Ⅴ. 고령자 교정치료의 실제
{증례 2} PTM으로 인해 공간 재분배 교정이 필요하나 비심미적 교정 장치로 인해 교정치료를 꺼리는 고령 남자 환자 증례
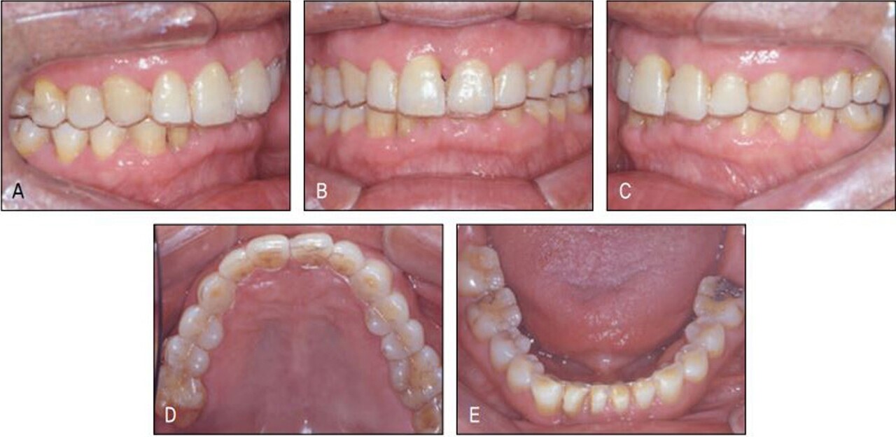
지난 일년 전 하악우측 측절치의 치주 및 근관 치료 중 갑작스럽게 치아가 전위되면서 원심부에 공간이 발생한 환자로, 보철을 위해서는 공간재분배가 불가피하여 교정 치료를 위해 의뢰된 환자였다. 하전치부는 교모와 함께 정출이 나타나 이론적으로는 intrusion 후 보철이 필요하지만 환자는 공간재분배라는 간단한 교정치료 조차 받기를 주저할 정도이어서 치료계획에 넣지도 않았다. 하악의 공간외에 상악정중부에도 치주질환으로 인한 공간이 있어 치료시 하악 상악같이 할 것을 권유하였으나 환자는 보철을 위해 꼭 필요한 하악에서의 교정만 하는 것으로 하고 상악 치료는 거부하였다. 후에 알게 된 사실이지만 환자가 상악교정을 거부한 이유는 장치의 노출 때문이었다. 교정 장치가 보기 싫어서가 아니라 “나이 들어서 교정치료를 받는 것이 민망해서”라고 하였다.
아직도 많은 이들이 교정은 심미목적으로만 치료받는 것으로 잘못 알고 있고, 이에 대한 계몽이 필요하다는 것을 본 증례가 여실히 보여주었다. 과개교합으로 인해 순측부착이 불가하여 설측으로 장치를 부착하였더니 보이지 않는 장치라 환자가 매우 좋아하였다. 한 개의 와이어를 사용하여 간단히 하악교정을 한 후 환자에게 다시 상악 교정을 권유하였더니 환자는 흔쾌하게 상악도 교정을 하겠다고 하였다. 하악에서처럼 심미적 교정장치로 치료 받을 수 있을 것으로 기대했기 때문이었다. 그러나 전치부 과개교합으로 상악설측면에서의 장치 부착이 불가하여 환자에게 투명교정장치를 설명하였고 이 역시 심미적 장치이어서 환자가 수락하고 투명교정장치로 간단하게 공간클로져 교정을 시행하였다.
가철식 장치이어서 다소의 경사이동이 발생하였고 치주질 환으로 우측의 중절치가 더 정출하여 비심미적인 절단연이었으나 스트리핑 그리고 re-shaping 등을 이용하여 심미적인 절단연을 만들어주었다. 교정을 주저하였던 환자는 설측 및 투명장 치 등 심미적 장치로 인해 교정치료 내내 크게 만족해 하였다(그림 23-7~10).
황현식 교수
연세치대졸업 및 교정과 수련
전남치대 교정과 교수
미국 UOP 교정과 겸임 교수
SF치과
