촬영에 필요한 도구들
# 촬영에 필요한 도구들
스마트폰
최근에 출시되는 스마트폰에 장착된 카메라는 치과 임상 사진 촬영 도구로 충분한 성능을 지니고 있다.
LED ring flash
진료실에서 치아 사진을 촬영할 때 스마트폰 자체 flash 기능을 정지시키고 외부 광원을 사용해야 좋은 치아 사진을 얻을 수 있다. MD plus사에서 스마트폰의 치과 임상 사진 촬영용으로 출시한 flash이다.
SNS(카톡, 라인)
기공의뢰서 대신에 라인이나 카톡을 통해서 실시간으로 사진을 주고받을 수 있다. 치과 전용으로 카톡이나 라인만 이용하면 한 달에 1만원 정도로 통신사와 약정하면 된다.
디지털 측색기
일반적으로 도재 작업에 경험이 많은 치과의사가 기저색을 정확하게 판단할 가능성은 25% 정도 된다. 디지털 측색기를 이용하면 경험에 상관없이 85% 정도 정확도를 얻을 수 있다.
도재 제작에 가장 중요한 명도(value) 선택에는 디지털 측색기가 결정적인 역할을 한다. 디지털 측색기를 이용하면 해당 치아에 대한 정확한 기조색을 확인할 수 있다. 디지털 측색기로 선택한 기저색은 색상, 명도, 채도에 대한 기조색을 의미한다.
측색 방식에 따라 두 가지 종류로 나눈다.
색체계
ShadeEye NCC(Shofu사)
분광광도계
VITA Easyshade(VITA사)
아래 두 제품은 단종되었다. 최근에 VITA easyshade V를 클리어덴탈사에서 판매하고 있다.
RAW file과 JPG file
고급형 카메라와 보급형 카메라를 구분하는 기준이 RAW file 저장 기능이다. 대부분 고급형 카메라는 촬영 시 RAW file과 JPG file을 동시에 저장한다. RAW file은 펌웨어 과정을 거치지 않는 원본 파일이다. JPG file보다 30~50배 큰 데이터를 저장한다.
카메라를 선택할 때 RAW file 저장 기능이 있는 카메라를 선택하고 촬영 시에도 RAW file을 저장한다. 기공소에 사진을 의뢰할 때에도 RAW file을 보내야 한다. RAW file은 카메라 제조사에서 제공하는 특정 프로그램이나 Photoshop 프로그램에서만 열 수 있다. 이 사진들은 동일한 숏(shot)이지만 색감이 전혀 다르다.
슬라이드 필름에 담겨 있는 색상정보에는 미치지 못하지만 그래도 RAW file은 기공 작업에 충분한 색상 정보가 담겨 있다. 이 책에 소개된 모든 임상 사진은 RAW file을 사용한 것이다.
# 치과 임상 사진에서 스마트폰 활용 개론
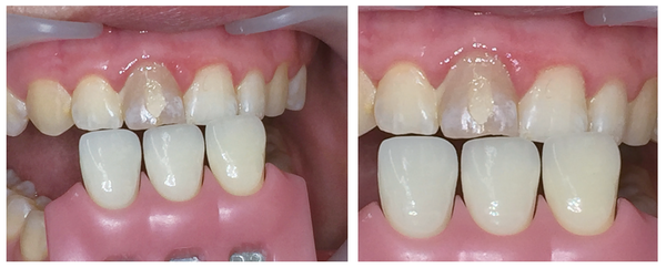
전치부 심미보철 제작을 위한 색상과 형태 정보를 어떻게 전달할까?
스마트폰을 활용하면 된다. 스마트폰으로 촬영하고 카톡이나 라인 등의 메신저 서비스를 이용하여 촬영 사진을 보내면 된다. 스마트폰에 장착된 카메라는 치과 임상 사진 촬영용으로 충분한 성능을 지니고 있다.
몇 가지 촬영 보조장비를 갖추고, 기본적인 촬영 방법을 익힌다면 임상 사진 촬영 도구로 활용할 수 있다. 이 장에서는 스마트폰과 SNS를 활용하여 전치부 심미보철 작업과정을 기록하였다.
스마트폰으로 촬영 시 요구 사항들
• 배율은 6전치까지만 나오게 한다.
• 자연치아가 건조해지기 전에 촬영한다.
• 리트렉터를 효과적으로 사용하여 입술을 치아에서 확실하게 분리한 후 촬영한다.
• 정면과 45°측면에서 두 번 촬영한다.
• 노출은 30% 어둡게 조절한다.
• Gumy에 3개 shade tab을 끼워 촬영한다.
• Shade tab은 가로 방향, 세로 방향으로 두 번 촬영한다.
• Shade tab은 촬영한 치아와 절단면끼리 맞물리게 배열한다.
김경헌 원장
現 예가치과 원장
『틀니임상, 감에서 과학으로! Active Functional Impression』 (2021년) 대한나래출판사
