MagiCore의 보철·치주적 장점
인류는 오래전부터 여러 가지 방법을 사용하여 상실된 치아를 대체해 왔으며 이러한 사실은 고대인의 치아 발굴 등을 통해서 발견되었다.
이후 현대에 이르러 Branemark 박사가 티타늄을 이용한 임플란트를 성공한 이래 수많은 임플란트 디자인과 치료법이 개발 되면서 눈부신 발전을 거듭해 온 치과 임플란트치료는 오늘날 대중화된 보편적인 치료법으로 인식되고 있다.
그러나 사용량이 증가함에 따라서 그에 따른 여러 부작용이 적지 않게 발생하고 있 는 바, KAOMI(대한구강악안면임플란트학회)와 치과신문의 공동 조사자료1에 의하 면 임플란트 fixture와 지대치의 연결 구조가 약해서 발생되는 문제와 수술과 보철과정에서 필연적으로 생기는 biologic width의 감소로 인한 치주적인 문제(peri-implantitis) 가 부작용의 대부분을 차지하고 있음을 알 수 있다 [그림 1].
1. 신종학. “임플란트 선택, 세미나보다 제품 품질·데이터가 우선”. 『치과신문』. 2020.01.03.
이번 연재에서는 임플란트 치료에서 가장 많이 발생하는 보철적, 치주적 문제점을 극복하기 위한 여타의 치료법과 차별화된 개념을 바탕으로 개발된 IBS社의 최소침습용 임플란트 MagiCore를 사용한 증례를 소개하여 그 해결 방법을 제시하고자 한다.
먼저, MagiCore의 가장 큰 보철적 장점으로 강력한 연결 구조를 손꼽을 수 있다. Magic Post의 안쪽과 바깥쪽에서 동시에 잡아주는 double connection의 형태는 ferrule effect를 부여하게 되고, 이러한 연결 구조는 internal connection의 약점인 abutment sinking, wedging, vertical tearing 등의 가능성을 원천적으로 차단할 수 있다 [그림 2].
자연치의 경우, 근관 치료 후 잔존 치근에 수렴형 포스트가 장착 되면 wedging effect가 일어나고 과도한 측방력이 가해질 때 내부에 ferrule 구조가 없으면 포스트에 가해진 외력은 직접 치근 내부로 전 달되어 치근 파절을 일으키곤 한다.
반면, 2mm 이상 치경부 잔존 치질을 남겨 치관이 감싸도록 하면 측방압이 가해질 경우에도 응력이 치관 외측을 타고 직접 치근으로 전달되므로 치근의 수직 파절을 방지하는 효과, 즉 ferrule effect 가 작용하게 되는 것이다.
임플란트 구조에서도 같은 원리를 적용하여 나타나는 효과를 상정할 수 있다. 내부 연결형 임플란트 중에서 Morse taper형에서도 간혹 비슷한 현상이 일어나는데, 플랫폼 외측 벽이 너무 얇은 상태에서 내부에 강한 wedging force가 가해지면 이런 찢김 현상이 일어나기도 한다.
그러나 MagiCore는 지대주 코어의 2mm 외측 사면을 치관이 감 싸서 ferrule effect를 얻게 되므로 고정체의 수직 파절이 일어나지 않으며, 더욱 강화된 연결 구조물도 얻을 수 있는 장점을 지닌다 [그림 3].
두번째로 MagiCore는 tissue over level implant이므로 타임플란 트에 비하여 fulcrum이 상방에 위치하고 있다. 이로 인해 C/I ratio 가 증진되고, double connection에 의한 ferrule 효과로 나사에 가해 지는 힘이 거의 없으므로 나사가 풀리거나 파절될 가능성이 매우 작아진다.
결과적으로 mini screw 적용이 가능하며, 크라운 교합면에 screw hole도 작아지는 효과를 얻게 된다 [그림 4].
또한 MagiCore는 일체형이므로 micro gap이나 micro motion이 없고 술 후 보철 인상 및 체결 과정 중에도 Magic Cuff에 점착된 결합조직이 노출되거나 손상되지 않아 cement retained type 보철물을 체결할 때에도 excessive cement에 대한 스트레스가 없다 [그림 5].
반면 bone level 임플란트는 수술 이후 형성된 생물학적 폭경이 인상 채득 및 최종 보 철물 체결시에 분리되어 excessive cement가 치은 하방으로 흘러갈 수 있으므로 주의를 요하거나 사용이 제한되기도 한다 [그림 6].
앞서 살펴본 바와 같이 MagiCore는 강한 보철 연결 구조를 가지고 있으므로 이 점을 활용하여 다양한 보철 방법을 선택할 수 있고, 환자의 구강 상태에 맞추어 여러가지 방법으로 응용할 수도 있다.
MagiCore의 보철 방법은 다음과 같이 크 게 4가지로 나눌 수 있다.
