MagiCore 임플란트를 이용한 무치악 환자 전악수복 증례
무치악 환자의 치료 옵션 중 임플란트를 이용하여 전악 수복하는 임플란트 지지형 고정성 보철은 가철성 보철에 비해서 보철물의 안정과 유지 및 지지가 뛰어나며 저작효율이나 환자의 만족감, 응력분산 등 여러 면에서 유리하다.
임플란트를 이용하여 전악 수복 치료를 하기 위해서는 먼저 치조골과 연조직의 양과 질, 최종 보철후 안모의 심미성과 악간 관계, 최소 침습적인 수술, 장기간의 치료계획 동안 필요한 임시치아, 치료비용 및 장기간의 유지관리에 용이한 보철 재료 및 디자인 등 술 전에 고려해야 할 다양한 사항에 대한 철저한 분석과 이에 따른 치료계획이 선행되어야 하며, Misch가 제시한 바에 따르면 완전 무치악 환자의 경우에 임플란트 고정성 보철물이 충분한 지지를 얻기 위해서는 상악에 8개, 하악에 6개 이상의 임플란트 식립이 필요하다고 하였다.1
1. Misch CE. Maxillary arch implant considerations; fixed & overdenture prostheses. In: Contemporary implant dentistry. 3rd ed. St. Louis, Missouri: Mosby Elsevier; 2008. p. 367-388.
필자는 다년간 완전 무치악 환자에게 최소한의 연조직 손상, 잔존 치조골의 최소한의 삭제, 치조골 이식의 최소화 및 최소한의 수술횟수를 지향하는 최소침습용 임플란트 MagiCore를 사용하여 고정성 전악 수복 치료를 진행해 왔다.
그 결과 만족할 만한 치료 성과를 얻게 되었으며 다음과 같은 최소침습적 치료 개념의 새로운 임플란트 전악 수복 치료 과정을 소개하고자 한다.
본 증례는 70세 남성환자로 상악 총의치와 하악 좌측 견치를 지대치로 하는 국소의치를 장착하고 있던 중 [그림 1],
치주질환으로 하악 좌측 견치의 발치가 요구되는 상황에서 임플란트 식립을 통해 고정성 보철을 하고 싶다는 주소로 내원하였다.
환자의 특이한 전신질환은 없었고 전반적인 치조골 상태는 양호하였다.
치료계획으로 의치에 대한 환자의 거부감과 양호한 치조골 상태를 고려하여 상악에는 10개, 하악에는 8개의 MagiCore 임플란트를 식립하여 치료하는 임플란트 지지 고정성 보철을 선택하였다.
Misch에 의하면 상악 전치부를 고정성 보철로 수복하고자 할 경우 악궁의 형태가 square하다면 전방 캔틸레버 (cantilever) 양이 많지 않기 때문에 견치 위치에 2개의 임플란트만 식립하여 6본 보철물로 수복이 가능하다고 하였으나2,
2. Misch CE. Maxillary arch implant considerations; fixed & overdenture prostheses. In: Contemporary implant dentistry. 3rd ed. St. Louis, Missouri: Mosby Elsevier; 2008. p. 374-.
본 증례에서는 전방으로의 캔 틸레버 되는 양을 더욱 줄이기 위해 양측측절치에도 추가적인 식립을 계획하였다.
본 증례에 사용된 IBS社의 MagiCore 임플란트는 직경 1 mm의 Magic Guide Pin을 식립 예정 부위에 꼽고 촬영한 CBCT 영상을 분석한 후 필요 시 Magic Guide Pin을 기준으로 드릴링의 위치 및 방향을 수정하고 Magic Guide Pin을 드릴 내부에 끼운 채로 임플란트 식립구를 형성하는 Magic GPS (Guide Pin Surgery) system, 즉 internal guide system에 따라 수술을 하게 된다.
