(3) 치주에 대한 고려
고령자의 치료계획 수립시 골수준에 대한 고려가 반드시 필요하다. 고령자에게는 골결손이 많은데, 수평골결손은 그리 문제가 되지 않으나 수직골결손은 계속적인 치주파괴를 야기하므로 교정치료계획 수립시 이에 대한 고려가 반드시 필요하다. 즉 수직골결손이 없도록 소위 골레 벨링이 되도록 치료계획을 수립해야 한다. 경우에 따라서는 치아의 레벨링은 양보서라도 골레벨링을 하는 것이 필요하다.
(4) 심미에 대한 고려
고령자에서도 치료계획 수립시 심미에 대한 고려가 필요하다. 실제로 심미 목적으로 내원하는 환자가 증가하고 있다. 특히 고령자의 경우 골조직 상실로 인해 블랙트라이앵글 소견을 많이 보이고 있어, 발치보다는 비발치로 치료하는 것이 그리고 인접면 스트리핑으로 이를 줄여주는 방향으로의 치료계획 수립 이 필요하다. 연령 증가와 함께 스마일라인이 내려가므로 상악보다는 하악에 서 이러한 배려가 더욱 필요하다.
IV. 고령자 교정치료 시 고려사항
고령자 교정 치료 시에는 일반 성인과 달리 다음과 같은 특별한 배려가 필요하다.
1. 약한 힘 적용
고령자의 경우 골소실로 인해 같은 크기의 힘을 적용하더라도 force loading 면적이 적으므로 단위 면적 당 힘이 매우 크게 나타날 수 있다. 치아가 치체이동이 아니라 경사이동이 된다한다면 부위에 따라 매우 과도한 힘이 적용될 수 있다. 따라서 교정력은 치아를 움직일 수 있는 역치한도 내에서 최대한 약한 힘을 적용하는 것이 바람직하다. 치근 흡수 같은 부작용 예방 에도 중요하고 고령자 교정 시 가장 중요한 동통 조절을 위해서도 반드시 필요하다.
2. 큰 모멘트 적용
주위 골조직 상실이 있게 되면 치아의 저항중심이 치근단 쪽으로 이동하게 된다. 이로 인해 교정력 적용시 치아는 잘 쓰러진다. 따라서 보다 덜 쓰러지게 하기 위해서는 다시 말해 안티모멘트를 얻기 위해서는 브라켓의 근원심 길이가 긴 것이 유리하다. 브라켓의 크기는 작은 것이 좋은 반면 근원심 길이는 길어야 치아가 쓰러질려 할 때 안티모멘트가 더 크게 나타나 경사이동을 막아줄 수 있다. 이러한 것을 고려시 고령자 교정 시 가철식 장치는 금물이며 가능한 두께는 작으면서도 근원심 길이는 충분히 긴 디자인의 장치 를 선택하여 사용하는 지혜가 필요하다.
3. 작은 크기의 장치 사용
고령자에서는 장치 자체의 bulkiness로 인한 불편감이 매우 크 다. 실제적으로 교정력에서 오는 동통보다 더 많은 고통을 주고 있는 것으로 보고되고 있다. 장치는 작은 것이 좋은데 그냥 작은 것이 아니라 그 profile이 낮아야 한다. 그리고 날카로운 부분이 없어야 한다. 와이어 끝 부분 처리에 대한 그리고 와이어가 좌우 로 미끄러지는 일이 없도록 세심한 배려를 해 주어야 한다. 특히 나이가 들수록 과개교합을 보이는데 하악 특히 전치부에 부착하는 장치로는 profile이 작은 것을 골라서 쓰는 배려가 필요하다.
4. 이동부와 고정부의 분리
모든 성인환자의 교정 치료시 필요하지만 고령자에서는 특히 치아이동부와 고정부의 정확한 구분이 필요하다. 즉 고정부 치아는 가능한 움직이지 않도록 해 주어야 한다. 쓸데 없는 불편감이 나타나지 않게 한다는 이유도 있고 또한 앵커로서 더 잘 작용하게 하기 위함이다. 앵커 파트에서 치주 치조골 지지가 불량하다면 이러한 배려는 더욱 필요하다. 고정부에서도 브라켓 부착이 필요하다면 passive bracketing 방법을 사용하여야 하고, 브라켓 부착이 필요하지 않다면 passive wire bonding 테크닉 으로 간단하게 고정부의 앵커를 보강할 수 있다.
5. 치아 상실의 경우 앵커리지 조절
고정부 치아가 일부 상실된 경우 그리하여 앵커가 부족한 것으 로 판단되는 경우에는 교정용 미니임플란트를 이용하여 앵커리 지를 보강할 수 있다. 고정부 치아에 연결하여 앵커를 보강할 수도 있고, 이 미니임플란트에 직접 체인이나 고무줄을 걸어 앵커 로 이용할 수도 있다.
6. 치주지지가 불량한 경우 앵커리지
고정부 치아 주위 치주지지가 불량한 경우 앵커리지 보강이 반 드시 필요한 데 0.0195 인치 직경의 multistrand 와이어를 이용하여 고정부 치아를 서로 스플린팅하는 소위 passive wire bonding 방법으로 간단하게 앵커를 보강할 수 있다.
