Shade Guide
# Shade guide
색을 표현하고 전달하는 방법에는 무엇이 있을까?
Munsell color system은 색의 3요소를 기준으로 하여 색상(hue), 채도(chroma), 명도(value)를 바탕으로 색의 언어를 표현하였다. 치과의사와 치과기공사가 소통하는 치아색에 대한 언어는 색상, 채도, 명도를 최소한으로 분류한 shade guide가 사용된다.
Shade guide는 치과도재 회사에서 자사의 도재 파우더에 맞는 채도와 명도 그리고 색상을 기준으로 만든 색 견본이다. 치과와 치과기공소에서 가장 많이 사용하는 shade guide 3종류와 사용 점유율은 VITAPAN classical 85%, 3D master 10% 그리고 Vintage halo 5% 순이다.
Shade guide를 구성하는 shade tab 개수는 최소 16개부터 최대 25개 미만으로 구성되어 있다. 동일한 A계열이라도 도재 회사별로 색상에 조금씩 차이를 보인다. 절대적인 색상 기준이 아니기 때문에 동일한 shade guide를 치과와 치과기공소가 함께 사용해야 한다.
자연치아색은 광학적 다양성을 지니고 있다. 보철물을 제작하기 위해서 반투명한 법랑질과 기저색을 포함한 상아질로 구성된 자연치아의 색상, 채도, 명도 그리고 반투명성에 대한 충분한 이해와 학습이 필요하다.
자연치아와 일치하는 shade guide를 선택하는 것은 불가능에 가깝다. 보철할 자연치아와 유사한 색상, 채도, 명도를 띤 shade guide를 고르는 것이다. 특히 색상보다는 명도가 유사한 shade guide 선택이 중요하다.
이처럼 shade guide가 지닌 한계점 때문에 shade taking이라는 용어보다 shade matching이라는 용어가 더 적합한 표현이다.
# VITAPAN Classical shade guide
색상(Hue)
A계열 색상(reddish-brown), B계열 색상(reddish-yellow), C계열 색상(gray), D계열 색상(reddish-gray)으로 구성되어 있다.
채도(Chroma)
A계열: A1, A2, A3, A3.5, A4
B계열: B1, B2, B3, B4
C계열: C1, C2, C3, C4
D계열: D2, D3, D4
채도는 색의 포화도, 즉 선명도를 나타내는 것으로 연한 색부터 진한색까지 1, 2, 3, 4단계로 표시한다. 번호가 커질수록 채도가 높다.
명도(Value)
흑백 농도를 나타낸다. 명도가 가장 낮은 것은 검정색이고 가장 높은 것은 흰색이다.
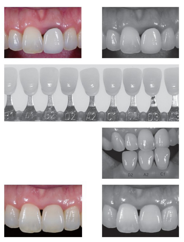
VITAPAN Classical shade guide를 명도순으로 재배열 하면 B1, A1, B2, D2, A2, C1, C2, D3, A3, D4, B3, A3.5, B4, C3, A4, C4순이 된다.
동일 계열 shade tab을 흑백으로 전환해 보면 채도가 증가할수록 명도가 낮아진다.
VITAPAN Classical shade guide를 추가로 구입하여 명도순으로 tab을 재배열하여 사용한다. 심미적인 수복물을 결정하는 중요도는 명도(value), 채도(chroma), 색상(hue)순이다.
# 명도(value)와 shade guide
보철 제작을 위해 색을 선택할 때 명도, 즉 색에 포함된 gray 수준을 판단하는 과정이 훨씬 어렵다. 흰색이 많으면 빛을 더 많이 반사해서 밝게 보인다. 검정색이 많을수록 빛을 덜 반사하여 어둡게 보인다. 사람의 시각은 흑백으로 표현되는 명도에 훨씬 민감하다.
색상(hue)과 채도(chroma)가 일치하더라도 밝기, 즉 명도(value)가 다르면 심미적으로 완성도가 떨어진다. 명도가 너무 높으면 자연감이 떨어진 모조품처럼 보이고, 너무 낮으면 보철물이 회색을 띠게 된다.
명도는 보철물 제작에 가장 중요한 색상 기준이지만, 육안으로 구분하기는 어렵다. 디지털 측색기가 필요한 이유이다.
이 증례에서 좌측 중절치 기존 보철물은 너무 밝아 보인다. 즉, 명도가 높다.
디지털 측색기는 채도와 명도를 기준으로 기저색을 결정한다. A2를 기저색으로 선택했으면 주변 D2, C1 shade tab과 함께 3개 tab이 보여 주는 명도 변화를 사진 촬영한다.
자연치아는 치경부 중앙부 절단부 위치에 따라 색상 (hue), 채도(chroma), 명도(value)가 다르다. 중앙부는 명도가 제일 높다. 치경부는 두 번째로 높다. 절단면은 투명도 때문에 명도가 낮다.
김경헌 원장
現 예가치과 원장
『틀니임상, 감에서 과학으로! Active Functional Impression』 (2021년) 대한나래출판사