이러한 Magic GPS system은 기존 여타의 guided surgery에 비해 정확하며 추가적인 비용의 부담이 없고 내원 즉시 수술이 가능할 뿐 아니라 수술 시 환자의 불편감이 없고 치조골에 열손상을 주지 않으며 필요시 식립구 드릴링의 수정이 용이하다는 큰 장점을 가지고 있다.
본 증례에서는 치아의 평균 근원 심 폭경을 참고하여 캘리퍼로 근원심 간격을 표시한 후 Magic Guide Pin을 꼽고 [그림 2]
CBCT를 촬영하여 식립 예정부위의 치조골 상태와 식립 방향을 분석하여 flapless 시술법으로 상악에 10개, 하악에는 좌측 견치의 발치 즉시 식립을 포함하여 8개의 MagiCore를 2일에 걸쳐 식립하였다 [그림 3~4].
식립 직후 고정성 PMMA임시치아를 제작하기 위해 transfer type impression coping 을 연결하고 폴리비닐 실록산 인상재를 이용해 상하 인상을 채득한 뒤 [그림 5],
안모 심미성과 Willis method에 기반하여 수직 고경을 결정하고 alu- wax를 이용하여 상하 악간 관계를 채득하였다 [그림 6].
작업 모형을 제작한 후 상하 작업 모형을 반조절성 교합기에 마운팅하여 맞춤형 지 대주(titanium customized abutment)와 상하악 모두 전치부와 양측 구치부로 3분획한 PMMA 임시치아를 제작하였다 [그림 7].
수술 8일 후 구강내에 positioning jig를 이용하여 맞춤형 지대주를 위치시키고 [그림 8]
시멘트유지형 PMMA 임시 치아를 tempbond 임시 시멘트로 접착하였다 [그림 9].
수술 10일 후 다소 근심으로 식립된 하악 좌측 제 2 대구치의 위치로 인해 하악 좌 측 제 2 대구치 후방 부위에 추가로 한 개의 MagiCore를 식립하였다.
3개월 간의 고정성 임시보철물 사용기간 동안 경과 관찰과 교합 조정을 시행해 적 절한 심미성의임시 보철물이 안정적으로 기능하도록 하여 환자가 만족하였다. 또한, 임시 보철물 사용기간 동안 악관절의 이상 증상도 없었고 시멘트 유지형 임시 보철물의 탈락은 발생하지 않았으며 연조직 치유도 양호하였다.
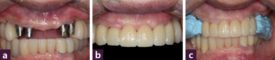
식립 3개월 후 최종 보철물을 제작하기 위해 임시 보철물을 부분적으로 제거한 후 abutment level로 인상을 채득하고 교차 마운팅을 위한 바이트를 채득하여 상악 전치, 하악 전치, 하악 구치, 상악 구치 순으로 zirconia 보철물을 제작하였다 [그림 10].
본 환자는 각각의 임플란트축의 차이가 존재해 맞춤 지대주를 사용하였으므로 passive fit을 얻는데 주안점을 두어 시멘트 유지형 보철물로 수복하였다.
최종 보철물은 보철물의 passive fit, 청소성, 탈착 가능성의 측면을 고려하여 상악은 전치부와 구치부로 3분획하고 하악은 전치부, 우측 구치부, 좌측 소구치부, 좌측 대구치로 4분획하여 제작하였다.
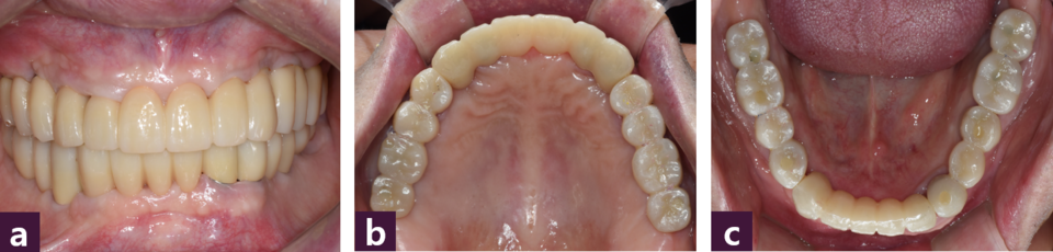
완성된 상하 보철물을 구강내에 fit-checker를 이용하여 가착한 후 악간 관계를 채 득하고 pick up type 인상 채득 한 다음 반조절성 교합기에 리마운팅하여 교합조정을 시행해 전방 및 측방운동시 군기능 교합양식을 부여하였다 [그림 11].
