2. 고령자 교정의 수요 증가
고령자에서의 교정치료 필요성 증가와 함께 고령환자들의 교정치료 요구 또한 크게 증가하고 있는 추세이다. 우선 경제적 여건이 전체적으로 향상되어 주된 관심사인 건강과 웰빙에 대한 투자를 아끼지 않는 고령자들이 크게 증가하고 있다.
소위“노노(No老)족”이라는 신조어가 생길 정도로 에이징에 대한 거부감이 보편화되고 있다. 자연 안티에이징 또는 웰에이징에 대한 관심이 증가하였고 구강 내에서 가장 두드러진 변화인 하전치부 크라우딩증가에 대한 반응으로 “내가 늙어가고 있 구나”라고 생각하는 고령자가 증가한다는 것이다. 하여“ 이전처럼”가지런하게 하고 싶 어한다는 것이다. 치주건강과 관련없 이 가지런하게 하고자 하므로 심미적인 이유로 교정을 원하지만, 젊은 성인과는 다른 개념의 심미임을 알 수 있는데 back to the youth로 표현되는 rejuvenation 목적으로 교정치료를 원한다는 것을 알 수 있다.
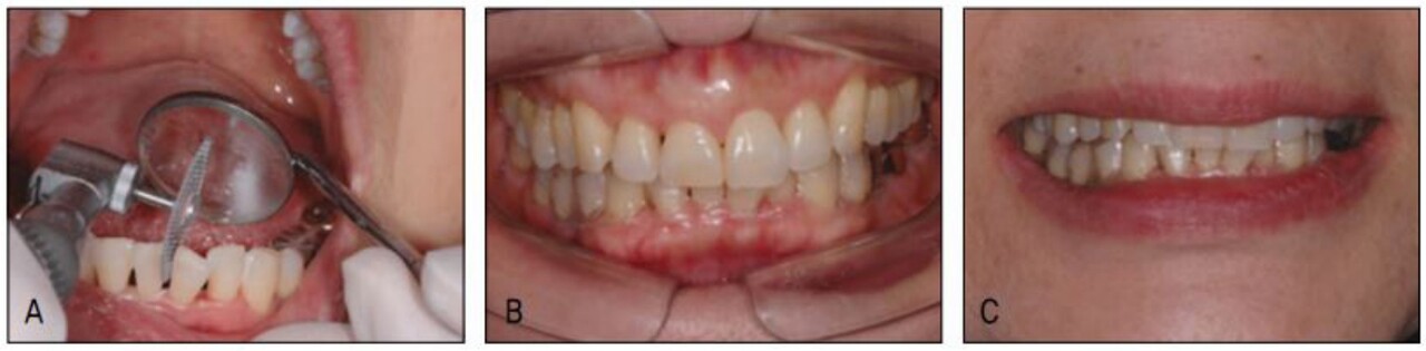
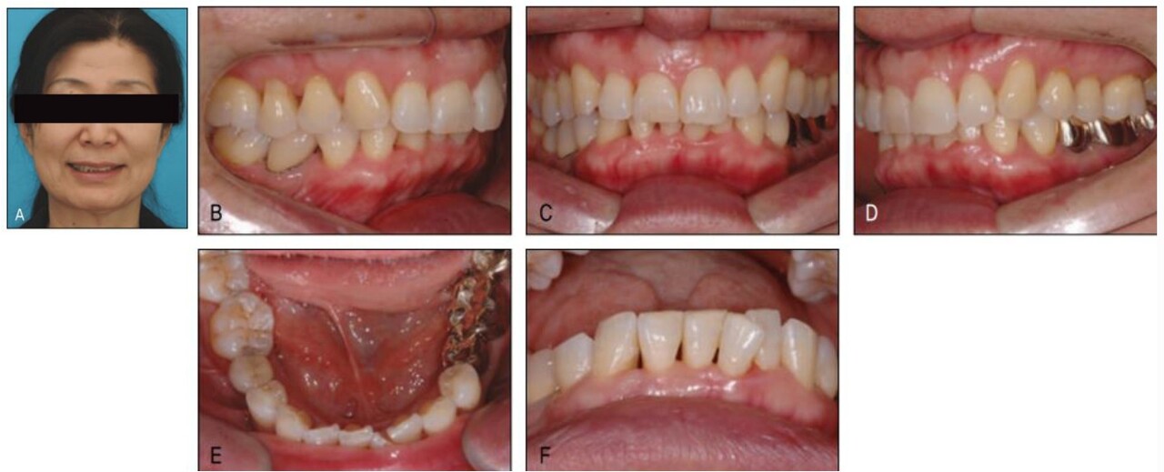
젊었을 때는 전혀 멋을 부리지 않았던 분들도 고령자가 되어서 얼굴의 점이나 검버섯을 빼고자 하는 것을 주위에서 흔히 볼 수 있는데, 같은 맥락에서 좀더 젊게 보이기 위해 또는 좀 더 젊어지기 위해 치과를 찾는 고령자들이 늘어날 것으로 전망하고 있다 (그림 23-3, 4).
