임플란트 시술이 대중 보편화 되면서 임플란트 주위 결손부의 치조골 이식술은 피할 수 없는 술식이 되었다.
이에 따라 다양한 종류의 이식재와 차폐막을 사용하게 됐으며 보다 좋은 결과를 위한 다양한 골이식 방법들도 소개되고 있다.
이번 연재는 IBS社의 최소침습용 임플란트 MagiCore를 식립하기 위해 개발된 AMII(Academy of Minimally Invasive Implantology, 최소침습 임플란트 학회)의 최소침습적 골이식 방법에 대해 소개하고자 한다.
AMII에서 추구하는 임플란트 치료의 목표는 다음과 같다.
1. 연조직의 손상을 최소로 한다.
2. 경조직(치조골)의 손상을 최소로 한다.
3. 시술 횟수를 최소로 한다.
4. 이식재나 차폐막 사용 등의 부가적인 술식을 최소로 한다.
위에서 언급한 바와 같이 MagiCore 임플란트를 이용한 최소침습 임플란트 시술은 이식재등의 부가적인 사용을 최소로 하고자 하나 치조골의 결손정도에 따라 골이식이 불가피한 경우도 있다. 이러한 경우에 고려할 치료방법으로 연조직 손상을 최소화할 수 있는 AMII의 external pocket technique & internal pocket technique 의 2가지 술식을 소개하고자 한다.
<External Pocket Technique>
External pocket technique는 [그림 1]에서 보는 바와 같이 임플란트 치료를 하고자 하는 부위의 협측 골결손이 심한 경우 연조직에 최소한의 절개를 통해 협측으로 작은 주머니를 만들고 골이식을 한 후 MagiCore를 식립하는 방법이다.
물론, MagiCore 임플란트는 Magic Fin Thread의 wide pitch와 depth로 초기 안정을 얻기가 유리하며 body(core)의 직경이 상대적으로 가늘기 때문에 계획한 임플란트의 직경보다 협설측으로 0.5 mm 이상의 골폭만 존재한다면 골이식없이 식립이 가능하다.
예를 들어 구치부의 협설 골폭이 5.5 mm라면 5.0 직경의 MagiCore 를 골이식 없이 최소침습적으로 식립할 수 있다.
또한, 다양한 길이의 Magic Cuff (2, 3, 4, 5 mm)를 활용해 치조정의 골폭이 부족하더라도 잇몸에서 최대 6 mm 하방의 골폭이 확보된다면 골이식없이 Magic Cuff를 이용하여 식립이 가능하다. 하지만 심한 골결손으로 인하여 치조골이식을 해야만 하는 경우도 존재하고 이러한 경우에 external pocket technique 이 좋은 대안이 될 수 있다.
Case 1.
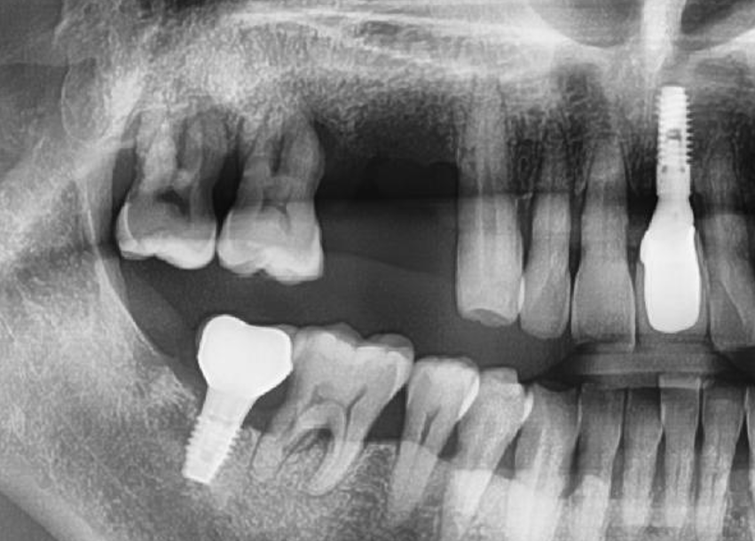
56세 남환으로 수년전 #14의 발치를 했고 #15는 1개월 전 발거가 되었으며 #16, 17은 만성복합치주염으로 심한 동요를 보이고 있었다. 치료계획은 #14, 15, 16 부위에 3개의 임플란트를 식립하기로 했다. 술전 파노라마사진에서 #14, 15의 결손과 #16, 17의 심한 치조골 소실을 관찰할 수 있다 [그림 2].
#14 부위의 CBCT 소견으로 협측이 심한 골흡수를 보이고 있으며 이로 인해 협측과 구개측 치조골은 심한 높이차를 보이고 있다 [그림 3].
구강내 소견으로 #14 부위 협측 치은이 함몰된 양상을 보이고 있다 [그림 4].
#14 부위의 임플란트를 계획한 자리에 Magic Guide Pin을 꽂고 CBCT를 촬영해 해 당 부위의 치조골의 형태를 분석했다. Magic Guide Pin 주위로 #15 blade를 이용하여 semilunar incision을 가한 후, 협측으로 밀어내고 협측 결손부에 bone carrier로 골이식을 시행하였다. 골이식 후 협측 함몰부가 개선된 것을 볼 수 있다 [그림 5].
MagiCore 임플란트 식립 후 구강 내 사진에서 협측 함몰부가 골이식과 임플란트의 식립으로 인접치은과 비슷하게 개선된 모습을 볼 수 있다 [그림 6].
#14 부위에 식립된 Magi Core와 협측으로 골이식이 된 것을 CT에서 확인할 수 있다 [그림 7].
식립 3개월 후 최종 보철물을 장착한 구강내 사진과 CBCT 이미지에서 식립 전보다 개선된 협측 부위를 관찰할 수 있다 [그림 8].
이처럼 심한 협측골의 소실과 연조직의 형태를 개선하기 위해 간단한 semilunar in cision을 통하여 골이식을 할 수 있는 External pocket bone graft technique의 증례를 소개하였다.
이은택 원장
● 원광대학교 치과대학 및 대학원 졸업
● 구강악안면외과 전문의
● 현 )고구려치과 원장
● IBS임플란트 임상연구위원
● AMII 연자
다음 호에 <Internal Pocket Technique> 계속
- [김재창 원장] Magic GPS(Guide Pin System)의 유용성
- [IBS임상특집-임세호 원장] 최소침습적 임플란트 치료 (6)
- [IBS] 김용완 원장의 최소침습적 임플란트 치료
- [IBS] 장정록 원장의 최소침습적 임플란트 치료
- [IBS] 길대현 원장의 최소침습 임플란트 MagiCore 개발 원리 (2)
- [IBS] 길대현 원장의 최소침습 임플란트 MagiCore 개발 원리 (1)
- [이은택 원장] External & internal pocket bone graft technique (2)
- [이영욱 원장] 최소침습적 임플란트 치료
- [IBS임상 특집] 김진철 원장
- [IBS임상특집]“Guide 위에 Guide를 더하다!”
- IBS IMPLANT, ‘Magicore’ 큰 인기 체감
- 미래 치료방법은 간편하고 쉽다(?)
- 모의시술로 더 정교하게 편리한 수술이 가능하다