완성된 최종 보철물을 구강내에 위치시키고 추가적인 교합조정 후 레진 강화형 글라스 아이오노머 시멘트(RelyX Luting cement, 3M, USA)로 최종 접착하였다[사진 12~15].
위 증례의 치료 과정에서 살펴본 바와 같이 MagiCore 임플란트 시스템은 최소침습 시술을 guide해 주는 Magic GPS system이라는 간편한 도구를 이용하여 빠르고 정확 한 시술이 가능하기 때문에 4개월이라는 비교적 짧은 기간에 환자와 술자가 함께 만 족하는 치료 결과를 얻게 되었으며 향후 주기적인 교합 조정과 보철적, 치주적인 관 리가 수반된다면 환자의 만족감은 더욱 커질 것으로 판단된다.
또한, MagiCore는 보철물을 제작하기 위해 거쳐야 하는 여러 번의 착탈 과정이 치은 연상에서 이뤄지기 때문에 식립 초기에 형성된 soft tissue sealing이 손상없이 유지 될 수 있는 장점뿐 아니라 독창적인 internal & external connection(double connection) 의 특성상 안정적인 ferrule effect를 부여함으로써 간편하고 정확한 인상 채득 및 적합 과정을 수행할 수 있는 등 많은 장점이 있으며, 보철물 장착 후 유지 기간 동안 일어날 수 있는 생물학적, 기계적 합병증을 최소화할 수 있다.
특히 강한 교합력을 견뎌낼 수 있는 탁월한 응력 분산구조와 직경에 비해서 작은 body size로 설계된 디자인상의 장점은 많은 수의 임플란트 식립 시 인접 임플란트와의 근접 거리로 인해 발생할 수 있는 수평적인 생물학적 폭경의 침범과 이에 따른 치조골의 흡수를 미연에 방지할 수 있기 때문에 전악 수복 보철 치료 시 많은 수의 임플란트식립에 매우 유리하다. 무치악 환자를 임플란트로 전악 수복 치료하는 진일보한 최선의 접근 방법이라 하겠다.
● 조선대학교 치과대학 졸업
● 보존과 전문의
● 現 ● 미조치과 원장
● IBS 임플란트 임상연구위원
● AMII 연자
- [이영욱 원장] 최소침습적 임플란트 치료
- [이은택 원장] External & internal pocket bone graft technique (2)
- [IBS 임상] External & internal pocket bone graft technique (1)
- [김재창 원장] Magic GPS(Guide Pin System)의 유용성
- [IBS임상특집-임세호 원장] 최소침습적 임플란트 치료 (6)
- [IBS 임상특집] 김용완 원장의 최소침습적 임플란트 치료
- [IBS] 김용완 원장의 최소침습적 임플란트 치료
- [IBS] 장정록 원장의 최소침습적 임플란트 치료
- [IBS] 길대현 원장의 최소침습 임플란트 MagiCore 개발 원리 (2)
- [IBS] 길대현 원장의 최소침습 임플란트 MagiCore 개발 원리 (1)
- [IBS임상특집]“Guide 위에 Guide를 더하다!”
- IBS IMPLANT, ‘Magicore’ 큰 인기 체감
- 미래 치료방법은 간편하고 쉽다(?)
- 모의시술로 더 정교하게 편리한 수술이 가능하다
- 쉽고 간단하게 접근하는 최소침습치료법