이러한 young-looking appearance를 위한 치과치료로 과거에는 보철치료가 주로 행해졌으나, 전술한 바와 같이 자연치 보존에 대한 사회 전체적인 관심증가로 자연치 발치없이 행할 수 있는 유일한 심미치료인 교정 치료에 대한 수요가 증가하고 있다.
이전에는 이러한 rejuvenation 치료를 위해 교정치료를 찾는 대부분이 50대이었으나 최근에는 인구의 고령화와 기대수명의 연장으로 인해 60대, 70대 환자 또한 급증하고 있다.
II. 고령자 교정의 가능성
젊은 성인에서 치아가 움직이는 똑같은 기전으로 고령자 성인에서도 교정적 치아 이동이 가능하다. 다만 세포의 turn-over rate가 다소 느리므로 같은 거리 이동에 필요한 치료기간이 늘어날 수 있다. 그럼에도 불구하고 실제 치료기간은 그리 크게 증가 하지 않는 것을 볼 수 있다. 고령자 교정의 필요성이나 막대한 수요에도 불구하고 그동안 고령자 교정의 보급은 다소 늦은 감이 있는데 이는 교정치료 기간이라기 보다는 교정치료 시 불편감과 동통으로 인한 것이었다.
성장기 아동에서는 교정장치가 전혀 불편하지 않고, 젊은 성인에서는 다소 불편한 반면, 중장년 노년층에서는 적응력의 감소 등의 이유로 교정장치 자체의 bulkiness로 인한 불편감이 매우 크다 할 수 있다. 교정력에 의한 동통 또한 젊은이에 비해 크게 나타날 수 있을 것이라 쉽게 예견할 수 있다.
그러나 최근에는 불편감을 줄이기 위해 작은 크기(low profile)의 장치를 사용하고 동통을 줄이기 위해 미약한 힘(light force) 을 이용하는 테크닉들이 속속 개발되어 고령자 교정의 가능성 및 수월성이 크게 증가하였다. 수요의 증가에 맞는 교정치료 공급이 가능하게 된 바 고령자 교정은 폭발적으로 증가할 것으로 기대하고 있다.
III. 고령자 교정진단 시 특별한 고려사항
1. 고령자의 진단 시 특별한 고려사항
고령자도 일반 성인과 마찬가지로 자발적으로 교정을 원하는 경우와 일반 치과치료를 위해 교정을 권유받는 두 가지 경우로 크게 나눌 수 있다. 진단 시 고려사항 또한 각각을 구분하여 알아보는 것이 필요하다.
(1) 자발적으로 교정을 원하는 고령자의 진단
고령자 교정 진단 시 가장 중요한 것은 주소에 대한 정확한 이해이다. 나이를 고려 시 그리고 그동안의 교합 적응을 고려할 때 이상적(ideal)인 치료계획 수립은 바람직하지 않고 실제적(realistic)인 치료계획 수립이 필요하기 때문이다. 주소 파악과 함께 왜 치료를 받기로 결심하였는지 그 동기를, 그리고 치료를 통하여 무엇이 개선되기를 바라는지 그 기대사항을 같이 파악하는 것이 중요하다.
아울러 고령자 환자를 대할 때 주의해야 할 것은 “노인”으로 보지 말고“중장년”으로 대해야 한다는 것이다. 고령자가 교정을 자발적으로 원한다면 대개는 “보다 젊게 보이기 위해서”이다. 그러나 실제로는 그리 되고 싶어서 교정을 하고자 한다고 말하지는 않는다. 나이 들어서 교정치료 받고자 하는 것을 민망하게 생각하고 있다. 치주 건강이나 다른 불편함을 이야기하고 이를 위해 교정을 하고자 한다고 말하는 것이 대부분이다. 교정을 원하는 고령자를 대할 때 이를 잘 이해하고 말실수가 없어야 할 것이다.
고령자 환자가 교정을 이야기할 때는 많은 생각을 하고 한 것이다. “나이가 들어서 무슨 교정”같은 마음으로 환자를 대해서는 안될 것이다. 비록 비현실적인 주소를 갖고 이야기한다 하더라도 교정치료를 고려하고 결정한 환자의 고충과 그 생각을 존중하는 마음으로 고령자 환자를 대해야 한다. 고령자가 교정치료를 원한다 하더라도 교정치료의 관점으로만 보아서는 안된다. 치주적 보철적 관점으로도 보는 것이 필요하다. 모든 것을 교정으로만 해결하려고 해서는 안된다. 경우에 따라서는 보철 등 다른 분야의 진료가 더 나을 수 있다. 한 마디로 협진의 개념이 필요하다. 필요하다면 타 분야 전문의와 상의하는 것이 필요하다.
