Ⅰ. 고령자 교정의 필요성 및 수요 증가
Ⅰ. 고령자 교정의 필요성 및 수요 증가
불과 30년전만 하더라도 성인교정 자체가 생소한 용어이었다. 치아를 움직이는 교정치료는 주로 성장기 아동에서 그리고 사춘기 청소년에서 이루어졌다. 성장이 종료된 성인에서의 치료는 의료 선진국에서도 활발하게 진행되지 못하였다.
치아이동에 따른 생물학적 반응 및 생역학에 대한 연구가 그리고 성인치료에 필요한 교정 재료 등이 발달하면서 성인에서의 교정치료가 효율적으로 진행될 수 있게 되자 성인교정은 그야말로 봇물 터지듯 그 수요 및 공급이 증가한 양상을 보였다.
경제적 또는 학업 등의 이유로 이전에 치료받지 못한 이들이 성인이 되어서 늦게나마 치료를 받고자 하는 경우도 있고, 어렸을 때에는 교정에 대한 필요성을 느끼지 못하다가 성인이 되어 사회 생활을 시작하면서 취업이나 결혼 그리고 여러 가지 대인관계를 염두에 두면서 본인의 self image 개선을 위해 교정을 고려하여 성인교정의 수요는 그야말로 크게 증가하였다.
최근에는 이러한 성인에서의 교정수요가 젊은 성인에서 중장년 성인 그리고 고령자 교정으로 확대되는 경향을보이는데, 시간적 여유가 없어 젊었을 때 치료받지 못한 이들이 중장년 또는 고령자가 되어서 늦게나마 치료를 받고자 하는 경우도 있겠지만, 50대, 60대에 들어서면서 노화로 인해 나타나는 치열에서의 변화를 이전의 젊었을 때의 상태로 돌이키고자 하는 안티에이징 또는 웰에이징의 목적으로 교정을 찾는 이들이 늘어났기 때문이다.
아울러 평소에는 교정을 고려하지 않고 있었으나 보철이나 치주 등 치과치료를 받으면서 그 치료의 예후를 좋게 하기 위하여 교정을 받게 되는, 소위 보조적 교정치료 (adjunctive orthodontic treatment)의 일환으로 교정치료를 받는 경우가 최근 증가하였는데 이에 따라 고령자에서의 교정 또한 크게 늘어나고 있다.
평균수명의 연장으로 이러한 교정 수요는 중장년에서 노년으로 점차 그 연령층이 높아지고 있는 추세이다. 자연치 보존에 대한 사회 일반에서의 관심과 함께 고령자에서의 교정 수요는 그야말로 확대일로에 있다.
1. 고령자 교정의 필요성
주지하다시피 과학과 의학의 발달로 평균수명이 연장되었으며 이로 인해 기대수명 또한 크게 증가하고 있다.
수명 100세 시대가 눈앞에 다가왔으며 이에 따라 “50세 청년”이라는 말이 나오고 있다. 60세 이상이 되어도 기대수명의 연장으로 치과치료에 “보다 적극적인” 경향을 보이고 있다. 말로는 이제 살 날이 얼마 안 남았는데 하면서도 실제적으로는 보다 오래 그리고 건강하게 구강건강을 유지하고자 하는 적극적인 고령 환자가 늘어나고 있다. 또한 고령자일수록 치아 건강에 대한 덴탈 아이큐가 향상되고 있다.
이전에는 아프면 "그냥 빼 주세요, 빨리 빨리 치료해 주세요, 잘 씹게 해 주세요" 하면서 근시안적 시각으로 치과치료에 임했던 환자들이 자신 또는 주변에서 치아발거 그리고 매우 침습적인 보 철치료 그리고 그에 따른 시간, 노력, 비용의 부담 등을 지켜보면서, 자연스럽게 치아의 중요성을 인지하게 되었다.
소위 자연치를 아끼고자 하는 생각을 하게 되면서, 과거와는 달리, 가능하면 치아를 안 빼고 해주세요, 치아를 덜 깎고 해 주 세요 하면서 덜 침습적인 치료를 원하게 되었다.
사회 전체적으로 “minimally invasive dentistry”개념이 보편화 되고 있는데, 개개인을 보면 연령이 증가할수록 이러한 개념 즉 자연치 보존에 대한 인식이 더욱 강한 것을 볼 수있다.