1. Magic Crown - (1) Cement retained type (Magic UCLA Cap 사용)
(2) Screw retained type (Magic UCLA Cylinder 사용)
2. Hollow Crown - (1) Short Abutment
(2) Solid Abutment
(3) Magic Abutment
(4) Titanium 환봉
3. Magic abutment를 이용한 SCRP Crown
4. Link를 이용한 zirconia crown
이 중 첫번째 Magic Crown 형태의 보철물은 별도의 Abutment 없이 보철물 자체를 임플란트에 연결하는 방식이며, 두번째 hollow crown 형태는 자연치를 수복할 때와 같이 cement를 사용하여 수복하는 방식이다.
Magic Abutment를 이용한 SCRP 크라운은 cement retained type 보철과 screw retained type 보철의 장점을 결합한 형태로 서 탈착이 용이한 보철물을 제작할 수 있다. 마지막으로 Link를 이용한 zirconia crown 은 Magic Post 부분을 보철물이 감싸게 되는 형태로, CAD/CAM을 이용하여 digital 보철물 제작을 할 수 있다.
이처럼 강한 연결 구조의 장점을 바탕으로 한 여러가지의 MagiCore 보철 방법 중 본 증례는 하악 전치부에 Short Abutment를 사용한 cement retained type 보철 방법으로 excessive cement에 대한 걱정 없이 심미적인 보철 치료를 완료한 case의 시술 과정을 소개하고자 한다.
증례) 이○희, 36세, 여, C.C: 하악 전치 보철물 재제작
36세 여성 환자로 재보철을 하기 위하여 내원하였으나 공간이 충분치 않아 부분교정 후 임플란트 식립 계획을 세웠다 [그림 7].
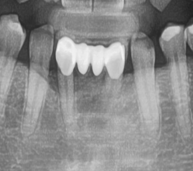
임플란트 수술 시에는 Magic GPS를 이용하여 뼈 중앙에 MagiCore를 최소 침습적으로 식립하였다 [그림8].
상, 하악 전치부는 좁은 골폭으로 인하여 식립 방향이 절단 및 협측으로 형성되어 cement retained type 보철을 해야 심미적이고 편리한 경우가 빈번하다.
이런 경우 bone level 임플란트는 excessive cement가 치은 하방으로 흘러 들어가지 않도록 매우 주의해야 하나, MagiCore는 Magic Cuff에 결합 조직 점착이 자연치아처럼 잘 이루어지기 때문에 cement retained type 보철을 손쉽게 적용할 수 있다.
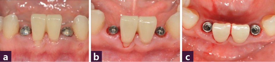
최소침습적 방법으로 Magi Core를 식립한 후 치근 방향을 교정하였다 [그림 9].
이후 healing cap을 체결하여 sub-gingival level이었던 margin 을 정리하였다 [그림 10]
마지막으로 Short Abutment를 사용하여 zirconia cement retained type 최종 보철물을 완성하였다 [그림 11, 12].
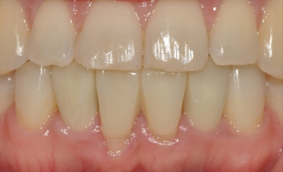
최종 보철물 제작 2개월 후 구강 내 사진에서 만족스러운 연조직 치유 양상을 확인할 수 있다 [그림 13].
임상의들이 임플란트 수술 전에 가장 흔히 듣는 질문은 “평생 사용할 수 있나요?”라는 환자의 물음일 것이다. 모든 환자와 치과의사는 시술이 용이하고 부작용 없이 오래가는 임플란트를 원한다.
본 증례에서 소개하였듯이 자연치와 같은 강한 연결 구조와 자연치와 비슷한 치주 조직을 확보할 수 있는 최소침습용 임플란트 MagiCore를 이용한 치료 방법을 선택한다면 분명 치과의사와 환자들 모두에게 큰 만족을 가져올 수 있을 것이다.
● 원광대학교 치과대학 및 대학원 졸업
● 現 ● 원광대학교 치과대학 외래 교수
● 대전 덴타피아 치과 원장
● IBS 임플란트 임상연구위원
● AMII 연자
- [이은택 원장] External & internal pocket bone graft technique (2)
- [IBS 임상] External & internal pocket bone graft technique (1)
- [김재창 원장] Magic GPS(Guide Pin System)의 유용성
- [IBS임상특집-임세호 원장] 최소침습적 임플란트 치료 (6)
- [IBS 임상특집] 김용완 원장의 최소침습적 임플란트 치료
- [IBS] 김용완 원장의 최소침습적 임플란트 치료
- [IBS] 장정록 원장의 최소침습적 임플란트 치료
- [IBS] 길대현 원장의 최소침습 임플란트 MagiCore 개발 원리 (2)
- [IBS] 길대현 원장의 최소침습 임플란트 MagiCore 개발 원리 (1)
- [IBS임상 특집] 김진철 원장
- [IBS임상특집]“Guide 위에 Guide를 더하다!”
- IBS IMPLANT, ‘Magicore’ 큰 인기 체감
- 미래 치료방법은 간편하고 쉽다(?)
- 모의시술로 더 정교하게 편리한 수술이 가능하다
