3. 틀니를 위한 인공치아의 선택 및 교합개념
IV. 총의치에서 양측성 균형교합을 위한 도치배열의 수정
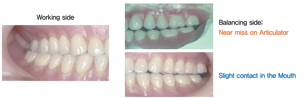
교합기상에서는 작업 측의 working contact은 상하악 구치부 인공치아가 cusp to embrasure 관계가 되도록 해 준다(그림 69). 그런데 우리가 일반적으로 총의치에서는 교합기에서 도치배열시 작업측 비작업측이 동시에 닿아야 한다고 알고 있다.
그러나 교합기 위에서는 Bilateral balanced occlusion의 개념으로 같이 닿도록 해주면 음식을 씹을 때 구강 내에서 작업측 잇몸이 더 눌리게 되어 balancing side에서 Premature contact(조기 접촉)이발생할 가능성이 높다.
기능운동 시 비작업 측에서는 아주 약하게 닿거나 0.5mm정도 띄워주면 구강 내에서는 저작시에 비작업측(balancing side)에서의 premature contact 의 가능성을 줄여주고, 비작업측이 slight하게 접촉되어 의치가 탈락되지 않도록 해준다. 그래서 교합기 상에서 이러한 조기 접촉을 피해서 저작효율을 높이기 위해서는 교합기 위에서는 balancing side의 상하악 구치 간에 0.5mm 정도 적은 공간 (just miss)을 부여해주는 것이 유리하다. 그래서 이렇게 해줌으로 해서 구강 내에서 저작 시에 balancing side에서 조기접촉을 피해줄 수 있는 장점이 있다(그림 70).
교합기 상에서 구치부 Centric 상태에서는 교두감압위(Cemetric occlusion)로 해주고 기능운동시 균형교합을 위한 도치배열을 완성한다(그림 71).
V. 의치의 Wax 표면의 외형 만들기와 의치의 온성(Curing)
1. 의치의 Wax 표면의 외형 만들기 방법
첫째는 일반적인 형태와 관련된다. 만일 치아들이 올바른 위치에 배열되었다면 wax 작업물의 표면 외형은 자연치아를 지 지하는 치조돌기의 외형을 닮아야 한다. 상하악 전치들은 좋은 심미적 결과를 얻기 위해 교합상과 교합제(Record base and wax occlusion rim)의 외형을 따르게 된다.
소구치 후방의 협측 flange들은 상악에서는 상/외방으로 향해야 하고, 하악에서는 하/외방으로 향해야 한다. 하악 설측 flange는 하/내방으로 향해야 한다. 순측 치아들과 함께 상악 순측 flange는 구순에 적절 한 지지의 형태를 부여하도록 외형이 형성된다. 이것은 trial insertion 동안에 점검되었을 것이다. 하악 순측 flange는 마찬가 지로 하순의 형태와 관련이 있다.
둘째 부분은 순면의 외형이며, 이것은 자연스런 치은을 재현하기 위한 특별한 외형의 형성과 몇몇 강조될 필요가 있는 점들이 있다.
1) 치근의 풍융, 치은연 및 치은유두(그림 72)
교합기에서 의치와 mounting ring을 제거한다. 조각을 허용할 만한 충분한 wax가 있어야 하고, wax는 단단하고 층이 지지 않아야 한다는 점이 중요하다. 이를 얻어내기 위해서는 치아들의 주위와 의치상의 순측에서 대부분의 wax를 제거하고, 더 많은 wax를 녹인 상태에서 첨가하여 천천히 치아 치경부와 접촉점 아래의 치간공간을 더 두껍게 메워준다.
2) 협면과 순면(그림 72)
제2대구치에서 시작한다. 각각의 치아주위를 Ash No.6 혹은 LeCron 조각도를 이용하여 조각한다. 이 조각은 수직에 대해서 knife가 45°의 각을 가지도록 시행되어야 하며, 잔존 치조제와 인공치관의 경계까지 시행하여 치관들이 노출되어야 한다.
다시 제1소구치에서 시작하여 치간공간에 얕은 구를 만들기 위해 협면과 순면들에서 wax를 조각해 낸다. 이런 구들이 치은연까지 연장되어선 안 되며, 치간공간에서는 치은유두를 형성하도록 약간 올려져야 한다.
3) 설면과 구개면
의치상의 제작과정에서 이미 의치변연의 두께는 결정되었다. 설면과 구개면의 모양은 전방을 향하게 하여 혀를 위한 최대의 공간을 부여할 수 있게 적절한 함몰부를 만들어 내도록 해야한다.
치경연은 외측면과 마찬가지로 다듬되 어떤 외형의 형성도 시도해서는 안된다. 치간구와 치은열구의 형성은 단지 혀를 자극할 수 있게 될 뿐 아니라 때로는 발음의 결함을 일으킨다.
신상완 원장
۰ 신상완 치과 (임플란트·틀니연구소)
۰ 고려대 명예교수
www.sswdent.com