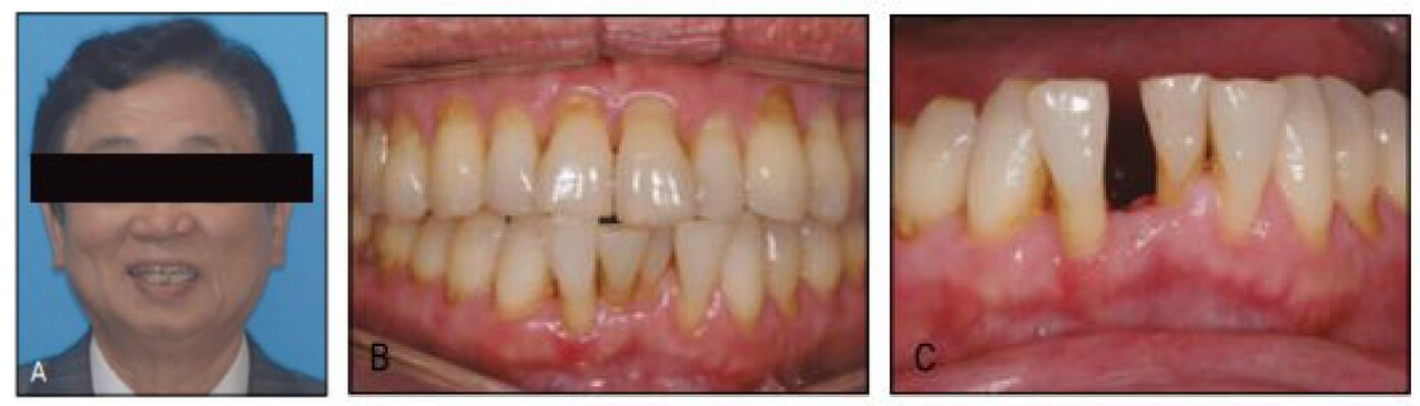
한편, 고령자일수록 이전의 치주질환으로 인해 병적치아이동 (pathologic tooth migration) 이 나타난 빈도나 정도가 심하다는 것이다. 상악 전치부의 경우 염증으로 인해 돌출과 함께 치간공간이 나타나는데 객관적으로도 비심미적이고 환자들 또한 이를 매우 싫어한다. 같은 치간 공간이라도 전체적인 치아크기가 작아서 나타난 경 우와 달리, 병적치아이동은 치주염이 심한 부위의 치아가 두드러지게 이동되어 매우 비심미적이며 나이 고하를 막론하고 모든 환자들이 이를 방치하고 그냥 두고 싶어하지를 않는다는 것을 볼 수 있다. 많이 이동된 치아를 발거하고 보철을 한다면 해당 치아뿐 아니라 인접 치아도 다수 발거해야 한다는 이야기에 주저하고, 컴포짓 치료는 치주질환을 더 악화시킨다하여 못하고 있다. 결국 자연치를 보존하면서 전치부 심미를 회복하는 유일한 방법이 교정치료인 바, 고령자의 교정치료 필요성이 최근 들어 크게 부각 되고 있다(그림 23-1).
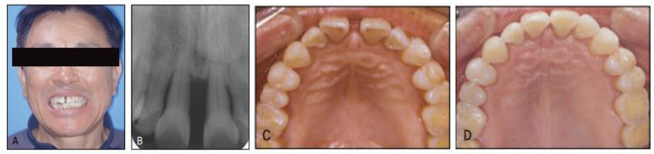
또한 보철을 위한 교정 등 보조적 교정치료의 일환으로 교정치료 필요성이 크게 증가하게 되었다. 예를 들어 하전치 부위 크라우딩 상태에서 어떤 이유로 하나의 절치를 발거하게 되었다면, 발치한 치아주위의 크라우딩을 펴지 않고서는 어떠한 보철도 할 수 없게 된다. 주변 치아의 삭제없이 해당 결손부위 보철을 위해 임플란트가 개발되었는데 환자에게 주위의 크라우딩 치아를 다 발거하고 임플란트 하자 할 수 없고, 브릿지를 한다 하더라도 인접치 위치가 불량한 상태에서 그냥 보철은 대부분 되지 않을 것이며 결국에는 교정치료를 해야 하는 경우가 매우 많다.
진료 편의상 또는 소위 전략적이라는 명분하에 인접치를 발거 하고 보철치료를 권하였을 때 고령환자의 대부분은 이를 거부할 것이며, 지금까지는 나이가 많아서 교정이 안된다고 막연히 생각하였던 그 교정치료를 이제는 당연한 치과치료의 한 과정으로 설명하고 또 실제적으로 시행할 필요성이 증가할 것으로 전망하고 있다(그림 23-2)
한편, 치주질환 등 병적 이유가 아니더라도 연령의 증가와 함께 치열은 변화를 보이고 있다. 정도의 차이가 있을 뿐이지 모든 환자들이 노화에 따른 치열 변화를 보이고 있다.
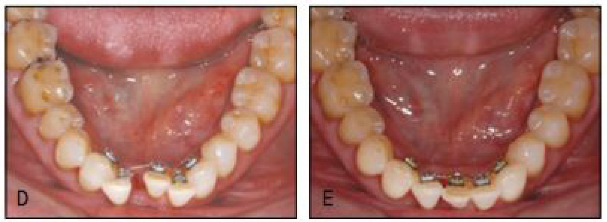
이러한 생리학적 변화는 하악 치열에서 두드러지게 나타나는데 악궁의 축소와 함께 하전치부 크라우딩의 증가가 초래된다. 이러한 크라우딩 증가는 치간골을 얇게 만들고 효율적인 치태 관리를 방해하여 치주질환으로 인한 골파괴를 촉진하는 바, 이를 해소하는 또는 이러한 일이 나타나지 않도록 소위 치주환경을 개선해 주는 교정치료가 고령자의 구강건강을 위해 반드시 필요하다.
황현식 교수
연세치대졸업및교정과수련
전남치대교정과교수
미국UOP교정과겸임교수
SF치과
