중등도 이상 치주질환에서 발치 후 즉시 임플란트 식립 (1)
본 지는 수회에 걸쳐 IBS 임플란트의 매직코어를 중심으로 최소침습 임플란트 임상증례를 연재할 예정이다. (편집자주)
치과 임플란트 치료의 여러 술식 중에서 발치 후 즉시 식립은 협설 골판이 50% 이상 존재하고 gingival biotype이 양호한 경우에만 제한적으로 시행하는 치료방법으로 치과의사들이 예사롭게 시술하는 보편적인 분야가 아니었다.
만일 발치 후 즉시 식립을 하기 위한 상기 조건들을 충족하지 못한 경우에는 발치와 보존술(socket preservation)을 통한 지연 식립이 일반적인 protocol로 권장됐고 순(협)측, 구개(설)측 골판의 골 소실이 50% 이상인 중등도 이상의 치주질환 [그림 1]의 경우 발치 후 즉시 식립 치료는 two-piece bone level 임플란트 시스템에 의한 식립의 한계로 인해 비적응증(contraindication)으로 인식돼 왔다.
중등도 이상의 치주질환에는 골결손은 있으나 연조직이 건재한 경우와 연조직 결손과 골 결손이 동반된 경우가 있다. 후자와 같이 광범위한 골 결손과 연조직 결손이 존재하는 경우에는 발치 후 즉시 식립의 예지성을 인정 받을 수 없기 때문에 일반적으로 지연 식립으로 치료했고 발치 후 치유 기간에 감소하는 골량(골 폭과 골 높이)으로 인한 불리한 식립 조건을 만나게 되면 이를 극복하고자 광범위한 박리 후 골유도재생술(Guided Bone Regeneration)로 치료했다.
이처럼 지연 식립 치료 과정은 매우 어렵고 복잡한 수술을 거치기 때문에 기능적, 심미적으로 만족스럽지 못한 결과를 얻는 경우가 많았고 완벽한 치료가 결코 쉽지 않 았다.
오늘 소개하는 Case 1은 필자가 가장 어렵게 느끼고 있는 연조직과 골의 결손이 동반된 중등도 이상 치주질환 임상 케이스이며 IBS 임플란트社의 MagiCore를 AMII (Academy of Minimally Invasive Implantology)의 최소침습 수술방법을 적용해 식립했다.
MagiCore의 독창적인 디자인이 가장 돋보이는 Magic Cuff 부분은 중등도 이상의 치주질환에서 최소침습적인 발치 후 즉시 식립을 가능하게 하는 핵심이다. 연조직이 점착하는 부분인 Magic Cuff는 machined surface로 처리된 2, 3, 4, 5mm 길이의 사양이 구비돼 있으며 이처럼 다양한 길이의 Magic Cuff를 활용해 광범위한 골 결손으로 손상된 연조직을 점착시킴으로써 연조직의 형태를 개선시킬 수 있다.
또한 platform switching 개념이 적용된 가는 목 형태의 Magic Cuff에는 연조직 결손부의 결합조직과 상피조직이 건강하게 점착하게 돼 pocket을 형성하지 않고 gap이 없는 건전한 연조직 치유를 가능하게 해 발치 이전의 불리하던 연조직의 biotype을 유리한 biotype으로 개선할 수 있다.
이와 같이 Magic Cuff는 발치 후 즉시 식립에서 연조직의 형태를 유지하고 개선하는 물리적인 특성과 구조적인 장점을 갖고 있기 때문에 Case 1과 같이 환자의 발치 전 치은연(marginal gingiva)을 유지시키고 가는 목 형태의 Magic Cuff를 구개측에 위치 시켜서 gingival biotype을 개선해 치은의 재생도 기대할 수 있게 한다.
보철물이 체결되는 MagiCore의 Magic Post 부분은 보철물이 외부와 내부에서 동시에 체결되는 double connection 구조로 돼있고 titanium grade 5 재질의 우수한 강도를 갖고 있으므로 골 결손이 심한 부위에서도 잔존골의 형태에 맞게 식립하는 골 중심 임플란트 치료(bone- centered implant treatment)를 적용할 수 있다.
MagiCore system과 최소침습 임플란트 치료의 이론을 접목해 정확하게 이해한다면 어떤 임상에서도 쉽고 편하고 안전하게 수술해 만족할 만한 결과를 기대할 수 있을 것이다.
# Case 1
59세 남성 환자로 12번-22번 부위 4-unit bridge의 동요도로 내원했다. 식립 전 구강 내 사진에서 12번과 22번 치아의 치은 퇴측(gingival recession)이 관찰됐다 [그림 2].
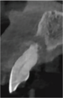
CBCT 진단에서 12번과 22번 치아의 협측 골 판과 구개측 골 판이 50% 이상 소실된 증등도 이상 치주질환임을 확인할 수 있다 [그림 3].
상악 전치부 발치 후 즉시 식립의 중요 개념인 periosteum housing concept은 buccal flap을 열지 않고 골막의 연속성을 유지하기 위해 수직 절개를 하지 않는 것이며 중등도 이상의 치주질환의 발치 후 즉시 식립 시 골막이 치유 기간 동안 수축될 가능성이 있으므로 연조직의 침하(collapse)를 막기 위해 MagiCore와 골막 사이 공간에 동종골 이식을 추천한다.
또한 MagiCore 식립 가이드라인은 순측의 marginal gingiva에 Magic Post의 margin을 1mm 잠기게 식립해 심미성을 확보하는 것도 중요한 점이다.