(2) 타 전문분야에서 의뢰된 고령자의 교정진단
타 분야에서 교정을 위해 의뢰된 경우라면 무엇보다 의뢰된 내용 위주로 진단하는 것이 필요하다. 환자들은 교정을 생각하지 않았던 경우가 대부분이므로 다른 많은 교정적 문제가 있다 하더라도, 의뢰된 내용을 최우선으로하고 진단하는 배려가 필요하다. 아울러 타 전문분야에서 의뢰된 소위 보조적 교정치료의 경우, 교정치료를 통해 실제적으로 얼마나 환자에게 도움이 되는지 비교분석 즉, 비용이득분석(cost benefit analysis, CBA)을 해 보아야 한다.
교정치료를 통해 보철이나 치주 등 일반 치과치료의 예후가 좋아지는 것은 분명하지만, 교정치료에 소요되는 시간 노력 비용 대비 이득을 비교하는 저울질을 해 보아야 한다. 필요하면 의뢰한 의사와 상의하여 환자 입장에서 얼마나 도움이 되는지 분석해 보아야한다. 또한 환자와도 같이 상의하는 것이 필요한데, 이러한 과정에서 주의해야 할 것은 환자가 “살 날이 얼마 안 남았는데...”라고 이야기해도 절대 맞장구를 쳐서는 안된다는 것이다.
2036년이 되면 50세가 평균 나이가 된다고 한다. 50세가 청년이라는 이야기이다. 지금 우리가 고령자로 부르는 이들이 조만간 중장년이 될 것이다. 어쨌든 CBA 분석을 통해 교정치료의 범위 또한 결정되므로 진단 시 이에 대한 특별한 고려가 반드시 필요하다.
2. 고령자의 교정치료 계획 수립 시 고려사항
고령자의 경우 교정치료 반응이 일반 성인보다 떨어진다는 것을 염두에 두어야 한다. 더욱 중요한 것은 치료시 불편감이 더욱 크다는 것이다. 이러한 불편감은 일반 성인과 마찬가지로 장치 자체의 bulkiness에서 오고, 과도한 교정력으로 인해 나타나기도 하고 또한 구치부 교합변화에 의해 초래되기도 한다.
고령자일수록 이로 인한 불편감이 더 심하게 나타나므로, 치료계획 수립 시 이를 반드시 고려하여야 한다. 다시 말해 치료 시 불편감을 최소로 하는 방향으로 치료계획을 수립해야 하며 이러한 이유로 고령자에서는 치료범위를 가능한 작게 하는 것이 바람직하다.
(1) 치료목표는“이상적”보다는 “실제적”으로 수립
이상적인 치료계획을 수립하는 것보다는 실제적인 치료계획 수립이 필요하다. 즉 타협적(compromised) 인 치료가 바람직한 데, 어떤 것을 치료하고 어떤 것을 양보하는가 하는 것은 환자의 주소를 고려하여 결정하는 것이 좋다.
(2) 치료 우선순위에 대한 결정이 필요
모든 문제를 다 치료할 수 없다 한다면, 문제목록을 작성하고 이 문제 중 어느 것이 우선 순위에 있는지 파악하는 것이 필요하다. 이러한 치료 우선순위는 문제뿐 아니라 다른 사항일 수 있다. 즉, 어느 환자는 치료방법일 수 있고, 어느 환자에게는 교정장치일 수도 있다.
어쨌든 포괄적으로 치료 우선순위를 결정해야 올바른 치료계획을 수립할 수 있다. 예를 들어 어느 환자가 “나는 교정치료 하면 잇몸이 좋아진다고 이야기듣고 왔다”한다면 치주건강이 치료 우선순위가 되는 것이다.
기능, 심미, 치주 건강, 보철물 수명 등 여러가지 중 어느 것이 치료 우선 순위가 되는지 파악하는 것이 중요하다. 또한 한 환자가 “나는 교정치료를 하고 싶었는데 장치가 보이는 것이 민망해서 못하고 있었다. 그런데 보니 설측으로 하는 것이 가능하다는 이야기를 들었다”한다면 이 환자에서는 치료 우선 순위는 교정치료방법, 즉 설측장치가 될 것이다.
치료계획 수립시 설측교정장치를 이용하여 하는 것으로 고려해 주어야 할 것이다. 아울러 환자의 부정교합 특성상 설측교정장치가 유리하지 않다면, 진단 분석 상담시 설명이, 즉 설측장치가 불리하고 다른 장치가 더 낫다는 언급을 자세하게 해 주어야 할 것이다.
황현식 교수
연세치대졸업및교정과수련
전남치대교정과교수
미국UOP교정과겸임교수
SF치과
