Ⅴ. 고령자 교정치료의 실제
[증례 2] PTM으로 인해 공간 재분배 교정이 필요하나 비심미적 교정 장치로 인해 교정치료를 꺼리는 고령 남자 환자 증례
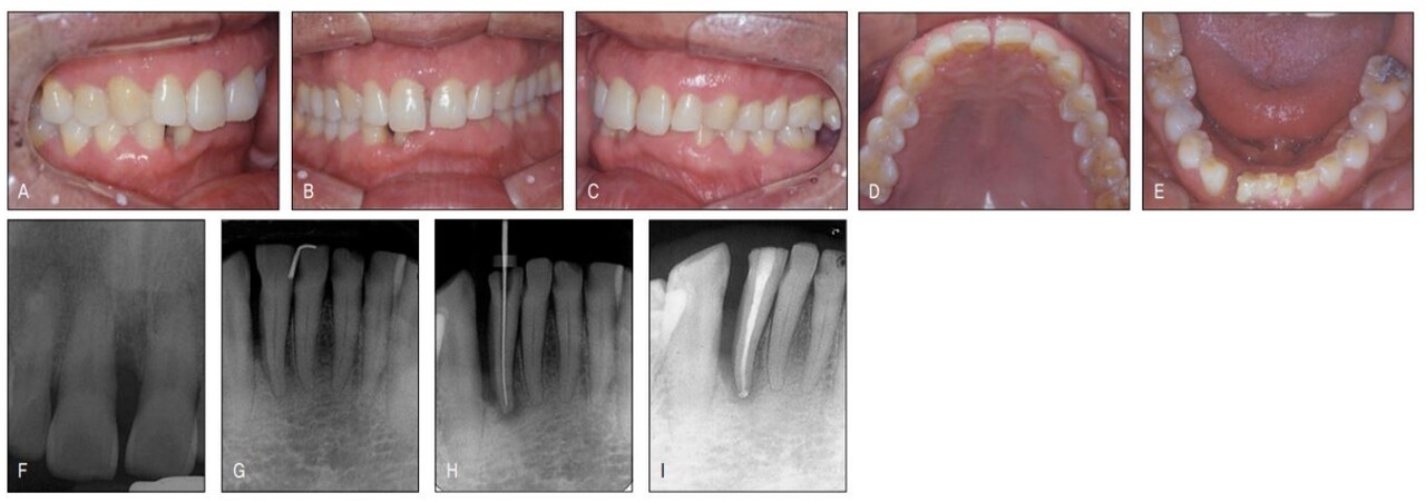
지난 일년 전 하악우측 측절치의 치주 및 근관치료 중 갑작스럽게 치아가 전위되면서 원심부에 공간이 발생한 환자로, 보철을 위해서는 공간재분배가 불가피하여 교정 치료를 위해 의뢰된 환자였다. 하전치부는 교모와 함께 정출이 나타나 이론적으로는 intrusion 후 보철이 필요하지만 환자는 공간재분배라는 간단한 교정치료 조차 받기를 주저할 정도이어 치료계획에 넣지도 않았다.
하악의 공간외에 상악정중부에도 치주질환으로 인한 공간이 있어 치료시 하악 상악같이 할 것을 권유하였으나 환자는 보철을 위해 꼭 필요한 하악에서의 교정만 하는 것으로 하고 상악 치료는 거부하였다. 후에 알게 된 사실이지만 환자가 상악교정을 거부한 이유는 장치의 노출 때문이었다. 교정 장치가 보기 싫어서가 아니라 “나이 들어서 교정치료를 받는 것이 민망해서”라고 하였다. 아직도 많은 이들이 교정은 심미목적으로만 치료받는 것으로 잘 못 알고 있고, 이에 대한 계몽이 필요하다는 것을 본 증례가 여실히 보여주었다.
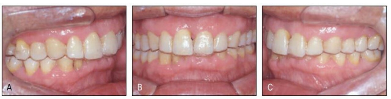
과개교합으로 인해 순측부착이 불가하여 설측으로 장치를 부착하였더니 보이지 않는 장치라 환자가 매우 좋아하였다. 한 개의 와이어를 사용하여 간단히 하악교정을 한 후 환자에게 다시 상악 교정을 권유하였더니 환자는 흔쾌하게 상악도 교정을 하겠다고 하였다. 하악에서처럼 심미적 교정장치로 치료 받을 수 있을 것으로 기대했기 때문이었다.
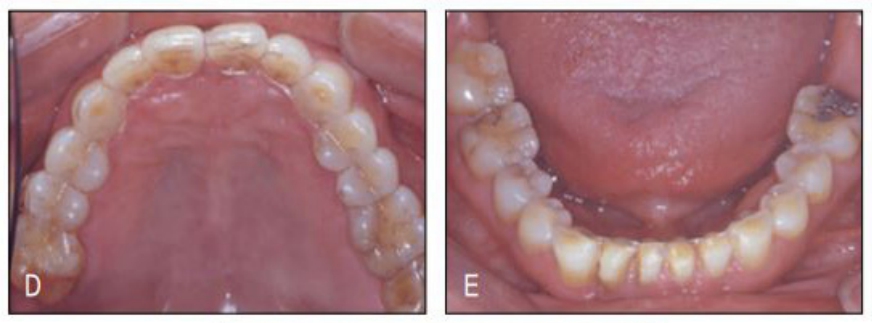
그러나 전치부 과개교합으로 상악설측면에서의 장치 부착이 불가하여 환자에게 투명교정장치를 설명하였고 이 역시 심미적 장치이어 환자가 수락하고 투명교정장치로 간단하게 공간클로져 교정을 시행 하였다. 가철식 장치이어서 다소의 경사이동이 발생하였고 치주질 환으로 우측의 중절치가 더 정출하여 비심미적인 절단연이었으나 스트리핑 그리고 re-shaping 등을 이용하여 심미적인 절단연을 만들어주었다. 교정을 주저하였던 환자는 설측및 투명장치 등 심미적 장치로 인해 교정치료 내내 크게 만족해 하였다(그림 23-7~10).
글_황현식 교수
연세치대졸업 및 교정과 수련
전남치대 교정과 교수
미국 UOP 교정과 겸임 교수
SF치과
