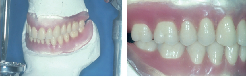
무치악 환자에서 상하악 edentulous cast가 centric jaw relationship record에 의해 mounting된 교합기 위에서 최대감합위 인 centric occlusion으로 도치를 배열하는 것이 무치악 환자에서 이상적인 교합을 형성해 주는 것이다(그림 50).
Set up the Teeth in Centric Occlusion with the Cast in Centric Jaw Relationship

△ (그림 50) 교무치악 환자에서 상하악 edentulous cast가 centric jaw relationship 상태에서 최대감합위인 centric occlusion으로 도치 배열해주는 것이 이상적인 총의치의 교합개념이다.
△ (그림 50) 교무치악 환자에서 상하악 edentulous cast가 centric jaw relationship 상태에서 최대감합위인 centric occlusion으로 도치 배열해주는 것이 이상적인 총의치의 교합개념이다.


신상완 원장
۰ 신상완 치과 (임플란트·틀니연구소)
۰ 고려대 명예교수 www.sswdent.com

 

 

 

 

 

 

 



 

 

저작권자 © 덴탈뉴스 무단전재 및 재배포 금지