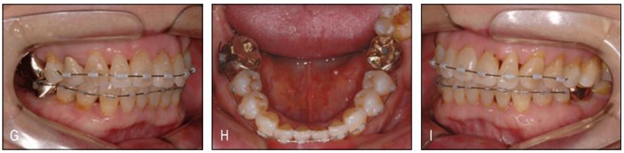
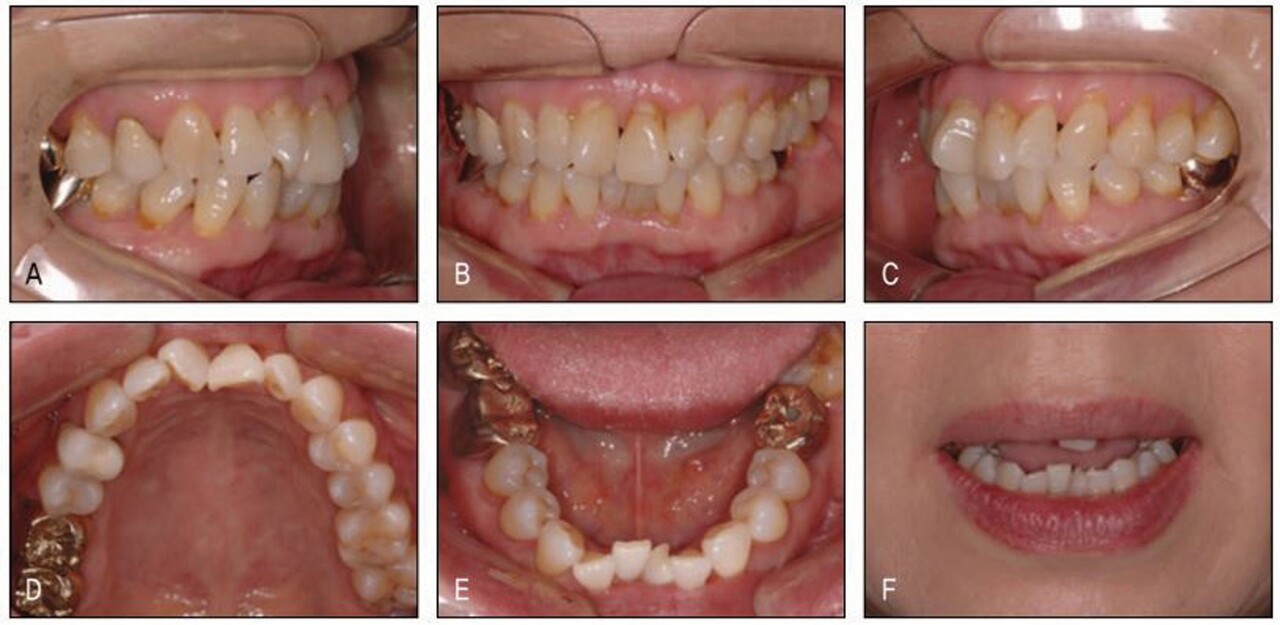
[증례 5] 전치부 심한 크라우딩으로 평소 교정치료 하기를 간절히 바래왔던, 그러나 치료 시 동통이 무서워 교정 치료를 주저하였던 고령 환자 증례.
전치부 심한 크라우딩으로 매우 비심미적인 치열을 가진 환자가 “무통교정이 가능하다”는 말을 듣고 반신반의 하면서 내원하였다. 본 환자는 십수년 전 40대 후반의 나이에 교정을 시도하였으나 너무 아파 한 두번 내원하고는 포기하였던 전력이 있었다.
최근 새로운 장치가 개발되었다는 이야기를 친구 치과의사에게 듣고는 내원하였다. 크라우딩 정도를 보면 소구치 발치 치료가 필요할 수도 있으나 일년전 하악좌측 대구치부위에 임플란트 치료를 받은 바 있어 비발치로 치료를 결정하였다.
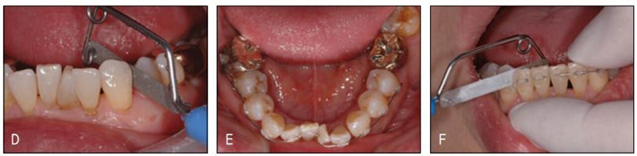
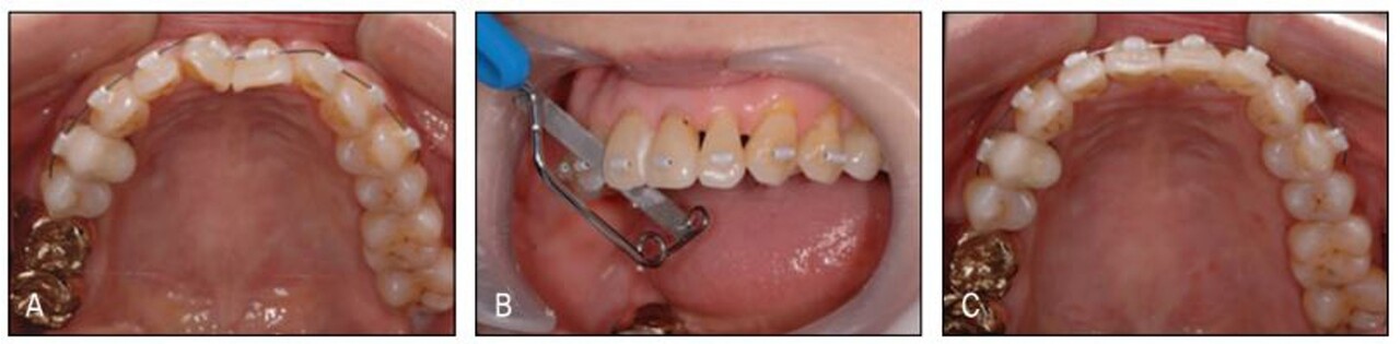
사실 임플란트 문제가 아니다하더라도 이 나이에서는 구치부 변화가 적거나 없는 비발치 치료가 선호될 것이다. 환자가 동통에 예민한 바 light force 적용이 필수적이므로 light force 에 의해서도 치아가 이동될 수 있도록 스트리핑을 시행하였다.
