5. Complete Denture(틀니)의 장착, 유지관리 및 첨상
3) 상하악 의치의 유지력 검사
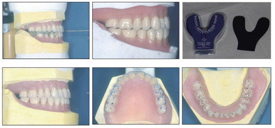
(1) 상악의치의 유지력 검사(그림 79 상)
① 상악 의치를 강하게 후상방의 압력으로 위치시키고 입술과 볼의 조직들이 의치의 주변으로 안착되도록 한다.
② Posterior palatal seal을 평가하기 위해 상악전치를 바깥쪽으로 당겨준다.
③ 상악 의치의 좌우측 협측부위의 boder seal을 보기 위해 반대편 치아의 설측교두를 buccal side로 압력을 가하여 평가한다.
④ 전치부위 border seal을 평가하기 위해서는 만일 필요하다면 의치를 재위치시키고 오른손 엄지와 검지로 상악 절치를 잡고서 아래로 당겨본다. 이 힘에 대한 저항을 평가한다.
(2) 하악의치의 유지력 검사(그림 79 하)
① 하악 의치를 강하게 후하방의 압력으로 위치시키고 입술과 볼의 조직들이 의치의 주변으로 안착되도록 한다.
② Posterior palatal seal을 평가하기 위해 하악전치를 바깥쪽으로 당겨준다.
③ 하악 의치의 좌우측 협측부위의 boder seal을 보기 위해 반대편 치아의 설측교두를 buccal side로 압력을 가하여 평가한다.
④ 전치부위 border seal을 평가하기 위해서는 만일 필요하다면 의치를 재위치시킨다. 오른손 검지를 하악 절치 전방에 대고 하악의 치를 후방으로 밀어서 평가한다. 그러나 하악 의치의 유지력을 검사하기 위해서는 하악 의치에서 만들어질 수 있는 유지력은 일반적으로 상악의치에서보다는 작다는 것을 염두에 두어야 한다. 그러나 만일 유지력이 아주 적다면 의치상을 수정해야 한다.
4) Centric jaw relationship(중심위 악간관계)의 검사 및 교합조정
(1) 중심위 악간관계 검사 후 간단히 교합조정
상하악 의치가 장착된 상태에서 중심악간관계를 검사한다. 악간관계를 채득할 때와 같은 자세에서 중심위관계를 check한다. 중심위기록에서 이미 자세히 언급된 바 있는 과정과 같이 환자로 하여금 중심악간관계로 폐구하게(침을 삼키면서 입을 다물라고) 한 후 대합치들 이 교합되는 방식을 주의 깊게 관찰한다. 그리고 넓은 교합지를 이용하여 전체적인 상하악 치아들의 접촉관계를 확인한다(그림 80).
중심위 악간관계는 맞으나 상하악 교합접촉관계의 minor한 수정이 요구되는 경우에는 치료실에서 교합지를 이용하여 check 한 후 조기접촉 부위를 삭제하여 좌우측 구치부 치아가 균등하게 접촉되도록 교합조정을 해준다(그림 81). 상하악 전치부 치아들은 교합지가 빠 져나올 정도의 약간의 공간을 부여해주는 것이 좋다.
(2) 상하악 의치의 Centric jaw relationship(중심악간관계)가 심하게 맞지 않는 경우
Centric jaw relationship(중심악간관계)가 심하게 맞지 않는 경우에는 새로 제작된 의치를 이용하여 중심위 기록 (Centirc jaw relation record)을 다시 채득 후에 상하악 의치를 교합기 위에서 중심교합(centric occlusion)과 편심 교합(eccentric relation occlusion)등을 조절 해야 한다.
중심위 기록을 다시 채득하기 위한 재료로 Alu wax나 Stone bite 등과 같은 Jaw relation record material를 이용한다. Alu wax 의 장점은 다루기 쉽고 치아가 다물어지면 Alu wax가 경화되어 기록이 즉시 기록된다는 것이다. 어쨌든, 이것은 Alu wax는 점성이 큰 재료이고 지지조직에의 부하전달에 의해 의치가 변위될 가능성이 존재하여 구치부위에만 아주 작은 양만을 사용하고 균일하고 완전하게 연화되었는지 확인해야 한다. 최근에는 Alu wax 대신에 Jaw relation record material 등이 많이 이용되고 있다.
상하악 의치를 악간기록에 위치시키고 sticky wax를 이용하여 서로 붙인다. 교합기상의 상악 mounting model에 상악 의치를 안착시키고, 하악 의치에 lower mounting model을 얹어놓는다. 하악 model을 교합기에 재부착시킬 석고를 첨가하기 전에 교합기를 뒤집어 놓는 것이 편리하다. 인공치아 도치배열시 혹은 의치의 완성 후 중심교합, 측방교합, 전방교합의 재형성을 위한 교합조정 과정을 반복하여 시행한다(그림 83).
신상완 원장
۰ 신상완 치과 (임플란트·틀니연구소)
۰ 고려대 명예교수 www.sswdent.com