7. 인접치간 스트리핑에 대한 적극적 고려
고령자 교정 치료 시 발치보다는 비발치를 우선적으로 고려하게 되며 이에 따라 크라우딩은 인접치간 스트리핑으로 해결하게 된다. 치주 골지지가 불량한 상태에서 발치치료를 한다면 치료기 간도 길어지게 되고 치아 이동 또한 경사가 많이 나타나 치료결과 또한 보장할 수 없다. 반면 비발치와 함께 스트리핑을 하는 경우 치료기간 단축 등 일반적인 장점 외에도 고령자에서 가장 심각한 심미적 문제의 하나로 알려진 블랙 트라이 앵글을 교정치료로 자연스럽게 일부 또는 전부 해소할 수 있다는 것이다.
비발치 치료시 확장을 통해 치료할 수도 있으나, aging에 의해 치간의 attrition이 나타난다는 사실을 고려한다면 확장보다는 스트리핑이 보다 physiologic change에 순행하는 치료라고 할 수 있을 것이다. 이로인해 치료후 안정성 또한 스트리핑 치료 시 더욱 유리함을 쉽게 이해할 수 있다.
8. 병적 치아이동에 대한 고려
치주질환이 있게 되면 염증에 의한 치주인대강내 압력으로 인해 치아는 정출하게 된다. 동요도가 증가한 상태에서 anterior component of force 등의 이유로 치아는 전방으로 돌출하는 식으로 치아변위가 나타난다. 자연 치간공간이 생기면서 심한 비심미적 상태가 초래된다. 전방으로 돌출된 치아를 원래 위치로 돌려주는 교정치료가 필요한데, 전치부 뿐 아니라 구치부에서의 골상실도 있으므로 구치부 앵커 보강을 위해 passive wire를 본딩하여 스플린팅을 도모한다. 와이어는 작은 크기를 사용하여 약한 힘을 낼 수 있도록 하며, 전치 후방이동을 위한 고무체인 또한 약한 힘을 내는 특별한 체인을 사용하는 배려가 필요하다.
한편 스트리핑을 위해 엔진을 사용할 수도 있지만, 일반적으로 삭제양 조절이 어렵고 환자 또한 엔진을 사용하는 치아 삭제에는 거부감을 가질 수 있으므로, 스트립을 홀더에 끼워서 하는 handdriven 스트리핑이 선호되고 있다. 지나친 삭제를 막을 수 있으며 어느 한 쪽을 힘을 주어 선별적인 스트리핑이 가능하며 스트리핑 부위의 rounded contour를 쉽게 얻어낼 수 있는 등 엔진을 사용하는 방법보다 많은 장점이 있다.
단, 심한 치조골 상실로 블랙트라이앵글이 많이 나타나 인접치 간 스트리핑을 많이 해야 하는 경우나, 동요도가 너무 심해 스트립으로는 효과적인 스트리핑이 불가한 경우에는 디스크를 이용하여 스트리핑을 하기도 한다. 이 경우 딱딱한 디스크보다는 유연성이 있는 그리고 구멍이 뚫려 있는 소위 망사형 디스크를 사용하여 하는 것이 보다 편리하다. 그리고 디스크를 사용하는 경우에도 마무리는 홀더에 끼운 스트립으로 즉 손으로 하는 것이 필요하다. 보다 생리적이라 할 수 있는 rounded contour를 만들어 주기 위해서는 hand-driven 스트리핑이 반드시 필요하다.
V. 고령자 교정치료의 실제
젊은 성인과 똑같은 이유로 교정을 하는 경우 외에 다양한 경우의 보조적 교정치료나 생리적 및 병리적 치아이동에 대한 교정치료 가능성이 고령자일수록 높을 것을 고려할 때, 실로 많은 유형의 고령자 교정이 있겠지만 전형적인 경우로 다음 몇 증례를 제시하고자 한다.
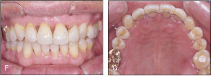
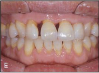
[증례] 치주질환으로 심한 병적 치아이동(pathologic tooth migration, PTM)이 나타나 기능적, 심미적 회복을 위해 교정을 한 65세 고령 환자 증례. 전악 치근단사진에서 볼 수 있듯이 전치 뿐 아니라 구치부 전 치아에 걸쳐 심한 염증이 발생하고 이로 인해 구치부에서도 PTM 이 심하게 나타나 치주치료 후 구치 교합이 불안한 상태가 초래 된 환자이었다.
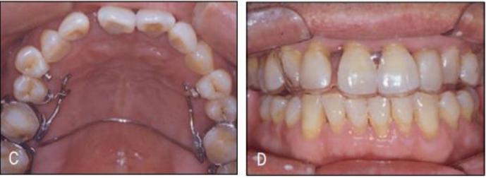
치주치료 후 보철의사에게 돌아온 환자의 교합을 보고 dual bite 상태에서는 보철을 할 수 없는 바, 치주질환 이전의 교합 상태로의 교정을 의뢰하였다. 전체적으로 치주지지가 불량하여 움직일 치아만 제대로 움직 이는 치료가 매우 어려운 케이스이기 때문에 기공비용이 다소 많이 들지만 간단하게 치료 할 수 있는 투명교정장치를 사용하여 치료하기로 하였다. 구치부의 경우 협측전위된 우측 제1, 제2소구치와 좌측 제1소 구치 이동을 위해 투명교정장치를 사용할 경우 다수의 장치가 필요할 것으로 생각되어 대구치를 고정원으로 하여 소구치를 간단 하게 이동시키는 TPA 장치를 이용하였으며, 이후 투명교정장치로 전치부 공간을 클로져하여 간단하게 교정을 마무리 하였다(그 림 23-5, 6).
황현식 교수
연세치대졸업 및 교정과 수련
전남치대 교정과 교수
미국 UOP 교정과 겸임 교수
SF치과
