임플란트 시술이 대중 보편화 되면서 임플란트 주위 결손부의 치 조골 이식술은 피할 수 없는 술식이 되었다.
이에 따라 다양한 종류의 이식재와 차폐막을 사용하게 됐으며, 보다 좋은 결과를 위한 다양한 골이식 방법들도 소개되고 있다.
AMII에서 추구하는 임플란트 치료의 목표는 다음과 같다.
1. 연조직의 손상을 최소로 한다.
2. 경조직(치조골)의 손상을 최소로 한다.
3. 시술 횟수를 최소로 한다.
4. 이식재나 차폐막 사용 등의 부가적인 술식을 최소로 한다.
위에서 언급한 바와 같이 MagiCore 임플란트를 이용한 최소 침 습 임플란트 시술은 이식재 등의 부가적인 사용을 최소로 하고자 하나, 치조골의 결손정도에 따라 골이식이 불가피한 경우도 있다. 이러한 경우에 고려할 치료 방법으로 연조직 손상을 최소화 할 수 있는 AMII의 external pocket technique & internal pocket technique 의 2가지 술식을 소개하고자 한다.
<지난 호에 이어>
<Internal Pocket Technique>
Internal pocket bone graft technique은 모식도에서 보는 바와 같 이 임플란트를 식립하기 위해 형성된 식립구 안쪽으로 골이식을 하 는 술식으로 상악 전치부처럼 치조골의 중간부위에서 concavity가 존재할 때 유용하게 사용 할 수 있는 술식이다 [그림 9].
Case 2.
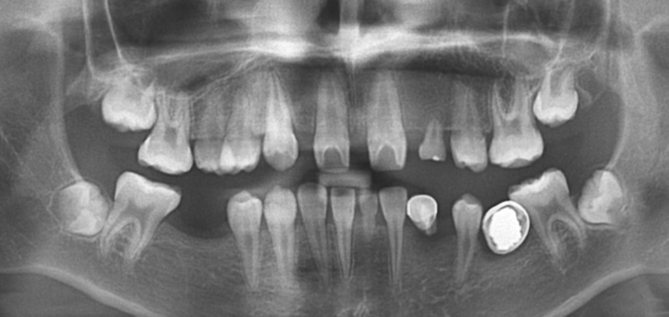
20세 남환으로 2013년 다수 영구치의 선천적 결손으로 내원하 여, 성장을 관찰하면서 교정치료를 진행하였다 [그림 10].
교정치료가 거의 완료될 시점에서 영구치 결손 부위인 #22, 23, 33, 34부위에 4개의 임플란트를 식립하기로 계획하였다 [그림 11].
#22 부위의 CBCT소견으 로 치조정 부위에서는 약 4 mm 정도의 골폭을 보이고 있 으며, 중간부에서는 전치부의 concavity로 약 2.5 mm 정도 의 골폭을 보이고 있고 기저부 (apex)에서는 4 mm 이상의 골 폭이 있는 것을 확인할 수 있 다 [그림 12].
구강 내 사진으로 #22, 23의 중간부위에 #63이 남아 있으며 순측의 concavity를 확인할 수 있다 [그림 13].
임플란트가 위치될 이상적인 부위에 Magic Guide Pin을 꽂고 CBCT를 촬영하여 치 조골의 폭, 길이, 골질 등을 평가한 후 Magic Guide Pin을 따라서 drilling을 시행한다 [그림 14].
치조골의 중간부 concavity 부위 전까지 drilling을 한 후 Magic Periosteal Elevator을 이용하여 상, 하, 근, 원심 4군데의 순측 치조 골판을 green-stick fracture 시킨 후 bone carrier를 이용하여 식립구 안쪽으로 골이식을 시행한다 [그림 15].
식립 직후 파노라마와 #22 임플란트의 CBCT 소견으로, concave 했던 순측면에 골 이식이 된 것을 볼 수 있다 [그림 17].
MagiCore 식립 5개월 후 temporary bridge를 장착한 파노라마, CBCT, 구강 내 사진 에서 장기적인 추적 관찰이 필요하지만 MagiCore 주위로 이식된 골이 유지되는 것을 볼 수 있다 [그림 18].
IBS社의 MagiCore 임플란트의 특징을 잘 이해한다면, 골이식의 가능성을 많이 줄 일 수 있다. 하지만 협측골의 심한 결손이나 연조직의 형태 개선, 치조골의 외형에 따 라 골이식이 불가피한 경우들도 존재한다. 이러한 경우에도 위에서 소개한 external & internal pocket bone graft technique으로 증례에 맞게 시술한다면 유용한 치료 술식이 될 수 있을 것이다.
다음 호에는 이영욱 원장의 원고가 이어집니다.