이러한 스트리핑으로 얼라인시 과다한 돌출을 막아주기도 하고 일반적으로 성인에서 흔히 볼 수 있는 black triangle 또한 줄일 수 있어 심미적인 개선 목적으로 교정치료 받은 고령자들에게 큰 도움이 되는 술식이라 할 수 있다. 무엇보다 이러한 스트리핑으로 tight한 치간접촉을 오픈시킴으로써 light force를 적용할 수 있으므로 골지지및 동통의 역치 가 낮은 고령자에게 큰 도움이 될 것이라 여겨진다.
본 환자 또한 교정치료중 동통이나 불편감이 없어, 자신이 받는 교정치료에 매우 만족해 하였다(그림 23-17~18).
VI. 맺음말
과거에는 고령자 교정치료가 힘들었다. 술자도 그러하였지만 특히 환자 측면에서 교정치료가 매우 힘든 것이사실이었다. 장치 장착만으로도 불편하였으며 치아이동 시 약한힘 적용이 잘 안되어 이루말할 수 없는 동통이 수시로 나타났다.
치주질환이 심하지 않다하더라도 연령 증가에 따라 골지지가 감소하여 젊은 성인에서와 같은 크기의 힘을 적용하여도 단위면적당 힘은 과다할 수 있어 이러한 힘조절 문제로 인해 교정치료 시 동통은 피할 수 없는 부분이었다.
그러나 이제는 작은 크기의 장치를 이용하여 실로 약한 힘을 내는 첨단 형상기억합금이 개발되었으며 이러한 light force 테크놀로지를 적절히 구사할 수 있는 테크닉 또한 마련되어 고령자에서도 불편감 없이 교정치료 하는 것이 가능하게 되었다.
경제적 여건의 향상과 인구의 고령화 등 사회구조의 변화로 인해 그리고 자연치 보존 개념의 확산과 함께 고령자 교정은 크게 증가할 것으로 기대하고 있다.
참고문헌
1. Christensen GJ. The advantages of minimally invasive dentistry. J Am Dent Assoc 2005;136:1563-1565.
2. Christensen GJ. Are veneers conservative treatment? J Am Dent Assoc 2006;137:1721-1723. 3. Hwang HS. Passive bracketing in adjunctive orthodontics. Korean J Orthod 1996;26:717-721. 4. Hwang HS. Indirect bonding techniques in orthodontics. In: Hardin JF, ed. Clark’s Clinical Dentistry. Mosby. 1998. pp.1-19.
5. Martinez-Canut P, Carrasquer A, Mag‧n R, Lorca A. A study on factors associated with pathologic tooth migration. J Clin Periodontol 1997;24:492-497.
6. Ryan W, Hegarty D. Tooth movement in the elderly: a case report. Gerodontolog 2006;23:242-244.
7. Thiesen G, Ara‧jo TM, Freitas MP, Motta AT, Hwang HS. An interview with Hyeon-Shik Hwang. Dental Press J Orthod 2016;21:24-33.
8. Zachrisson BU. Orthodontic treatment in a group of elderly adults. World J Orthod 2000;1:55-70.
9. 황현식. 수동접착술식에 대한 고찰(Update of passive bracketing). 대치협회지 2000;38:1178-1184
10. 황현식. 전문분야와의 협동치료. 전국치과대학교정학교수협의회 편 치과교정학, 제3판, 제18장. 서울, 지성출판 사, 2014. pp 399-411.
11. 황현식, 전현란, 김석필, 김왕식, 이계형. 성인 전치부 부분교정을 위한 새로운 교정장치 MTA의 이용. 대치협회 지 2011;49:334- 45.
12. 황현식. 설측 미니튜브 장치. 최신설측교정, 제16장. 서울, 대한나래출판사, 2015. pp 299-316.
*이번 호를 끝으로 황현식 교수의 고령자의 교정학적 접근 연재를 마칩니다.
글_황현식 교수
연세치대졸업 및 교정과 수련
전남치대 교정과 교수
미국 UOP 교정과 겸임 교수
SF치과