Case 1은 [그림 2a]에서 보는 바와 같이 중등도 이상의 치주질환으로 인해 gingival recession이 동반된 상태인 가장 어려운 임상 case 중 하나이다. 왜냐하면 치은의 양과 높이, 그리고 골 양과 골 높이 모두 부족한 상태이므로 임플란트 식립에 성공하더라도 연조직 상태를 개선하지 못한다면 치료에 실패할 수 있기 때문이다. 치료계획으로 4개월 이후의 지연 식립은 골소실이 현재의 상태보다 많아질 것으로 판단해 배제했고 발치 후 즉시 식립 또는 4~6주 후의 연조직 상태에 따라 식립하는 방법을 고려했으나 환자의 심미적 요구가 크지 않아서 발치 후 즉시 식립을 선택했다.
12, 22번 발치 후 GPS Drill을 이용해 구개측에 Magic Guide Pin을 삽입하고 [그림 4] CBCT 촬영 후 진단한 결과 12번은 순측의 gingiva에서 5.5mm, 22번은 순측의 gingiva에서 5 mm의 공간을 확보할 수 있었다.
Magic Guide Pin의 위치가 만족스러워 이를 바탕으로 임플란트 식립을 시뮬레이션 했고 식립 가능한 MagiCore는 직경 4.0, 길이 13mm, Magic Cuff 4로 예측됐다 [그림 5a, b].
Magic Drill로 식립구를 형성하고 식립구에 골 이식재가 들어가 식립에 방해되는 상황을 막기 위해 식립구를 Magic Expander로 보호한 후 혈병을 유지시키고 순측 gingiva가 collapse 되지 않는 환경을 만들기 위해 순측에 동종골을 이식했다.
이후 유지된 혈병이 육아조직이 되고 woven bone이 돼 lamellar bone으로 치환되는 secondary bone healing 과정을 겪게 될 것이다. MagiCore의 일반적인 식립 가이드라인은 Magic Post margin을 치은연 1mm 하방에 식립해 심미성을 확보하는 것이다.
그러나 위 환자의 경우는 치은퇴축이 돼 있어서 연조직의 수직 재생을 도모하기 위해 순측의 marginal gingiva에 맞춰 Magic Post 2mm를 모두 노출시켜 식립했고 이것이 본 증례의 가장 핵심이 되는 치료 방법이다 [그림 7].
위 환자 처럼 Gingival recession이 돼 있는 경우 에서 환자의 현재 순측 marginal gingiva에 맞춰 임플란트를 식립한다면 최종 보철물의 치 관 길이가 매우 길어져 심미적으로 좋지 않은 결과를 가져올 수 있다.
그래서 MagiCore의 Magic Post margin을 순측의 marginal gingiva에 맞춰 Magic Post 2mm 모두 노출 또는 Magic Cuff를 1mm 정도 노출시킴으로써 그 공간에 연조직이 재생될 수 있는 환경을 만들어 주고 발치 전 치아의 두께보다 가는 Magic Cuff를 구개측에 위치시킨다면 순측의 발치 전 thin gingival biotype이 thick gingival biotype으로 개선되면서 보철 후 치은의 on-growth 현상을 기대할 수 있다. [그림 6, 7, 8, 9]
식립 1개월 후 연조직의 양호한 치유 상태와 순측의 풍부한 연조직 sealing을 관찰할 수 있다. 치조제와 치은연의 보존 및 개선도 관찰된다 [그림 10].
식립 2개월 후 zirconia 최종 보철물을 제작해 장착했고 순측의 연조직 형태가 수직적인 재생이 돼 발치 이전보다 개선된 모습을 볼 수 있다. thick gingival biotype으로 개선되면서 연조 직의 형태가 지금보다 더 풍융하게 개선될 것으로 예상된다 [그림 11, 12].
12, 22번 치료 전과 발치 후 즉시 MagiCore를 식립해 최종 보철 장착 후 구강 내 이미지를 비교해 봤다. 중등도 이상의 치주 질환과 gingival recession이 동반된 경우에도 MagiCore를 이용한 최소침습 수술을 통해 환자의 부담은 경감하면서 만족할 수 있는 수준의 치료 결과를 낼 수 있었다 [그림 13].
다음 연재에서는 중등도 이상의 치주질환을 동반한 깊고 광범위한 골 결손이 있는 하 악 구치부에서의 최소 침습을 통한 발치 후 즉시 식립 case에 관한 내용을 소개 하겠다.
- 다음호에 case 2 계속 -
- [IBS] 장정록 원장의 최소침습적 임플란트 치료
- [IBS] 길대현 원장의 최소침습 임플란트 MagiCore 개발 원리 (2)
- [IBS] 길대현 원장의 최소침습 임플란트 MagiCore 개발 원리 (1)
- [IBS 임상특집] 김용완 원장의 최소침습적 임플란트 치료
- [IBS임상특집-임세호 원장] 최소침습적 임플란트 치료 (6)
- [김재창 원장] Magic GPS(Guide Pin System)의 유용성
- [IBS 임상] External & internal pocket bone graft technique (1)
- [이영욱 원장] 최소침습적 임플란트 치료
- [IBS임상 특집] 김진철 원장
- [IBS임상특집]“Guide 위에 Guide를 더하다!”
- 최소침습수술에 특화된 Kit 출시
- 심미 치료에 탁월한 최소침습 임플란트
- 최소 침습 임플란트 세계적 흐름 조망
